Геморрагический инсульт второй по частоте встречаемости после ишемического. Статистика свидетельствует, что его доля составляет около 15-20% среди всех острых нарушений мозгового кровообращения (ОНМК). Однако, несмотря на меньшую частоту, эта группа инсультов имеет не менее тяжелое течение, приводящие к инвалидности последствия и серьезный прогноз.
Сколько же людей ежегодно сталкиваются с таким диагнозом, как внутримозговое кровоизлияние? Среди 15 миллионов инсультов по всему миру 2 миллиона – это геморрагические катастрофы. И статистика неумолима – их количество возрастает с каждым годом. ОНМК по геморрагическому типу возникает вследствие разрыва сосуда и кровотечения в ткань головного мозга или между его оболочками. Рассмотрим подробно это тяжелое заболевание, имеющее очень серьезные последствия.
Разновидности геморрагических инсультов
Классификация геморрагического инсульта основана на его локализации в пределах черепной коробки. Для лучшего понимания того, какие формы имеет геморрагический инсульт, необходимо рассмотреть упрощенное строение головного мозга и его оболочек.
Мозг человека состоит из нескольких частей:
- Кора головного мозга
- Мозжечок
- Ствол мозга
Все эти части заключены в черепную коробку. Ствол мозга, филогенетически самая древняя его часть, выходит из черепной коробки и переходит в спинной мозг. Существует так называемая спинномозговая жидкость или ликвор, которая циркулирует внутри головного мозга – в его специальных полостях желудочках, а также омывает нервные структуры снаружи, находясь между оболочками.
Мозг покрыт тремя оболочками:
- Мягкая мозговой оболочкой – самая тонкая, наиболее плотно прилежит к ткани головного мозга.
- Паутинная оболочка – содержит кровеносные сосуды. Субарахноидальное пространство – полость между мягкой и паутинной оболочками, в нем циркулирует ликвор.
- Твердая мозговая оболочка – расположена наиболее поверхностно и покрывает мозг снаружи.
Классификация геморрагических инсультов и его виды в зависимости от локализации:
- Внутримозговое кровоизлияние – излитие крови прямо в ткань головного мозга. Геморрагическое содержимое может пропитывать мозговую ткань, также возможно образование внутримозговой гематомы – полости, наполненной кровью. Наличие такой полости обычно вызывает серьезное повышение внутримозгового давления, риск отека и смещения головного мозга. Возможная такая группа осложнения, как прорыв внутримозговой гематомы в желудочковую систему, что значительно осложняет лечение и имеет серьезные последствия для жизни и здоровья пациента.
- Субарахноидальное кровоизлияние истечение крови в полость между мягкой и паутинной оболочками мозга. Причины возникновения те же, что и у внутримозговых гематом.
Инсульт геморрагического типа представляет собой серьезную угрозу для здоровья человека. Врачи подчеркивают, что это состояние возникает в результате разрыва кровеносного сосуда в мозге, что приводит к кровоизлиянию и повреждению окружающих тканей. Последствия могут быть крайне тяжелыми: от паралича и нарушений речи до когнитивных расстройств и даже летального исхода. Специалисты отмечают, что риск инсульта увеличивается у людей с высокими показателями артериального давления, а также у тех, кто страдает от сердечно-сосудистых заболеваний. Важно своевременно распознавать симптомы, такие как сильная головная боль, потеря сознания или внезапная слабость, чтобы обеспечить быструю медицинскую помощь. Профилактика, включая контроль за давлением и здоровый образ жизни, играет ключевую роль в снижении вероятности возникновения геморрагического инсульта.
https://youtube.com/watch?v=sa19zOguw_Y
Что приводит к геморрагическим инсультам и как их избежать
Причины, приводящие к разрыву сосудов и вызывающие геморрагический инсульт, могут быть самыми различными. Среди них:
- Аневризма – слабое место в стенке мозговых артерий. Со временем сосуд расширяется в области истончения и принимает мешковидную форму. Аневризма может быть врожденной или приобретенной в течение жизни из-за травмы головы, например. Размеры также могут варьировать от нескольких миллиметров до гигантских – больше двух сантиметров. Существуют такие виды наследственных заболеваний, при которых в головном мозге имеется не одна аневризма, а их большое количество. Если происходит разрыв аневризматически расширенной артерии, случается геморрагический инсульт головного мозга. Кровоизлияние может быть как в ткань мозга, так и в субарахноидальное пространство.
- Артерио-венозные мальформации (АВМ) – аномальное соединение артерий и вен головного мозга между собой. Это врожденное состояние, встречающееся у 1% населения земного шара. У плода в период внутриутробного развития имеет место неправильное развитие мозговых сосудов. Суть аномального строения в том, что артерии мозга напрямую переходят в вены, а переходное русло мелких капилляров отсутствует. Причины возникновения такой формы сосудов до сих пор не изучены. АВМ по своей сути также являются слабыми местами мозговых артерий. Многие люди живут, даже не подозревая о наличии у себя такой формы сосудов. Их разрывы могут вызвать массивное внутримозговое или субарахноидальное кровоизлияние.
- Онкологические заболевания, особенно метастазы злокачественных опухолей из других органов в головной мозг. Атипичные опухолевые клетки бесконтрольно распространяются среди нервных клеток (нейронов), увеличивая риск разрыва артерий, после чего возникает кровоизлияние.
- Церебральная амилоидная ангиопатия – заболевание, при котором аномальные виды амилоидного белка откладываются на стенках сосудов. Это наследственная патология. Интересно, что в других частях организма отложения такого белка отсутствуют. С возрастом риск повреждения сосудов значительно возрастает, что приводит к инсульту и инвалидности.
- Прием лекарственных препаратов, снижающих свертываемость крови – антикоагулянтов или антиагрегантов (Аспирин, Клопидогрель, Варфарин). Врачи назначают такие лекарства для профилактики и борьбы с уже имеющимися сосудистыми тромбозами. Данная группа препаратов при бесконтрольном приеме, несоблюдении режима дозирования или в сочетании с другими сосудистыми проблемами (АВМ, аневризмы) способна увеличивать риск геморрагической катастрофы.
- Тяжелая наркомания, злоупотребление запрещенными психотропными веществами может вызывать обширный тяжелый геморрагический инсульт у лиц молодого возраста.
Отдельно хотелось бы подчеркнуть роль повышенного артериального давления в развитии таких видов инсульта, как внутримозговое и субарахноидальное кровоизлияние. Все вышеперечисленные факторы по своей сути являются предрасполагающими или увеличивающими риск.
Возникает геморрагический инсульт при резком значительном повышении артериального давления. Лучшая профилактика геморрагического инсульта – контроль артериального давления.
«Слабые места» сосудов (аневризма, АВМ) не выдерживают сильного давления, возникает их разрыв, что впоследствии приводит к стойким неврологическим нарушениям и инвалидности. Статистика в этом вопросе неутешительна: 30% всех кровоизлияний в головной мозг приводит к гибели пациентов, особенно если инсульт обширный.
Чтобы предотвратить такие серьезные последствия, особенно важно осуществлять контроль артериального давления, соблюдать назначенную врачом антигипертензивную таблетированную терапию. Любые виды гипертонических кризов ухудшают прогноз.
Симптомы и их отражение в головном мозге
Неврология симптомов и проявлений варьирует от локализации инсульта, например, в правой или левой части головного мозга. Каждый участок мозговой ткани выполняет свои функции, что обуславливает начало и дальнейшее течение заболевания.
Симптомы, как правило, возникают внезапно, на фоне полного здоровья. Классификация и неврология проявлений:
- Изменение уровня сознания: заторможенность, апатия, сонливость, летаргия, внезапная потеря сознания. Степень нарушения и последствия зависят от калибра разорвавшегося сосуда. Обширный инсульт вызывает моментальную потерю сознания, отек головного мозга. Такое молниеносное течение заболевания при несвоевременном оказании помощи ставит под угрозу жизнь пациента.
- Нарушение речи и трудности с пониманием окружающих. Со стороны эта группа симптомов выглядит как неоднократное повторение одинаковых слогов и слов, затруднения при произнесении отдельных слов.
- Нарушения глотания возникают при вовлечении в процесс мозговых центров, отвечающих за мышцы лица, гортани, глотки. Неврология симптома заключается в невозможности проглотить даже жидкую пищу, присоединяется ощущение кома в горле, поперхивание и закашливание при глотании.
- Геморрагический инсульт может проявиться резкой потерей навыков письма и понимания написанного.
- Головная боль – особенно характерна, если имеет место субарахноидальное кровоизлияние. Боль резкая, пронизывающая, «кинжальная». Возникает в горизонтальном положении, будит человека, если он спит. Усиливается боль при перемене положения тела, напряжении или кашле.
- Нарушение координации движений, потеря баланса тела в пространстве.
- Двигательные нарушения – параличи или мышечная слабость (парезы). Как правило, на одной стороне тела – правой или левой. Инсульт правой половины мозга вызывает двигательные нарушения левой половины тела и наоборот.
- Тошнота или рвота.
- Зрительная неврология – общее ухудшение зрения или выпадение полей зрения одного или обоих глаз.
Такое количество симптомов не происходит одновременно. Чаще имеет место группа из нескольких проявлений.
Важно: при появлении хотя бы одного из перечисленных проявлений у вас или ваших родственников необходимо немедленно обращаться за медицинской помощью. Быстрое начало лечения значительно улучшает выживаемость и прогноз на восстановление. Промедление и нарастающий отек головного мозга может вызвать непоправимые последствия, привести к инвалидности или даже смерти пациента.
Разрыв сосуда влечет за собой кровоизлияние, пропитывание чувствительной ткани головного мозга кровью, что само по себе повреждает нейроны. Область мозга, находящаяся после места разрыва, начинает испытывать ишемию, то есть недостаток кислорода. Такое повреждающее действие и вызывает гибель нейронов, отсюда и вся неврология внешних проявлений.
Инсульт геморрагического типа вызывает у людей множество опасений и тревог. Многие отмечают, что это состояние может привести к серьезным последствиям для здоровья, включая паралич, нарушения речи и когнитивные расстройства. Люди часто говорят о том, что инсульт может возникнуть внезапно, и его симптомы, такие как сильная головная боль, потеря сознания или слабость в конечностях, требуют немедленной медицинской помощи.
Среди распространенных мнений — важность профилактики, включая контроль артериального давления и отказ от вредных привычек. Некоторые делятся личными историями о близких, которые столкнулись с этой проблемой, подчеркивая, что реабилитация может занять много времени и усилий. В целом, инсульт геморрагического типа воспринимается как серьезное заболевание, требующее внимательного отношения к своему здоровью и регулярных медицинских обследований.
https://youtube.com/watch?v=gpnXD0_DYes
Осложненное течение инсульта
Обширный и одновременно геморрагический инсульт – тяжелейшее заболевание. После разрыва может возникать ряд осложнений, с которыми медикам порой очень сложно справиться. Вот основные из них:
- Нарастание внутримозговой гематомы. Кровоизлияние может вызвать не только пропитывание мозговой ткани, но и образование четко отграниченного скопления – внутримозговой гематомы. Сама по себе гематома увеличивает внутричерепное давление, что негативно сказывается на работе всего организма. Гематома может нарастать в течение первых суток заболевания. Это вызывает дислокацию (смещение) головного мозга, его отек. Для опорожнения гематомы и остановки кровотечения необходима экстренная нейрохирургическая операция, поскольку жизнь пациента находится под угрозой.
- Гидроцефалия – скопление ликвора в одном или нескольких желудочках мозга из-за нарушения его оттока. Причины субарахноидальное кровоизлияние приводит к скоплению крови в ликворопроводящей системе, что нарушает его отток. Это потенциально жизнеугрожающее осложнение, при котором требуется неотложная операция.
- Отек головного мозга возникает независимо от стороны инсультного повреждения (правой или левой). Причины, вызывающие отек, повреждение мозга, обусловленное кровоизлиянием. Нарастает мозговой отек в течение первых суток после катастрофы, приводя к дальнейшему усугублению мозгового повреждения. Для купирования требуется комплексная интенсивная терапия независимо от стадии заболевания.
- Судорожные припадки – частое явление после геморрагических инсультов. Иногда люди длительное время живут, периодически испытывая судороги. Чаще они осложняют обширный тяжелый инсульт. Судороги – это серьезная неврология, ухудшающая отдаленный прогноз и увеличивающая риск внезапных падений и травм.
Диагностический поиск
Основные задачи при поступлении в стационар пациента с подозрением на внутримозговое или субарахноидальное кровоизлияние – максимально быстрое обследование, постановка точного диагноза и безотлагательное начало лечения. Именно быстрая точная диагностика геморрагического инсульта и своевременное его лечение может спасти человеку жизнь.
Классификация и виды диагностических манипуляций:
- Осмотр врачом-неврологом. Должна быть оценена неврология проявлений, возможные внешние симптомы. Важным является определение стадии заболевания, сколько частей головного мозга вовлечено в процесс
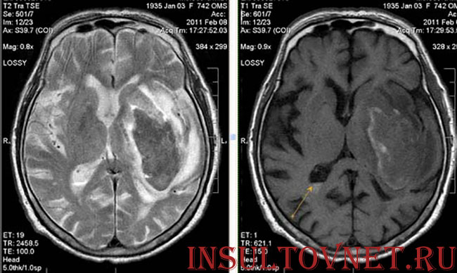
- Компьютерная томография (КТ) головного мозга для определения размеров и локализации инсульта. Должна быть выполнена в срочном порядке при поступлении в стационар.
- Магнитно-резонансная томография (МРТ) – альтернатива КТ. Позволяет определить, сколько мозговой ткани вовлечено в процесс, насколько инсульт обширный, с правой или левой стороны головного мозга он локализован, насколько выражен отек, необходима ли операция.
- Ангиография – исследование сосудов с контрастом. Применяется для точного определения, сколько сосудов разорвалось, случилось это по причине артериальной аневризмы или АВМ.
- Общий и биохимический анализы крови, исследование свертывания. Особенно это важно, если кровоизлияние с правой или левой стороны возникло из-за приема антикоагулянтов.
- Анализ ликвора производится посредством спинальной пункции. Играет важную роль, если случилось субарахноидальное кровоизлияние или прорыв внутримозговой гематомы с правой или левой стороны в желудочковую систему.
Тактика лечения
Лечение зависит от вида, размера инсульта, а также от давности его возникновения. Сроки начала лечения значительно влияют на отдаленный прогноз. Иногда ранний старт терапии спасает человеку жизнь.
Основные терапевтические задачи:
- Устранить все жизнеугожающие состояния
- Купировать основные симптомы
- Выявить источник кровотечения, устранить его
- Предупредить возникновение вышеописанных осложнений
- Как можно раньше начать реабилитационные занятия
Неотложные мероприятия
Чаще всего лечение геморрагических инсультов проходит в отделениях интенсивной терапии (реанимации). В условиях круглосуточного наблюдения и мониторинга витальных функций проще заподозрить развитие осложнений, таких как отек мозга, и их предотвратить. Это снижает риск гибели пациента и улучшает прогноз, помогает избежать инвалидности.
Лечение подразумевает:
- Четкий контроль артериального давления. Сильное его повышение приводит к ухудшению состояния, рецидиву кровотечения, после чего пациенты долго не живут. Очень низкие цифры нарушают питание неповрежденных частей мозга, что ухудшает постинсультный прогноз и может привести к глубокой инвалидности.
- Если есть риск, что возникнет отек мозга, его предупреждение и лечение.
- Обезболивающие препараты для купирования сильных головных болей. Сколько их необходимо, определяет лечащий врач, опираясь на жалобы пациента.
Пациент должен находить в полном покое, постоянно лежа в горизонтальном положении на кровати. Резкие движения, перемена положения тела приводят к повышению внутричерепного давления, чего хотелось бы избежать.
Хирургические вмешательства
Нейрохирургическая операция может понадобиться для остановки кровотечения при разрыве аневризмы или АВМ в головном мозге. Неврология симптомов и данные диагностических исследований определяют вид операции и сколько времени необходимо на ее выполнение.
Иногда необходимо экстренное хирургическое опорожнение внутримозговой гематомы с правой или левой стороны. Гидроцефалия по причине нарушения оттока ликвора зачастую требует хирургической коррекции для предупреждения инвалидности.
Реабилитация и профилактика
Основная цель восстановительной терапии и реабилитации – вернуть пациенту максимальное количество утерянных навыков и предупредить возникновение геморрагического инсульта в будущем.
При обширных инсультах инвалидности удается избежать редко. Даже если неврология симптомов не полностью исчезает долгое время, отчаиваться не стоит. Пациенты живут с серьезными дефицитами, мышечной слабостью. Постоянные серьезные реабилитационные занятия постепенно оказывают положительный эффект, снижают риск пролежней при полных параличах.
Классификация реабилитационных занятий:
- Физические занятия. Очень широко применяются независимо от того, произошло кровоизлияние с правой или левой стороны. Включают кинезотерапию, максимальную двигательную активизацию, занятия на специальных тренажерах. Постоянные систематические занятия помогают избежать инвалидности.
- Работа с логопедом – необходима, если имеет место речевая неврология. Пациенты с афазией фактически живут на логопедических занятиях, постепенно, шаг за шагом, восстанавливая речь.
- Физиотерапия, массаж, иглорефлексотерапия способствуют постепенному восстановлению, снижают риск глубокой инвалидности.
Никто не знает, сколько времени понадобится пациенту на частичное или полное восстановление, как быстро исчезнет неврология симптомов. Важно не сдаваться, постоянно ставить перед собой небольшие цели и их достигать. Важнейшая часть профилактики геморрагических инсультов – тщательный контроль артериального давления.
https://youtube.com/watch?v=d46VF8CegpE
Вопрос-ответ
Чем страшен геморрагический инсульт?
Геморрагический инсульт влечет неблагоприятный прогноз для жизни – в каждом втором клиническом случае наступает смерть. Особенно когда кровоизлияние поразило ствол головного мозга.
Что происходит с мозгом после геморрагического инсульта?
Вследствие распада крови и реакции мозговой ткани на продукты распада крови происходит воспаление и некроз тканей мозга. Таким образом, поврежденные участки мозга прекращают работать, и, соответственно, части тела, управляемые этой областью мозга, не будут работать.
Советы
СОВЕТ №1
Регулярно проходите медицинские обследования, особенно если у вас есть факторы риска, такие как высокое кровяное давление, диабет или сердечно-сосудистые заболевания. Раннее выявление проблем может помочь предотвратить инсульт.
СОВЕТ №2
Следите за своим образом жизни: придерживайтесь сбалансированной диеты, богатой фруктами, овощами и цельными злаками, и избегайте избыточного потребления соли и жиров. Физическая активность также играет важную роль в поддержании здоровья сердечно-сосудистой системы.
СОВЕТ №3
Избегайте курения и ограничьте потребление алкоголя. Оба этих фактора могут значительно повысить риск инсульта, поэтому отказ от них поможет защитить ваше здоровье.
СОВЕТ №4
Обучитесь распознавать симптомы инсульта, такие как внезапная слабость, онемение или затруднения в речи. Быстрая реакция на эти симптомы может спасти жизнь и снизить риск серьезных последствий.












