
Причины
Причин, по которым развивается остеомиелит одонтогенного типа, не очень много. Все они сходятся к тому, что бактерия или вирус попадает в благополучную для них среду. Обычно это происходит в следующих случаях:
- сложная форма периодонтита и его осложнения,
- хронические инфекционные и вирусные заболевания,
- острая патогенная инфекция,
- инъекция, переливание,
- дисфункция височно-нижнечелюстного сустава,
- ранения и переломы.
В зависимости от причины заболевание подразделяется на несколько видов.
- Травматический остеомиелит. Эта форма развивается в результате челюстных переломов или ранений. Поврежденный участок становится открыт для вируса, который свободно проникает в кость. Такой путь проникновения инфекции встречается не часто. Эта разновидность заболевания считается осложнением, которое возникло из-за перелома лицевой кости, который недавно присутствовал в истории болезни пациента. Чаще всего развивается остеомиелит нижней челюсти, но иногда поражается и верхняя часть. Из-за костной травмы проход для инфекции открыт. При благоприятных условиях она распространяется за пределы цели перелома.
- Остеомиелит челюсти после удаления зубного элемента. В зубочелюстной системе все взаимосвязано. Верхняя челюсть соединяется с нижней. В этом большую роль играют отростки троичного нерва. Когда стоматолог удаляет зуб, приходится избавляться и от зубного нерва. Однако нервные окончания пародонта и десны остаются. Они раздражаются, так как после удаления появляется боль. Это может продолжаться около недели. Если срок превышен, очень важно немедленно пойти на прием к стоматологу.
- Лучевой остеомиелит. Это связано со злокачественной опухолью, которая развивается в челюстно-лицевой области. Коварство этого заболевания заключается в том, что клетки могут перерасти в раковые. Кроме того, последствия могут быть связаны и с курсом лучевой и химической терапии, которую проходит пациент. Лучевой остеомиелит является следствием лечения, в процессе которого человек получал большую дозу облучения. В очаг воздействия попадает гнойная патогенная инфекция. Эти факторы становятся причиной гнойно-некротических процессов.
- Гематогенный остеомиелит челюсти. Он является следствием воспаления, которое возникло из-за инфекционного поражения тканей. Инфекция в этом случае заносится с кровью. Плазма захватывает ее в очаге воспаления по ходу своего тока по сосудам, поэтому инфекция разносится по всему организму. Обычно такой тип заболевания развивается как следствие хронической формы остеомиелита.
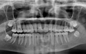
- Одонтогенный остеомиелит челюстей. Эта форма развивается очень часто. Она является причиной серьезных осложнений зубных болезней. Предпосылкой может стать запущенный кариес зубов. Такой тип заболевания диагностируется у половины пациентов. Этот остеомиелит набирает обороты после того, как инфекция попадает в пульпу через кариесные ткани. Затем она достигает зубного корня, после чего захватывает челюстную ткань, которая расположена рядом. Основные поражающие бактерии – стрептококки, анаэробные бактерии и стафилококки. Болезнетворные организмы попадают в ткань челюсти по лимфатической системе и костным канальцам. Одонтогенная форма может развиваться как у взрослых, так и у детей.
Челюсть обладает интересными особенностями строения. Именно в этой части кость очень близко контактирует с предполагаемым источником инфекции, то есть с ротовой полостью. Может развиться даже маленький пробой, то есть кариес, и вирус уже может свободно проникнуть к ткани кости. При этом нарушаются все процесс микроциркуляции. Ткань перестает снабжаться необходимыми микроэлементами и веществами, клетки постепенно отмирают. Микроорганизмы формируют гнойник.
Остеомиелит челюсти — это воспалительное заболевание, затрагивающее костную ткань челюсти, часто вызванное инфекцией. Врачи отмечают, что данное состояние может возникнуть в результате травм, хирургических вмешательств или как осложнение стоматологических заболеваний. Симптомы включают боль, отек, покраснение и иногда выделения из десен.
Лечение остеомиелита требует комплексного подхода. Врачи рекомендуют начать с антибиотикотерапии для устранения инфекции. В некоторых случаях может потребоваться хирургическое вмешательство для удаления пораженной ткани и дренирования гноя. Важно также проводить регулярные осмотры и следить за состоянием пациента, чтобы предотвратить рецидивы. Профилактика включает в себя своевременное лечение зубных заболеваний и соблюдение гигиенических норм.
https://youtube.com/watch?v=y-EOG5RUZ04
Симптомы
Остеомиелит челюсти проявляет себя в зависимости от формы.
Острый остеомиелит. Для него характерно резкое начало и общие симптомы. Сразу повышается температура, значение которой становятся субфебрильными. Человек жалуется на разбитость, озноб, общую слабость, нарушение сна и отсутствие аппетита. Одонтогенный остеомиелит характеризуется болью возле пораженного зуба. Он является источником инфекции. Если сначала боль локальная, то впоследствии она становится разлитой, отдает в висок, глазницу и ухо. Сам зуб и те, которые расположены рядом с ним, становятся подвижными, а слизистая оболочка отекает. Из карманов десен может вытекать гной. Изо рта человека чувствуется зловонный запах. Если инфекция распространяется на мягкие ткани, пациент не способен полностью открывать рот, ему трудно дышать, и он испытывает при глотании болезненные ощущения.
Контур лица человека может стать асимметричным. Это обусловлено регионарным лимфаденитом. Для острого челюстного остеомиелита характерно формирование околочелюстных флегмон, субпериостальных абсцессов и аденофлегмон. Остеомиелит верхней челюсти может быть осложнен гайморитом, тромбофлебитом ветвей, присоединенных к лицевой ветви, и флегмоной глазницы. Если развивается остеомиелит, распространяющийся на нижнюю челюсть, нарушается чувствительность нижней губы. Это выражается в покалывании, онемении и ползанье мурашек. Также нарушается чувствительность кожи подбородка и преддверия рта.
https://youtube.com/watch?v=s538mObesyI
При деструктивной форме наблюдаются симптомы лимфаденита и интоксикации. Из-за этого формируются свищи, имеющие гнойный экссудат и выбухающие грануляции. Появляются крупные секвестры. Из-за хронического деструктивного остеомиелита часто происходят патологические переломы челюсти. Много мелких секвестр появляется пи деструктивной продуктивной форме заболевания. Продуктивный тип остеомиелита характеризуется активным построением костного вещества. Наблюдается челюстная деформация, тризм. Отдельно следует рассмотреть остеомиелит обеих челюстей.
Остеомиелит нижней челюсти. Эта форма встречается наиболее часто. Она развивается из-за попадания патогенной микрофлоры в костную ткань челюсти. Первым симптомом часто является сниженная чувствительность рецепторов окончаний нервов подбородка и губы. Чувствительность пораженного зуба возрастает. Если дотрагиваться до этого места, боль приобретает пульсирующий и острый характер. Так проявляется одонтогенная форма заболевания. Поражение нижней челюсти очень похоже на проявление гнойной лихорадки. Развивается общая интоксикация, учащенный пульс, озноб. Если заболевание протекает в острой форме, резко подскакивает температура, показатели которой могут достигнуть сорок градусов. Болезненные ощущения становятся расплывчатыми, потому что распространяются все дальше. Человек трудно глотать и жевать.
Поражение нижней челюсти может быть средним, легким и тяжелым. По задействованной в поражении области выделяется ограниченная и диффузная форма заболевания. Есть также остеомиелит, который протекает без осложнений и, наоборот, приводящий к существенным последствиям.
- Остеомиелит верхней челюсти. Эта форма заболевания встречается редко. Особую опасность он представляет грудничкам, у которых болезнь развивается очень быстро. И у взрослых, и у детей заболевание проявляет себя главными основными симптомами, однако, в маленьком возрасте они протекают стремительно и выражено. У детей оно начинается внезапно с резкого подъема температуры. Малыш отказывается от еды, капризничает. В области глаз, нос и щек наблюдается отек. Глазная щель в первые сутки полностью закрывается. Теряется чувствительность верней губы. Лицо становится перекошенным. Лимфатические узлы увеличиваются с той стороны, где происходит вирусное поражение. В течение других трех суток отечность переходит в область шеи. Происходит нагноение, отторжение секвестров. Носовой ход сужается, он может полностью перекрыться. Из-за этого ребенок не может нормально дышать. В области отека кожа становится розовой. Если до нее дотрагиваться, ощущается сильная боль. На пятый день свищи образуются в носовой полости, а также возле внутреннего глазного угла и зубных зачатков. Воспаление распространяется на глазницу. Развивается абсцесс век. Даже небольшое движение вызывает боль. Осложнения такого течения могут быть страшными, поэтому действовать необходимо быстро.
Лечение

Лечение остеомиелита челюсти в нижней ее части начинается с санации антисептическими растворами. Очень важно не допустить повторного инфицирования зараженного очага. После этого применяется противовоспалительная терапия. Ее целью является очистка организма с помощью мероприятий, направленных на снятие интоксикации.
Необходимо устранить факторы, которые влияют на обменные процессы. Желательно стимулировать репаративные процессы.
Если инфекция попадает в верхнюю челюсть, проводится удаление пораженного зуба. Затем назначается ранняя периостеотомия. Ее суть заключается в надрезе надкостницы, чтобы провести удаление жидкости. Она образуется из-за развития инфекции и экссудата. Полость зараженной кости промывается антисептическими растворами. Пациент должен принимать антибиотики. Важную роль играет симптоматическое лечение.
Остеомиелит челюсти — это воспаление костной ткани, которое может возникнуть в результате инфекции, травмы или осложнений после стоматологических процедур. Люди, столкнувшиеся с этой проблемой, часто описывают сильные боли, отечность и затруднения при открывании рта. Важно отметить, что остеомиелит может развиваться как в верхней, так и в нижней челюсти, и его симптомы могут варьироваться в зависимости от степени тяжести заболевания.
Лечение остеомиелита обычно включает антибактериальную терапию, которая помогает устранить инфекцию. В некоторых случаях может потребоваться хирургическое вмешательство для удаления пораженной ткани или абсцессов. Пациенты также отмечают важность своевременной диагностики и обращения к специалистам, так как запущенные формы заболевания могут привести к серьезным осложнениям. Восстановление после лечения может занять время, но при правильном подходе большинство людей возвращаются к нормальной жизни.
https://youtube.com/watch?v=Nf0ecLAUKmU
Последствия

Последствия зависят от того, насколько своевременно человек обратился в больницу. Если лечение остеомиелита челюсти начато вовремя, прогноз положительный. Если человек попал в больницу на острой стадии, дать прогноз сложно. Нельзя точно предсказать, как поведет себя организм. Могут возникнуть следующие осложнения:
- острая легочная недостаточность,
- септический шок,
- флебит лицевых вен,
- менингит и менингоэнцефалит,
- мозговой и легочный абсцесс,
- сепсис,
- патологический перелом,
- ложный сустав,
- челюстная деформация,
- летальный исход.
Профилактика
Профилактические меры способны или полностью предотвратить заболевание или его разрушительные последствия. Если человек внимательно относится к своему здоровью, он избежит тяжелых осложнений, которые несет за собой одонтогенный остеомиелит челюсти и другие его формы. Профилактические меры основаны на простых действиях. Человеку необходимо соблюдать правила личной гигиены: часто мыть руки, особенно перед едой, регулярно чистить зубы и так далее. При малейших симптомах следует сразу идти к стоматологу. Следует вовремя лечить инфекции верхних дыхательных путей и другие заболевания. Также следует быть внимательными и не допускать травм челюсти и лица.
Делать все это не сложно. Благодаря внимательному и бережному отношению к своему здоровью можно избежать многих серьезных последствий и продлить себе жизнь, которая и так не радует нас своей продолжительностью.
Вопрос-ответ
Как понять, что у тебя остеомиелит челюсти?
Остеомиелит челюсти можно заподозрить по таким симптомам, как сильная боль в области челюсти, отек, покраснение, повышение температуры, наличие гнойных выделений из десен или зубов, а также общее недомогание. Если вы заметили эти признаки, рекомендуется обратиться к стоматологу или врачу для диагностики и лечения.
Сколько длится подострая стадия остеомиелита?
Подострая или переходная стадия остеомиелита чаще всего длится от 1,5 до 2 недель. Ее продолжительность определяется несколькими факторами, среди которых следует выделить состояние резистентности организма больного, возраст, своевременность и объем терапии больного в предшествующей острой стадии.
Какова причина развития травматического остеомиелита челюстей?
Причина развития остеомиелита челюстей. Как правило, спровоцировать данную патологию может кариес в запущенной стадии, воспалительное поражение в области сосудисто-нервного пучка, тканей периодонта или альвеолы, кистозное образование, перикоронарит.
Советы
СОВЕТ №1
Обратите внимание на симптомы. Остеомиелит челюсти может проявляться в виде боли, отека, покраснения и повышенной температуры. При появлении этих признаков немедленно обратитесь к стоматологу или врачу для диагностики и начала лечения.
СОВЕТ №2
Не игнорируйте профилактические меры. Регулярная гигиена полости рта, своевременное лечение зубов и посещение стоматолога помогут снизить риск развития остеомиелита. Убедитесь, что у вас нет хронических инфекций, которые могут способствовать развитию заболевания.
СОВЕТ №3
Следуйте рекомендациям врача. Если вам поставили диагноз остеомиелит, строго соблюдайте назначенное лечение, включая прием антибиотиков и, при необходимости, хирургическое вмешательство. Это поможет предотвратить осложнения и ускорить выздоровление.
СОВЕТ №4
Обратите внимание на свое общее состояние здоровья. Заболевания, такие как диабет или иммунодефицит, могут увеличить риск остеомиелита. Поддерживайте здоровье с помощью сбалансированного питания, физической активности и регулярных медицинских осмотров.



Острый остеомиелит. Для него характерно резкое начало и общие симптомы. Сразу повышается температура, значение которой становятся субфебрильными. Человек жалуется на разбитость, озноб, общую слабость, нарушение сна и отсутствие аппетита. Одонтогенный остеомиелит характеризуется болью возле пораженного зуба. Он является источником инфекции. Если сначала боль локальная, то впоследствии она становится разлитой, отдает в висок, глазницу и ухо. Сам зуб и те, которые расположены рядом с ним, становятся подвижными, а слизистая оболочка отекает. Из карманов десен может вытекать гной. Изо рта человека чувствуется зловонный запах. Если инфекция распространяется на мягкие ткани, пациент не способен полностью открывать рот, ему трудно дышать, и он испытывает при глотании болезненные ощущения.
Остеомиелит нижней челюсти. Эта форма встречается наиболее часто. Она развивается из-за попадания патогенной микрофлоры в костную ткань челюсти. Первым симптомом часто является сниженная чувствительность рецепторов окончаний нервов подбородка и губы. Чувствительность пораженного зуба возрастает. Если дотрагиваться до этого места, боль приобретает пульсирующий и острый характер. Так проявляется одонтогенная форма заболевания. Поражение нижней челюсти очень похоже на проявление гнойной лихорадки. Развивается общая интоксикация, учащенный пульс, озноб. Если заболевание протекает в острой форме, резко подскакивает температура, показатели которой могут достигнуть сорок градусов. Болезненные ощущения становятся расплывчатыми, потому что распространяются все дальше. Человек трудно глотать и жевать.