
Впрочем, иногда прямой причиной является ремень безопасности. Но это вовсе не означает, что от него необходимо отказаться. Порой, после его отказа происходят более серьезные травмы. Чаще всего, перелом грудной клетки возникает в месте перехода рукоятки в тело грудины. Но, врачи наблюдают и двойной перелом с вдавливанием в грудную клетку центрального обломка.
Строение грудины
На самом деле, грудная клетка и грудина — схожие понятия, но не одинаковые. Очень часто слово «грудина» заменяют грудной клеткой, и наоборот. Впрочем, с одной стороны – верно, но с другой – не совсем. А все дело в том, что грудина с ребрами и образует грудную клетку. Это плоская кость, состоящая из нескольких частей. Нижняя часть представляет собой мечевидный отросток, средняя – это тело, а верхняя часть – рукоятка.

Самой мощной и широкой частью является рукоятка. В верхней части расположена выемка, а с боков – две ключичные выемки. Немного ниже, расположено шероховатое углубление, предназначенное для хряща первого ребра и половина врезки, которая также соединяется с половиной вырезки на теле грудины. Таким образом, они образуют реберную вырезку для соединения с хрящом второго ребра.
Самой длинной частью грудины принято считать тело, на краях которого располагаются реберные вырезки для образования соединений с хрящами ребер. Мечевидный отросток представляет собой самую разную форму. Впрочем, иногда он раздваивается внизу или имеет отверстие.
Врачи подчеркивают, что перелом грудной клетки может проявляться различными симптомами, включая боль в грудной области, затрудненное дыхание и синяки. При наличии таких признаков важно немедленно обратиться за медицинской помощью. Диагностика обычно включает рентгенографию или компьютерную томографию для определения степени повреждения. Лечение зависит от тяжести перелома: в легких случаях может быть достаточно консервативной терапии, включая обезболивающие и покой. В более серьезных ситуациях может потребоваться хирургическое вмешательство для восстановления целостности грудной клетки. Врачи также рекомендуют избегать физических нагрузок и следить за дыханием, чтобы предотвратить осложнения.
https://youtube.com/watch?v=OvimMG_MB7g
Симптомы и признаки перелома грудной клетки
Как определить перелом грудины? Симптомы «на лицо» — возникает резкая боль, а при дыхании она усиливается. Пациент старается согнуться, чтобы притупить боль. Дело в том, что при расслаблении мышц, боль становится тупой. Дыхание больного – частое и тяжелое.
Грудная клетка может деформироваться. Очень часто наблюдается отек. Если перелом произошел со смещением, то форма грудной клетки приобретает вогнутый вид. Иногда при осмотре врачом выявляется, что ушиб оказался достаточно сильным. В таком случае возникают первоначальные признаки ушиба сердца. Оно начинает бешено биться или, наоборот, бьется очень медленно. Наблюдается боль в области сердца.
Наиболее редко встречается изолированный перелом грудной клетки. В результате происходит и перелом ребер. Из-за этого случается развитие гемоторакса, то есть, когда в плевральной полости скапливается кровь. Симптомы идентичны.
Причины
Как уже было сказано выше, самой распространенной причиной перелома грудной клетки является дорожно-транспортные происшествия. Если несколько веков назад о таком заболевании даже не слышали, то на сегодняшний день оно является одним из самых распространенных. Впрочем, перелом грудной клетки может случиться в результате падения или удара тяжелым предметом.
В очень редких случаях происходит непрямой механизм, когда на надплечье падает тяжелый предмет. В результате, акромиальные концы уходят вперед, а назад – стернальные.
Перелом грудной клетки — это серьезная травма, которая может возникнуть в результате падения, ДТП или сильного удара. Люди часто отмечают, что одним из первых признаков является резкая боль в области груди, особенно при дыхании или движении. Некоторые пациенты также сообщают о затрудненном дыхании и ощущении давления в грудной клетке. Важно помнить, что такие симптомы могут указывать не только на перелом, но и на другие повреждения, например, легких.
Лечение перелома грудной клетки зависит от его тяжести. В большинстве случаев требуется консервативный подход: покой, обезболивание и физиотерапия. В более сложных ситуациях может потребоваться хирургическое вмешательство. Многие пациенты подчеркивают важность своевременной медицинской помощи, так как это значительно ускоряет процесс восстановления и снижает риск осложнений. Восстановление может занять от нескольких недель до нескольких месяцев, и в это время важно следить за своим состоянием и выполнять рекомендации врача.
https://youtube.com/watch?v=_AAuuNBvjs4
Диагностика и лечение
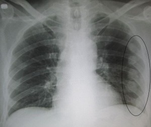
Перед тем как начать лечение перелома грудины, необходимо пройти неоднократное обследование, которое должно определить не только тип, но и степень тяжести травмы. Благодаря тщательному обследованию, можно выявить возможные повреждения внутренних органов. Как и при других видах перелома, обязательно необходимо сделать несколько видов рентгена для того, чтобы получить точный результат. Самые точные и достоверные исследования рекомендуется сделать при помощи компьютерной томографии.

Когда врачи обнаруживают, что органы получили повреждения, они должны заняться стабилизацией общего состояния больного. Если же все в порядке и жизненно-важные органы не повреждены, а врач определил, что это всего лишь закрытый перелом, то в качестве лечения достаточно отдыха и приема специальных медикаментов. Чтобы ускорить процесс реабилитации, врачи рекомендуют выполнять специальные дыхательные упражнения и физиопроцедуры.
Если же произошел перелом со смещением, тогда необходимо неотложное оперативное вмешательство. Впрочем, многое зависит от типа перелома. Но в любом случае, пациенту необходимо некоторое время отказаться от любой физической деятельности.
Период лечения может колебаться от нескольких недель до нескольких месяцев, в зависимости от сложности травмы. Последствия переломов могут быть разными. Именно поэтому кости должны хорошо срастись. А на протяжении периода восстановления пациенту необходимо выполнять ряд упражнений, которые могут восстановить гибкость. Ни в коем случае нельзя выполнять сложные физические упражнения. Они должны быть назначены врачом-физиотерапевтом.
Обычно пациенты, которые перенесли перелом грудины, проходят курс лечения и полностью восстанавливаются. Конечно же, иногда могут возникнуть некоторые осложнения. Но, чаще всего, они не связаны напрямую с переломом, а именно – с повреждением внутренних органов.
https://youtube.com/watch?v=9yNfg9A4rlY
Изолированные переломы
Как уже отмечалось ранее, переломы в большинстве случаев являются следствием транспортных травм, а также ударов тяжелыми предметами. Иногда могут образоваться нервные отломки, которые могут смещаться относительно друг друга. В месте перелома наблюдается сильная боль, а при прощупывании она значительно увеличивается.
Зачастую наблюдается деформация кости, а также припухлость мягких тканей. Гематома образуется на месте трещины грудины. В том случае, если произошел перелом со смещением отломков, то очень часто нижний отломок передвигается вниз или вверх. Когда пострадавшего пытаются положить или посадить, это сопровождается резкой болью в области травмы.
Шок зачастую наблюдается у взрослых людей при переломе грудной клетки. Шоком принято называть резкое расстройство нейрогуморальной регуляции, которые вызвано при помощи механического воздействия. Это грозит последствиями угнетения всех функций организма.

Первоначально он проявляется резким возбуждением речевой и двигательной активностью. В это время у пациента наблюдается повышенное артериальное давление, а также ускоренный пульс. Другое дело, когда наблюдается тяжелая травма. В этом случае, пострадавший человек практически неподвижен, его пульс учащается, а артериальное давление значительно понижается. Такое состояние является критическим.
Интересным фактом является то, что изолированные переломы у детей протекают гораздо легче, чем у взрослых. Дело в том, что у детей очень редко наблюдается шоковое состояние. У детей до семи лет грудина не имеет широкого костномозгового канала, а состоит только из хряща. Чем старше становится ребенок, тем тяжелее протекают переломы грудной клетки и грудины.
Лечение изолированных переломов
Лечение переломов грудной клетки и грудины должно осуществляться только после того, как будет поставлен точный диагноз. Кроме того, необходимо убедится в том, что кости скелета, а также внутренние органы не пострадали. Лечащий доктор должен назначить несколько рентгенологических исследований для того, чтобы выяснить состояние грудины, ребер и других органов. Необходимо обязательно сделать боковые снимки грудной клетки для того, чтобы определить смещение отломков кости.
Если есть хоть какие-либо подозрения на перелом грудины, пациенту накладывают давящую повязку на грудную клетку. Как уже отмечалось выше, пациент чувствует сильную боль, как в лежачем, так и в стоячем положении. Именно поэтому транспортировать пациента в больницу необходимо строго в полусидячем положении. Если наблюдается травматический шок, пострадавший должен принять обезболивающее средство. Это может быть как анальгин, так и валериана.
Если при переломе отломки грудины не сместились, то это считается одной из щадящих травм. Дело в том, что здесь не требуется специального лечения. На область груди накладывают специальный лейкопластырь, который не нужно снимать на протяжении двух-трех недель. Кроме того, вводят обезболивающие средства, чтобы притупить боль. Больному рекомендуется соблюдать постельный режим.
Если отломки смещены, то их вправляют закрытым способом. Когда подобным образом отломки не удается вправить, тогда осуществляют открытое вправление при помощи операции и фиксации отломков. Впрочем, большинство переломов грудной клетки оканчиваются благоприятным исходом.
Иногда требуется процедура репозиции отломков, когда травма вызывает появление отломков из-за перелома ребер. Травматолог помещает больного на кушетку, где осуществляет последовательное устранение смещения. Внимание! Любой вид перелома грудной клетки доставляет массу неудобств. Именно поэтому нужно в тот же час обратиться к квалифицированному специалисту. Ни в коем случае не нужно заниматься самолечением, даже если пациент не чувствует сильной боли. Точный диагноз может поставить только опытный специалист. Последствия самолечения могут вызвать осложнения. Чтобы этого не произошло, не нужно тянуть с визитом к врачу!
Вопрос-ответ
Как отличить перелом грудной клетки от ушиба?
Перелом грудной клетки обычно сопровождается сильной болью, затруднением дыхания, возможной деформацией грудной клетки и может вызывать хрипы или другие аномальные звуки при дыхании. Ушиб, как правило, вызывает менее интенсивную боль, которая может усиливаться при нажатии на пораженную область, но дыхание остается относительно свободным. Для точной диагностики рекомендуется обратиться к врачу и провести рентгенографию.
Заживают ли переломы грудной клетки сами по себе?
Грудина также называется грудиной. Большинство переломов грудины происходит в результате автомобильных аварий. В большинстве случаев перелом грудины заживает сам по себе. Боль может пройти через 3 месяца или дольше.
Советы
СОВЕТ №1
При подозрении на перелом грудной клетки немедленно обратитесь за медицинской помощью. Даже если симптомы кажутся незначительными, важно провести рентгенографию или другие исследования для точной диагностики и исключения серьезных повреждений.
СОВЕТ №2
Следите за симптомами, такими как сильная боль в груди, затрудненное дыхание или кашель с кровью. Эти признаки могут указывать на осложнения, требующие немедленного вмешательства.
СОВЕТ №3
После получения медицинской помощи следуйте рекомендациям врача по лечению и реабилитации. Это может включать прием обезболивающих, ограничение физической активности и выполнение дыхательных упражнений для предотвращения пневмонии.
СОВЕТ №4
Обратите внимание на свою осанку и избегайте тяжелых физических нагрузок в период восстановления. Правильная осанка поможет снизить нагрузку на грудную клетку и ускорить процесс заживления.



