Вывих – это смещение суставных костных окончаний, которое вызывает неправильную функцию сустава. При этом полностью отсутствует контакт между соединяющимися поверхностями. Вывих плечевого сустава – серьезная травма. По МКБ 10 ее код – S43.0.

Плечевой сустав отвечает за подвижное соединение руки с ее поясом, который формируется ключицей, лопаткой, мышцами, связками, сухожилиями. Вывих может произойти совместно с травмами этих костей, растяжением связок.
Причины
Есть разные причины вывиха, но самая распространенная – травма, иначе говоря – силовое воздействие на сустав. К другим причинам следует отнести:
- сильную активность суставов или гипермобильность – это болезнь, при которой в суставе происходят нехарактерные для него движения,
- анатомические особенности суставного лопаточного углубления, такие как маленькая глубина, неполноценная форма и другие,
- осуществление одинаковых повторяющихся движений, которые сопровождаются постоянными растяжениями капсулы и связок — такое наблюдается у спортсменов, например, пловцов, теннисистов.
Врачи отмечают, что вывих плеча является одной из наиболее распространенных травм, особенно среди спортсменов и людей, ведущих активный образ жизни. Основные симптомы включают резкую боль, ограничение подвижности и деформацию сустава. Пациенты часто жалуются на отек и синяки в области плеча. Врачам важно провести тщательное обследование, чтобы исключить сопутствующие повреждения, такие как переломы.
Лечение вывиха плеча обычно начинается с репозиции, то есть возвращения головки плечевой кости на место. Это может быть выполнено как под местной анестезией, так и под общим наркозом, в зависимости от сложности случая. После успешной репозиции назначается курс реабилитации, включающий физиотерапию для восстановления подвижности и укрепления мышц. Врачи подчеркивают важность соблюдения рекомендаций по реабилитации, чтобы избежать повторных вывихов и обеспечить полное восстановление функции плечевого сустава.
https://youtube.com/watch?v=oTMnAJzs83Y
Классификация вывихов плеча
Вывих плечевого сустава подразделяется на несколько видов. Их симптомы практически одинаковы, а первая помощь должна быть в любом случае оказана своевременно в виде наложения повязки и других действий. Это уменьшит риск развития последствий. Для постановки диагноза необходимы не только причины, но и виды травмы.
- Врожденные вывихи. Обычно они диагностируются у ребенка, причем бывают даже у новорожденного или на первом году жизни.
- Приобретенные травмы. Они характерны для взрослых и подростков.
Приобретенные вывихи разделяются еще на два вида – привычные и травматические. В первом случае нарушается работа этой костной области даже при небольших нагрузках. Такое происходит при невылеченном травматическом вывихе, раздражении пучка сосудов и нервов, других нарушениях целостности сустава.
Чаще случается травматический вывих. Он может быть с последствиями и без них. Среди осложнений встречаются разрывы капсулы, сухожилий, мягких тканей, пучка сосудов и нервов. Есть несколько видов травматического вывиха.

- Передний вывих. Он является самым распространенным повреждением в этой области и является результатом прямого влияния на кость плеча, когда случается удар сзади. Редко такой вывих происходит вследствие сокращения мышц в процессе конвульсий.
- Задний вывих. Это результат прямого и непрямого травматизма. Обычно такая травма происходит при ударах плеча, которое согнуто или находится в положении внутреннего вращения.
- Нижний вывих. Случается нечасто — как следствие воздействия на плечо, которое отведено слишком сильно, то есть, конечность поднята выше горизонтального уровня.
- Задненижний и передненижний вывих. Они встречаются крайне редко и являются сочетанием вышеуказанных форм.
Есть и такие понятия, как первичный и вторичный или повторный вывихи. Когда вывих случился первый раз, вероятность возникновения повторного повышается, особенно, если неграмотно оказана первая помощь, лечение не дает нужного эффекта или пациент не соблюдает указания врача, например, не носит бандаж.
Вывих плечевого сустава – травма, которая требует неотложных действий. Врач ставит диагноз в соответствии с МКБ 10 в больнице после обследования. Но, до этого момента следует распознать характерные симптомы и оказать необходимую первую помощь пострадавшему, осуществить фиксацию с помощью повязки и предпринять другие действия в зависимости от ситуации.
Симптомы
Определить признаки плечевого вывиха довольно просто — важно их знать. Вывих сустава плеча – патология, сопровождаемая некоторыми внешними симптомами, благодаря которым можно почти безошибочно определить наличие травмы, даже не имея медицинского образования. В основном, это признаки, которые указывают на изменение функции и структуры сустава, формы предплечья и плеча. Также, вывих сопровождается неприятными субъективными переживаниями пострадавшего человека, среди которых присутствует интенсивная боль.
Среди симптомов выделяют две группы: признаки обычного и осложненного вывиха сустава плеча. Симптомы первой группы неоднообразные, но в основном это боль, плечевая деформация, ограничение движения.
Итак, самые характерные симптомы вывиха сустава плеча таковы.
Резкая боль. Сразу после травмы у человека возникает сильная боль. Она очень интенсивная, если вывих случился первый раз. При повторных повреждениях боль не такая сильная, а иногда отсутствует. Если задеты нервные окончания, боль еще сильнее. Многое зависит от состояния человека и возраста. Ребенок ощущает боль острее.
- Ограничение движений. Человек не может совершать целенаправленные движения. При пассивных движениях может наблюдаться симптом «пружинистого сопротивления». Это значит, что ощущается определенное эластичное сопротивление.
- Деформация сустава. После вывиха видно, что области плеч выглядят несимметрично. С пораженной стороны сустав уплощен, есть выступ, который образуется лопаточным акромионом и ключицей.
- Отек. Этот симптом развивается из-за воспалительной реакции. Она сопровождает травматическое смещение поверхностей суставов по причине передавливания тканей. Иногда отек развивается из-за того, что сдавливаются крупные кровеносные сосуды — в этом случае затрудняется отток жидкости, ее давление становится больше, она начинает просачиваться из сосудистого просвета.
Иногда из-за вывиха плеча развиваются некоторые осложнения. Среди них самую большую опасность представляют такие: повреждение нервно-сосудистого пучка, перелом кости плеча и мягких тканей.
Вывих плечевого сустава может быть осложнен и другими патологическими ситуациями. Среди них может быть повреждение Банкарта, когда разрывается суставная капсула и отрывается участок суставной губы. Внешне особенных проявлений нет, но боль может быть более сильной, а последствия очень неприятными.
Вывих плеча — это травма, которая вызывает много дискуссий среди людей. Симптомы, как правило, включают резкую боль в области плеча, ограничение подвижности и деформацию сустава. Многие отмечают, что при вывихе плеча ощущается сильный дискомфорт, и даже простые движения становятся невозможными. Важно помнить, что при подозрении на вывих необходимо обратиться к врачу, так как неправильное лечение может привести к серьезным осложнениям.
Лечение вывиха плеча обычно включает в себя репозицию сустава, что может быть выполнено как в условиях стационара, так и амбулаторно. После этого назначают курс реабилитации, который включает физическую терапию для восстановления подвижности и силы. Люди часто делятся своим опытом, отмечая, что восстановление может занять время, но с правильным подходом большинство возвращаются к привычной активности. Важно следовать рекомендациям специалистов и не игнорировать симптомы, чтобы избежать повторных травм.
https://youtube.com/watch?v=ZbPY8RR1HZg
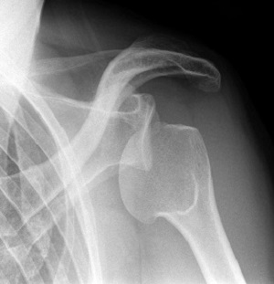
Диагностика

Самым важным методом исследования является рентген. Он проводится всем, у кого есть подозрение на вывих, потому, что дает возможность точно определить вид повреждения и предположить, какие могут быть последствия.
Врач не проводит вправление вывиха без рентгена. Его суть заключается в получении специальных изображений, на которых отображаются анатомические плечевые структуры. Лучи рентгена, когда проходят через организм, отчасти поглощаются, степень этого процесса зависит от типа органа и ткани. Чаще всего осуществляется рентген плеча в двух проекциях.
Для уточнения диагноза в соответствии с МКБ 10 и определения тактики лечения вывиха правого или левого плеча врач может назначить проведение КТ, МРТ, ультразвукового исследования. Так можно понять необходимость ношения бандажа, операции и так далее.
Лечение

Необходимо осуществить фиксацию сустава, чтобы он находился в покое. Для этого лучше использовать специальную повязку. Можно применять бинтовые повязки. Перевязки из эластичного бинта стягивают суставы и связки. Но при этом они должны быть удобными, не сдавливать плечо, не вызывать неприятные ощущения. Главное, чтобы повязка не нарушала крово- и лимфообращение. В процессе наложения повязки нельзя перекручивать материал.
Перед этим, для того чтобы снять боль и отек, можно приложить холод к коже, но ненадолго! Если боль сильная, помощь заключится и в том, чтобы дать пострадавшему обезболивающее средство. И немедленно следует доставить человека в больницу. Это тоже часть оказания первой помощи. Все эти действия позволяют снизить вероятность развития серьезных последствий.
Лечить вывих плечевого сустава в домашних условиях можно только после того, как в больнице врач предпримет необходимые действия. Перед этим он проводит необходимые исследования и ставит диагноз в соответствии с МКБ 10.
Вправление вывиха

Оперативное лечение
Главное показание к операции – формирование привычного вывиха или хронической нестабильности головки кости плеча. Не следует бояться делать операцию, так как ничего сложного в ней нет.
Бандаж

Главное преимущество бандажа — возможность иммобилизовать сустав локтя, уменьшать активность мышц спины. Ношение бандажа позволяет избежать образования гематом. Есть разные типы фиксаторов, конкретный из них определяет и советует врач.
В домашних условиях необходимо соблюдать все показания врача, тогда лечение и реабилитация дадут положительные результаты. Например, нельзя сразу нагружать поврежденный сустав. Нужно постепенно давать ему физическую нагрузку. При необходимости врач назначает ЛФК, массаж и другие процедуры. Качественное лечение вывиха плечевого сустава помогает вернуть конечность в прежнее здоровое состояние.
https://youtube.com/watch?v=VNlQQ55q3GM
Вопрос-ответ
Какие основные симптомы вывиха плеча?
Основные симптомы вывиха плеча включают резкую боль в области плечевого сустава, ограничение подвижности, деформацию сустава, а также отек и синяки вокруг пораженной области. Пациенты могут испытывать трудности при попытке поднять руку или выполнить любые движения с плечом.
Как проводится лечение вывиха плеча?
Лечение вывиха плеча обычно начинается с редукции, то есть возвращения кости на место, что может быть выполнено под местной анестезией. После этого назначаются противовоспалительные препараты для уменьшения боли и отека. В некоторых случаях может потребоваться иммобилизация сустава с помощью шины или повязки. Физиотерапия также играет важную роль в восстановлении функции плеча после вывиха.
Как долго длится восстановление после вывиха плеча?
Время восстановления после вывиха плеча может варьироваться в зависимости от степени повреждения и индивидуальных особенностей пациента. Обычно процесс реабилитации занимает от нескольких недель до нескольких месяцев. Важно следовать рекомендациям врача и выполнять упражнения для укрепления мышц плеча, чтобы предотвратить повторные вывихи.
Советы
СОВЕТ №1
При подозрении на вывих плеча немедленно обратитесь за медицинской помощью. Не пытайтесь самостоятельно вправить сустав, так как это может привести к дополнительным повреждениям.
СОВЕТ №2
После получения медицинской помощи и диагностики следуйте рекомендациям врача по реабилитации. Упражнения на восстановление под руководством специалиста помогут вернуть подвижность и силу в плечевом суставе.
СОВЕТ №3
Используйте холодные компрессы на область повреждения в первые 48 часов после травмы, чтобы уменьшить отек и боль. Это поможет облегчить состояние до визита к врачу.
СОВЕТ №4
Обратите внимание на профилактику вывихов в будущем: укрепляйте мышцы плечевого пояса с помощью регулярных физических упражнений и избегайте резких движений, особенно в спорте.


Резкая боль. Сразу после травмы у человека возникает сильная боль. Она очень интенсивная, если вывих случился первый раз. При повторных повреждениях боль не такая сильная, а иногда отсутствует. Если задеты нервные окончания, боль еще сильнее. Многое зависит от состояния человека и возраста. Ребенок ощущает боль острее.