Парагонимоз – относится к паразитарным заболеваниям человека, передается фекально-оральным путем. Возбудителями являются трематоды Paragonimus, которые в основном обосновываются в легких человека. Встречаются случаи распространения паразитов в мозге или некоторых других органах.
Основные причины

Развивается заболевание в результате попадания легочных сосальщиков в организм. Чаще всего возбудителем отмечен плоский гельминт красного цвета P. Westermani. Длина паразита достигает 7-12 мм, на теле видны кутикулы с небольшими шипами, присутствуют присоски.
Глистная инвазия этого типа является гермафродитом. Поэтому в результате перекрестного оплодотворения глисты откладывают яйца. Они выделяются из организма хозяина фекальным путем или с мокротой и при попадании в воду дозревают.
К основным хозяевам парагонизмов относятся:
- Домашние животные – собаки, кошки.
- Мелкие хищники – нутрии, ондатры, выдры.
- Домашний скот, в особенности свиньи.
- Человек.
Есть у гельминтов этого типа и промежуточные хозяева. Так как глисты дозревают в воде, они поселяются в моллюсках, крабах, креветках, где развиваются до инвазионных метацеркарий. Уже из сырых моллюсков и морепродуктов инвазии попадают в организм человека, у которого отмечается повышенная восприимчивость к данному виду глистов. После попадания в организм основного хозяина метацеркарии покидают оболочки и перемещаются в дыхательную систему, где за несколько месяцев достигают половой зрелости.
Врачи отмечают, что парагонимоз, вызываемый паразитами рода Paragonimus, представляет собой серьезную проблему для здоровья населения в регионах, где распространены пресноводные моллюски и раки. Заболевание может проявляться различными симптомами, включая кашель, боли в груди и лихорадку, что затрудняет его диагностику. Специалисты подчеркивают важность раннего выявления и лечения, так как запущенные случаи могут привести к осложнениям, таким как легочные абсцессы. Врачи рекомендуют проводить профилактические меры, включая контроль за употреблением сырой или недостаточно термически обработанной рыбы и раков. Образовательные программы для населения также играют ключевую роль в снижении заболеваемости.
https://youtube.com/watch?v=lFqnziJuNH8
Классификация по формам заболевания
Современная медицина отмечает две формы данного заболевания:

Также выделяют отличия в соответствии со стадией недуга:
Признаки недуга
После того, как паразиты успешно переместились в организм своего основного хозяина, должен пройти инкубационный период до проявления первых признаков проблемы. Обычно он составляет от нескольких недель до нескольких месяцев.
В период паразитирования молодых гельминтов в легких отмечается развитие плевролегочного синдрома.
Его симптомы:
Состояние больного напоминает пневмонию или бронхит, но лечению типичными медикаментами для таких заболеваний не поддается. Уже через несколько месяцев проблема переходит в другую стадию – плевролегочный парагонимоз. Недуг протекает со сменой состояний ремиссии и обострения.
В этот период у пациента отмечены такие симптомы:
У некоторых пациентов диагностируется плеврит. Заболевание протекает длительно, а в плевральной жидкости наблюдаются яйца гельминтов. При переходе заболевания в хроническую фазу наблюдается фиброз легких. Возможно развитие и более сложных заболеваний, среди которых рак легких.

Медицине известны случаи, когда парагонимоз локализировался в желудочно-кишечном тракте.
В этой ситуации признаки могут быть следующие:
Парагонимоз — это паразитарное заболевание, вызываемое легочными сосальщиками, которое может вызывать серьезные проблемы со здоровьем. Люди, столкнувшиеся с этой болезнью, часто делятся своими переживаниями в интернете. Многие отмечают, что симптомы, такие как кашель, боль в груди и лихорадка, могут быть схожи с другими заболеваниями, что затрудняет диагностику. Некоторые пациенты рассказывают о том, как долго искали правильный диагноз, прежде чем врачи определили парагонимоз. В социальных сетях можно встретить фотографии, на которых изображены результаты анализов и рентгеновские снимки, что помогает другим людям лучше понять, с чем они могут столкнуться. Обсуждения также касаются методов лечения и реабилитации, где пациенты обмениваются опытом и советами. Важно, что такие разговоры помогают повысить осведомленность о заболевании и его последствиях.
https://youtube.com/watch?v=cKH55nA9TIQ
Как провести диагностику заболевания?
Для диагностики врачи используют лабораторные исследования, изучают клиническую картину, осматривают пациента. Обязательно для исследования нужно сдавать кал и мокроту на анализ. Обычно именно на основании этих проб врачи ставят окончательный диагноз. В каловых массах и мокроте довольно легко обнаружить яйца гельминтов в случае поражения организма парагонимозом.
Есть и другие способы диагностики проблемы:
- Анализ крови позволяет определить антитела к паразитам.
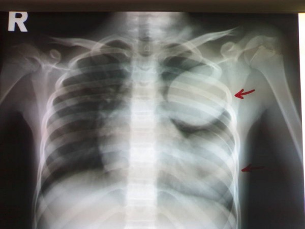
- Рентгенологические исследования легких показывают затемнения в сегментах. Они имеют дугообразную форму. Видны паразиты и на рентгене черепа, если гельминты обосновались в мозге пациента.
- Лапароскопия брюшной полости позволяет найти незрелых гельминтов при распространении паразитов в кишечнике.
Диагноз врачи ставят на основании одного или нескольких лабораторных исследований. Современная медицина, выраженные симптомы заболевания и высокая результативность анализов позволяют поставить точный диагноз.
Как лечить парагонимоз?

Варианты лечения прописывает доктор в зависимости от очагов поражения, симптомов и стадии заболевания:
- На начальной стадии заболевания достаточно пройти курс лечения антигистаминными препаратами. Дополнительно врачи иногда назначают противогельминтные средства.
- Лечение острой формы также включает антигистаминные лекарства и противогельминтные средства.
- Если поражается ЦНС, лечение пациента должно проходить исключительно в условиях стационара. В таком случае помимо основных лекарств применяют противосудорожные, мочегонные средства.
- Лечение хронического парагонизма предполагает прием сердечно-сосудистых препаратов и общеукрепляющих лекарственных средств.
При неэффективности лечения, врач может назначить удаление кист легкого, мозга или рекомендовать проведение резекции легкого.
Прогноз парагонимоза положительный в том случае, если заболевание удается обнаружить на ранней стадии. Благодаря выраженным симптомам чаще всего именно так и происходит, поэтому пациенты за достаточно короткий срок избавляются от неприятной проблемы.
Но есть и ситуации сильного поражения, которые могут привести к осложнениям:
Поэтому рекомендуется обратить внимание на профилактику попадания в организм паразитов.

Профилактика парагонимоза
Профилактика проникновения гельминтов в легкие и мозг человека заключается в отказе от употребления сырого мяса ракообразных. Важно внимательно следить за качеством питьевой воды, лучше употреблять её после кипячения. Паразиты погибают при температуре 50 градусов Цельсия за 25 минут, а при температуре от 70 градусов Цельсия за 5 минут.
Еще один метод профилактики – простая гигиена рук. Способствует предупреждению заболевания охрана водоемов от загрязнения фекалиями.
https://youtube.com/watch?v=hVFhB1GsARQ
Вопрос-ответ
Каким путем человек заражается парагонимозом?
Парагонимоз – инвазия легочного плоского червя Paragonimus westermani и похожих разновидностей. Люди заражаются при употреблении сырых, маринованных или термически не обработанных пресноводных ракообразных.
Что такое парагонимоз?
Парагонимоз – паразитарная болезнь, вызываемая трематодами. Природные очаги формируют животные, являющиеся резервуаром паразита. У человека поражаются легкие, подкожная клетчатка, скелетные мышцы и реже – головной мозг или другие органы.
Кто вызывает парагонимоз?
Парагонимоз вызывается легочными сосальщиками, включающими несколько близких видов трематод рода Paragonimus. Наиболее часто возбудителем выступает P. Westermani, представляющий собой плоского гельминта красно-коричневого оттенка, имеющего форму апельсинового семени.
Советы
СОВЕТ №1
Изучите информацию о парагонимозе и его симптомах. Знание о том, как проявляется это заболевание, поможет вам своевременно обратиться к врачу при первых признаках, таких как кашель, боли в груди или лихорадка.
СОВЕТ №2
Обратите внимание на источники заражения. Парагонимоз чаще всего передается через употребление в пищу сырых или недостаточно термически обработанных моллюсков и рыбы. Избегайте таких продуктов, особенно в регионах, где заболевание распространено.
СОВЕТ №3
Регулярно проходите медицинские обследования, если вы живете в эндемичных зонах. Профилактические осмотры помогут выявить заболевание на ранней стадии и начать лечение, что значительно повысит шансы на полное выздоровление.
СОВЕТ №4
Обсуждайте с врачом возможные методы профилактики и лечения. Если вы или ваши близкие подвергались риску заражения, важно знать о доступных вариантах терапии и профилактических мерах, чтобы минимизировать риск заболевания.

