Деликатесные виды мяса сегодня доступны каждому гурману. В особом почете у любителей дичи —, медвежатина. Она хоть и является дефицитом, но все же появляется на праздничном столе. Отказать себе в удовольствии насладиться диковинным продуктом вряд ли может тот, кто предпочитает вкусно питаться.
О пользе медвежьего мяса

Медвежатина является непросто вкусным, но и весьма полезным продуктом.
Правильное приготовление мяса медведя способствует оздоровлению, укреплению иммунитета, улучшению перистальтики кишечника, насыщению ослабленного организма необходимыми компонентами для нормализации обмена веществ.
Врачи предупреждают о потенциальных рисках, связанных с употреблением медвежьего мяса. Исследования показывают, что медведи могут быть носителями различных паразитов, таких как трихинеллы и эхинококки. Эти организмы могут вызывать серьезные заболевания у человека, включая трихинеллез и эхинококкоз. Специалисты рекомендуют тщательно готовить медвежье мясо, чтобы уничтожить возможные паразиты. Замораживание мяса также может снизить риск, однако не всегда гарантирует полную безопасность. Врачи советуют избегать употребления сырого или недостаточно термически обработанного медвежьего мяса, особенно в регионах, где зарегистрированы случаи паразитарных инфекций. Безопасность пищевых продуктов должна быть приоритетом для здоровья.
https://youtube.com/watch?v=Jjm27zuUn-8
Чем может быть опасна медвежатина?
Несмотря на большой перечень полезных качеств, медвежатина специалистами медицинской сферы включена в группу небезопасных продуктов для человека. Оказывается, что медведь является переносчиком большого количества разновидностей гельминтов. После забоя зверя паразиты способны в медвежьем мясе продолжать свою жизнедеятельность в течение нескольких недель.
Зараженное мясо может попадать на мясные прилавки в силу несоблюдения ветеринарных санитарных норм. Многие паразиты, выявляемые у медведей, не наносят им вред, чего нельзя сказать о людях.

Опасные для человека гельминты способны:
Глисты медленно разрушают организм человека. Несвоевременная медицинская помощь согласно данным медицинской статистики приводит к летальному исходу больного.
Разновидности гельминтов, передаваемых от медведей человеку

Какие паразиты могут присутствовать в мясе медведя?
Самые распространенные и опасные для человека представлены на фото выше.
Медвежье мясо, несмотря на свою питательную ценность и уникальный вкус, вызывает у людей множество опасений, связанных с паразитами. Многие охотники и гурманы отмечают, что в мясе медведя могут встречаться различные виды паразитов, такие как трихинеллы и токсоплазмы. Это вызывает настороженность, особенно у тех, кто предпочитает употреблять мясо в сыром или полусыром виде.
Некоторые эксперты рекомендуют тщательно готовить медвежье мясо, чтобы избежать возможных инфекций. В то же время, сторонники традиционных методов приготовления утверждают, что при правильной обработке и заморозке риск заражения минимален. Важно также помнить о санитарных нормах и проверках мяса перед его употреблением. В конечном итоге, отношение к медвежьему мясу и его безопасности зависит от уровня осведомленности и опыта каждого человека.
https://youtube.com/watch?v=b18ikQ27zi0
Токсоплазмоз
Заражение токсоплазмами может протекать скрыто, не вызывая никакого физического дискомфорта. О заражении при скрытой форме заболевания зачастую удается узнать при сдаче анализов крови во время вынашивания беременности. Самопроизвольные аборты – это результат влияния токсоплазм на женский организм.
Симптоматика токсоплазмоза

При явной форме протекания уже через две недели после заражения человек может ощущать:
Осложнения токсоплазмоза
Следствием заражения токсоплазмами являются такие заболевания, как:
Трихинеллез

Размножение трихинелл очень стремительно. Одна самка может продуцировать от двух до трех тысяч личинок, которые разносятся по всему организму человека. Выживают они за счет локализации в мышечных тканях. На один килограмм мышц может приходиться более пятнадцати тысяч гельминтов.
Личинка, попадая в благоприятную питательную среду, формирует защитную плотную капсулу. В этой капсуле она может продолжать свою жизнедеятельность несколько лет. Примечательным является то, что оседая в мышцах, личинка увеличивается в десятикратном размере. Зачастую личинки трихинелл обнаруживают в диафрагме, в глазных мышцах, в языке, в сгибательных мышцах, между ребрами.
Осложнения трихинеллеза
Трихинеллы опасны тем, что провоцируют заболевания:
Медицинская практика показывает, что итогом трихинеллеза может быть летальный исход.
Трихинеллы очень живучи. Термическая несколько часовая обработка медвежьего мяса не гарантирует того, что все имеющиеся в нем капсульные личинки погибли. Если туша медведя заражена гельминтами, она в обязательном порядке должна быть утилизирована.
Симптоматика трихинеллеза

Симптомы заражения трихинеллами дают о себе знать уже на третий день после заражения.
Человек может ощущать:
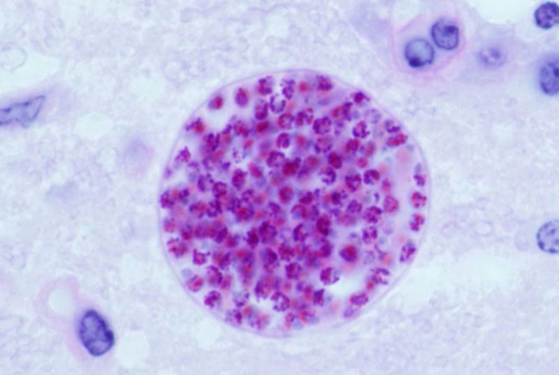
Эхинококкоз
Личинки эхинококков, попадая в человеческий организм, могут паразитировать в нем несколько десятков лет. Половозрелые особи размножаются в тонком отделе кишечника. Личинки окружены оболочкой – токсическими кистами. Разрыв оболочки приводит к интоксикации человеческого организма, возможен анафилактический шок.
Специалисты различают эхинококкоз:
Симптоматика эхинококкоза
В течение первой недели после заражения человек чувствует:
Осложнения эхинококкоза
Лечение эхинококкоза предусматривает только хирургическое вмешательство. При несвоевременном оказании помощи возможны:
Диагностика паразитов

Для подтверждения заражения токсоплазмами, эхинококками и трихинеллами в медицинской практике прибегают к следующим методам диагностики:
Лечение паразитов
При выявленных глистных инвазиях больному назначаются:
Медикаментозная терапия может длиться от двух недель до нескольких месяцев. Лечение усложняется при проявлении сопутствующих заболеваний.
Профилактика глистных инвазий

Несмотря на высокие риски заражения, медвежье мясо люди употребляют в большом количестве. В целях профилактики инфицирования паразитами, передающимися через употребление этого деликатесного продукта, следует соблюдать следующие рекомендации:
Следует знать, что даже несколько часовая термическая обработка, глубокая заморозка, посол, приготовление в микроволновой печке не являются гарантией гибели гельминтов в медвежьем мясе. Визуально определить заражена медвежатина или нет практически не является возможным. При желании разбавлять свой рацион диетической дичью следует приучиться к обязательному лабораторному исследованию мясного продукта. Только так стопроцентно можно уберечь себя и членов своей семьи от заражения паразитами. Если такой возможности нет, то специалисты рекомендуют отказаться совсем от употребления медвежатины.
https://youtube.com/watch?v=IAydyOKX3O8
Вопрос-ответ
Чем может быть заражено медвежье мясо?
Медвежатина может стать причиной двух заболеваний — бруцеллеза (инфекционное заболевание) и трихинеллеза (в организме поселяются паразиты).
Что за черви в медведе?
“Трихинеллы – круглые черви-паразиты, гельминты, которые живут в мускулатуре, прежде всего в мышцах медведя, кабана и других диких животных.”
В каком мясе много паразитов?
Причиной гельминтоза выступают несколько видов круглых червей рода Трихинелла. Личинки которых находятся в мясе свиней, диких кабанов, медведей.
В мясе какого животного больше всего паразитов?
Каковы наиболее распространённые источники паразитов? Вот список наиболее распространённых источников паразитов: недоваренная свинина, другие виды недоваренного или сырого мяса, например, говядина.
Советы
СОВЕТ №1
Перед приготовлением медвежьего мяса обязательно проведите его тщательную термическую обработку. Это поможет уничтожить возможные паразиты и их яйца, которые могут быть опасны для здоровья.
СОВЕТ №2
При охоте на медведя соблюдайте все санитарные нормы и правила. Убедитесь, что мясо было правильно обработано и хранится в условиях, предотвращающих размножение паразитов.
СОВЕТ №3
Регулярно проверяйте мясо на наличие признаков заражения, таких как необычные пятна или запах. Если у вас есть сомнения, лучше проконсультироваться с ветеринаром или специалистом по пищевой безопасности.
СОВЕТ №4
Изучите информацию о распространенных паразитах, которые могут встречаться в медвежьем мясе, и их симптомах. Это поможет вам быть более осведомленным и принимать меры предосторожности.

