В истории медицины существует большое количество болезней, которые передаются бытовым путем. Они создают много неудобств человеку, мешая ему жить полноценной жизнью и принося огромный вред его здоровью. Заражаются этими болезнями в основном в быту по нескольким причинам. Одним из заболеваний, о которых сейчас идет речь является лямблиоз. По-другому называют его «паразитом тоски». Такое название появилось у болезни потому, что интоксикация, которая происходит в человеческом организме, приводит к плаксивости, раздражению и полностью угнетенному состоянию.
Что такое лямблиоз?

Это распространенная болезнь, вызванная заражением человека лямблиями. Некоторые, по незнанию своему, зачастую могут спутать лямблии с другими червями паразитами гельминтами. Они действительно имеют некоторые сходства, но отличительной их чертой является то, что лямблии – это одноклеточный мельчайший микроорганизм, который может существовать отдельно и функционировать независимо. Этот простейший жгутиковый паразит попадает в кишечник человека, прикрепляется к эпителию слизистой оболочки и питается всеми полезными элементами и микроорганизмами, которые предназначены для нормального существования человеческого организма.
Причины заражения лямблиозом:

Эти паразиты могут длительное время находиться на различных предметах домашнего обихода, в воде. Эпидемиологи давно заметили, что вспышки данной инфекции чаще всего приходятся на летнее и весеннее время года. Поражают они в первую очередь детей. Но может пострадать от лямблий и взрослый человек, который по тем или иным причинам не соблюдал правила личной гигиены, употреблял в пищу неправильно приготовленное мясо или рыбу, пил воду, не прошедшую требуемую обработку.
Особенно страдают и подвержены большому риску заражения лямблиозом люди со слабым иммунитетом и те, которые страдают различными хроническими заболеваниями желудочно-кишечного тракта. По статистике взрослых людей, зараженных лямблиями в развитых странах около 4-5 %, в странах с низким уровнем жизни – 10-15 %. Детей, зараженных лямблиозом около 50 %, что особенно пугает эпидемиологов.
Врачи отмечают, что лямблиоз является одной из наиболее распространенных кишечных инфекций, вызываемых простейшими организмами рода Giardia. Симптомы заболевания могут варьироваться от легкой диспепсии до тяжелых форм диареи и абдоминальной боли. Специалисты подчеркивают важность ранней диагностики, так как многие случаи остаются незамеченными из-за неявных симптомов. Лечение обычно включает применение антипаразитарных препаратов, однако врачи предупреждают о необходимости комплексного подхода, включая коррекцию питания и восстановление микрофлоры кишечника. Профилактика остается ключевым аспектом, и медики рекомендуют соблюдать правила личной гигиены и избегать употребления неочищенной воды. В целом, лямблиоз требует внимательного отношения как со стороны пациентов, так и медицинских работников.
https://youtube.com/watch?v=ChBL9DAUIJ8
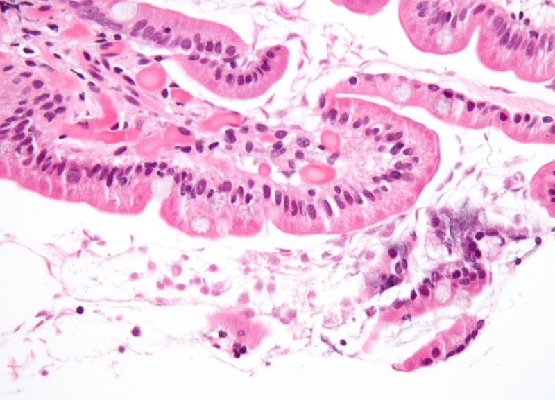
Общая картина лямблиоза

Попадая в кишечник человека, лямблии поселяются в его тонком кишечнике и уже буквально через пару дней начинают там интенсивно размножаться. Если течение данного заболевания острое, то за короткие сроки в желудочно-кишечном тракте человека насчитываются десятки миллионов этих паразитов.
Вследствие этого в организме происходят такие изменения:
- Питательные вещества усваиваются с большими проблемами.
- Происходит нарушение секреции ферментов, которые жизненно необходимы человеку при переваривании еды.
- Происходит развитие дисбактериоза.

Проходит небольшое время и лямблии поселяются во всем кишечнике. Некоторые ученые предполагают, что также они могут поселяться и в печени. Другие же противоречат им и утверждают, что среда желчных путей губительно влияет на этих паразитов. Но хоть мнения ученых в этом вопросе и разошлись, ясно одно и с этим никто не спорит – от лямблиоза у человека бывает холецистит и дискинезия. От продуктов жизнедеятельности лямблий, которые попадают в кровь человека, в его организме происходит интоксикация и аллергическая сенсибилизация.
Двух недель достаточно этим паразитам, чтобы их стало в несколько сотен больше. Такое время длится их инкубационный период. По истечении этого периода времени человек начинает жаловаться на некоторые недомогания, у него появляются симптомы, которые иногда присущи другим заболеваниям. Только правильно поставленный диагноз и результаты лабораторных исследований помогут определить симптомы лямблиоза, лечение которого может пройти в несколько этапов и занять много времени.

Симптомы лямблиоза:
Если проигнорировать симптомы лямблиоза, лечение не начать во время, то со временем ко всем этим проблемам добавляется авитаминоз, от которого волосы, ногти и кожа за короткое время приходят в плачевное состояние. Кроме того, у человека воспаляются губы и участки вокруг них, а в их уголках образовываются и не поддаются никакому лечению называемые в народе заеды. Через некоторое время человек замечает в себе невероятную слабость, у него появляется постоянная усталость, он становится сонливым и нервозным. Замечено, что у мужчин и женщин болезнь эта протекает почти одинаково и имеет одни и те же симптомы. Дети же более бурно реагируют на заражение лямблиями.
Аллергические проявления наступают у человека неожиданно, они не зависят от приема пищи. Чаще всего это, на первый взгляд, безобидная крапивница, сопровождающаяся зудом. Бывают частые случаи, что лямблиоз сопровождается насморком, слезоточивостью глаз, которая может перейти в конъюнктивит. При более запущенных случаях болезнь сопровождается астматическим кашлем.
Лямблиоз может протекать в острой и хронической форме. Он бывает субклиническим, бессимптомно лямблионосительным и манифестным.
Диагностика

Довольно часто данное заболевание не распознают с первого момента. Больной лечится у многих других врачей, кроме инфекциониста. Для того, чтобы поставить точный диагноз и удостовериться, что человек заражен лямблиями недостаточно одного лабораторного анализа кала, потому что эти паразиты не всегда там могут быть обнаружены. Для обнаружения цист лямблий нужно делать анализ каловых масс с периодичностью в пять дней на протяжении месяца. Кроме этого необходимо проверить, нет ли цист в двенадцатиперстной кишке. При подозрении на лямблиоз врач обязательно назначает биопсию.
Анализ кала не всегда может показать наличие в нем паразитов. Даже если у человека присутствуют все симптомы болезни может пройти много времени, прежде, чем в кале появятся какие-либо следы присутствия этих паразитов. Такая же ситуация происходит и при хроническом течении болезни. Цисты в кале появляются с известной только им периодичностью.
Лямблиоз — это заболевание, о котором многие слышали, но не все понимают его серьезность. Люди часто делятся своими историями о том, как долго не могли понять причину своих недомоганий. Симптомы, такие как боли в животе, диарея и усталость, могут быть очень неприятными и мешать повседневной жизни. Некоторые рассказывают, что долгое время лечились от других заболеваний, не подозревая о наличии лямблий.
Многие отмечают, что диагностика может быть сложной, так как анализы не всегда показывают наличие паразитов. В результате, пациенты обращаются к различным врачам, прежде чем получают правильный диагноз. Лечение, как правило, включает в себя антибиотики, и многие говорят о значительном улучшении состояния после курса терапии. Однако не все знают, что важно также соблюдать профилактические меры, чтобы избежать повторного заражения. Обсуждая лямблиоз, люди подчеркивают важность осведомленности и внимательного отношения к своему здоровью.
https://youtube.com/watch?v=bgU8ogSaOpE
Лечение

Для людей, страдающих этой болезнью важно знать, чем лечить лямблиоз. К этому вопросу нужно подходить со всей серьезностью. Прежде всего, необходима полная уверенность, что диагноз поставлен правильно. Только после этого принимается решение, какими лекарствами лечить больного. Ведь при подобной проблеме обычных симптоматических средств, которые избавят от дискомфорта в животе, поноса или запора будет просто недостаточно.
Улучшение может и наступит, но лишь временное. Успешное избавление от лямблиоза зависит от нескольких радикальных вместе принятых мер. В первую очередь больной нуждается в медикаментозной терапии. Во-вторых, он просто обязан соблюдать все гигиенические мероприятия и в третьих, что тоже немаловажно – придерживаться особой диеты.
Из медикаментов чаще всего прибегают к помощи таких антисептических и противомикробных средств, как метронидазол, тинидазол, фуразолидон. У всех этих средств есть свои противопоказания и побочные эффекты. Поэтому принимать их нужно обязательно под наблюдением специалиста.
К гигиене относятся следующие требования, которые следует непрекословно соблюдать:
- Нужно обязательно мыть руки после туалета и перед каждым приемом еды.
- Необходимо принять все меры и обеззаразить питьевую воду.
- Взять себе за правило и постоянно убирать свое жилье, регулярно менять постельное и нательное белье.
Эти правила должны соблюдаться не только во время борьбы с лямблиями. Если они войдут человеку в привычку, то риск заразиться этими и другими паразитами будет сокращен к минимуму.

Во время диеты необходимо включить в рацион легко усваиваемые продукты питания. Из молочных продуктов нужно употреблять кефир, творог и сметану. Из растительной пищи прекрасно подойдут картофель, капуста, свекла, помидоры и др. Из фруктов рекомендовано кушать груши, яблоки, цитрусовые и другие.
От жирной и плохо усваиваемой пищи больному человеку лучше отказаться. Особенно крайне противопоказана в этом случае свинина. Во время острого периода пищу следует принимать дробно небольшими порциями. Еда должна быть хорошо обработанная и протертая.
При хроническом течении болезни можно некоторые строгие пункты диеты упустить и добавить в рацион побольше продуктов, содержащих белок.
Для того, чтобы помочь организму победить эту неприятную болезнь врач назначает дополнительные средства, восстанавливающие нормальную микрофлору кишечника, комплекс витаминов и иммуностимуляторы.
Последствия лямблиоза могут быть самыми страшными и неприятными. Поэтому не рекомендуется халатно относиться к данной проблеме или попытаться избавиться от паразитов самостоятельно. Только с помощью знающего инфекциониста, длительного лечения и огромной силе воли можно победить лямблий.
Если следовать всем советам и рекомендациям врача можно не только навсегда избавиться и забыть о лямблиях, как о страшном сне, но и никогда не ощутить на себе ремиссии данного заболевания, что встречается в медицинской практике довольно часто.
https://youtube.com/watch?v=QzZUy7OpfZ4
Вопрос-ответ
Как понять, что у тебя лямблии?
Основным и наиболее распространенным методом является микроскопическое исследование кала на наличие цист лямблий. Этот анализ позволяет обнаружить паразитов и их стадии в биологическом материале пациента.
Чем опасен лямблиоз для человека?
Помимо тонкого кишечника лямблии могут пробираться в желчные пути, закупоривать их, вызывать воспаление или даже образование эрозии. Болезнь может поражать детей, взрослых и даже домашних животных.
Какой препарат убивает лямблии?
Метронидазол (Трихопол, Метрогил) – это антибиотик, который может использоваться для лечения лямблиоза у взрослых и детей. Метронидазол действует, разрушая ДНК лямблий и препятствуя их размножению.
Лямблии это глисты или нет?
Лямблии и глисты – различия и сходства. Многие люди ошибочно полагают, что лямблии – это разновидность гельминтов, паразитирующих в желудочно-кишечном тракте. И те, и другие микроорганизмы относятся к числу паразитических и проникают в организм одинаковыми способами.
Советы
СОВЕТ №1
Регулярно мойте руки с мылом, особенно после посещения туалета и перед едой. Это поможет предотвратить заражение лямблиями, которые могут передаваться через загрязненные руки.
СОВЕТ №2
Избегайте употребления некипяченой воды и продуктов, которые могут быть загрязнены. Пейте только бутилированную или кипяченую воду, особенно в регионах с низким уровнем санитарии.
СОВЕТ №3
Следите за состоянием своего здоровья и при появлении симптомов, таких как диарея, боли в животе или тошнота, обращайтесь к врачу. Раннее выявление и лечение лямблиоза помогут избежать осложнений.
СОВЕТ №4
Убедитесь, что продукты питания, особенно овощи и фрукты, тщательно промыты и, при необходимости, обработаны термически. Это снизит риск заражения лямблиями через пищу.

