
На сегодняшний день перелом бедра составляет шесть процентов от всех переломов среди взрослых и около семнадцати процентов среди детей. Эта травма несет за собой серьезные последствия и требует долгого и эффективного лечения. В настоящее время разработано достаточно много методов лечения, среди которых можно выделить скелетное вытяжение, штифт, тутор и так далее. Врач после тщательного обследования выбирает, какой именно способ принесет пациенту пользу.
Бедренная кость состоит из эпифизов и диафиза. Верхняя часть имеет головку, входящую в суставную впадину таза. Все вместе эти элементы образуют тазобедренный сустав. Ниже головки располагается тонкая шейка, которая соединяется под углом с телом. В том месте, где они соединяются, снаружи есть большой и малый вертел. При расширении нижний конец образует два мыщелка, который граничат с большой берцовой костью и надколенником, так образуется коленный сустав.
Перелом бедренной кости, то есть нарушение ее целостности, приводит к нарушению функциональности всего вышеописанного механизма. Особенно тяжело протекают переломы бедра в пожилом возрасте, когда организм восстанавливается достаточно тяжело. Для ребенка такое повреждение тоже опасно, однако, шансов на скорейшее выздоровление гораздо больше.
Причины
Для начала рассмотрим причины, которые приводят к закрытым или открытым переломам бедра. В молодом или среднем возрасте обычно случаются переломы верхней части кости из-за падения с высоты или ДТП. Травмирование бедра у пожилых людей случаются в результате прямого удара или падения на область сустава. Переломы шейки бедра может произойти в результате простого спотыкания. Причинами также служат спортивные или производственные травмы.
Механизм перелома у ребенка такой же, как у взрослого человека. Травма случается тоже из-за падения с высоты, перегиба или насильственного скручивания конечности или в результате ДТП. Если в кости развивается патологический процесс, может случиться патологический перелом, возникающий при незначительной травме.
При малейшем подозрении на переломы бедра необходимо сразу же доставить пострадавшего в больницу. Чем скорее это будет сделано, тем быстрее врач определит наличие и вид повреждения и назначит лечение, которым впоследствии может являться тутор, штифт, скелетное вытяжение и так далее.
Врачи отмечают, что перелом бедренной кости является серьезной травмой, требующей комплексного подхода к лечению. В зависимости от типа и степени повреждения, лечение может включать как консервативные методы, так и хирургическое вмешательство. Консервативное лечение обычно применяется при незначительных смещениях и включает иммобилизацию с помощью гипса или ортезов. Однако в случаях со значительным смещением или множественными переломами часто требуется операция для восстановления анатомической целостности кости.
Последствия перелома могут варьироваться от временной потери подвижности до хронической боли и ограничений в физической активности. Врачи подчеркивают важность реабилитации, которая помогает восстановить функцию конечности и предотвратить осложнения, такие как тромбообразование или инфекция. Психологическая поддержка также играет значительную роль в процессе восстановления, так как травма может негативно сказаться на эмоциональном состоянии пациента. В целом, своевременное обращение за медицинской помощью и соблюдение рекомендаций специалистов способствуют успешному восстановлению.
https://youtube.com/watch?v=JB7cTpuaY_g
Классификация
Существуют три большие группы, каждая из которых включает в себя отдельные виды повреждений.
- Переломы проксимального отдела. Они делятся на медиальные и латеральные травмы. Медиальные, то есть внутрисуставные повреждения, включают в себя переломы шейки бедра и его головки . Медиальные травмы – это чресшеечные, подголовные переломы, а также травмы основания шейки. Латеральные, то есть внесуставные повреждения, включают в себя изолированные, чрезвертельные, межвертельные переломы малого и большого вертелов. Каждое повреждение проксимально отдела имеет свои симптомы, о которых мы поговорим позже.
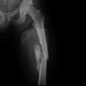
- Диафизарные переломы. Они возникают от непрямого и прямого механизма травмы. Уровень повреждения определяет его вид. Перелом верхней трети бедра из-за действия мышечной тяги приводит к тому, что кпереди смещается центральный отломок. Его смещение также происходит кнаружи. Периферический отломок подтянут кверху. В случае перелома средней трети центральный отломок немного отклонен кнаружи и кпереди, а периферический слегка приведен и смещен кверху. Конечность деформируется из-за сильного смещения и искривления. В случае перелома нижней трети центральный отломок смещается кнутри и кпереди из-за сильных приводящих мышц и тяги сгибателей. Короткий периферический отломок отклонен кзади. Костный фрагмент может повредить нервно-сосудистый пучок.
- Переломы дистального отдела или нижнего конца кости. Обычно это происходит из-за прямого удара по коленному суставу или падения. При этом может произойти перелом бедра со смещением. Возрастает количество переломов бедра у пожилых людей. Может произойти смещение одного или двух мыщелков. Смещение отломков происходит в строну и вверх. Кость из места повреждения выливается в сустав, что приводит к гемартрозу.
Симптомы
Практические каждый перелом имеет свои симптомы, которые, конечно же, могут быть схожи с повреждениями других частей бедра. Поэтому рассмотрим поочередно признаки в соответствии с вышеприведенной классификацией травм.
- Симптомы повреждений проксимального отдела. При медиальных переломах в тазобедренном суставе наблюдаются боли, а также потеряна трудоспособность конечности. Поврежденная конечность укорочена. Пострадавший не способен поднять ногу, которая разогнута в коленном суставе.

- Характерными признаками диафизарных переломов являются кровотечение в мягкие ткани и развитие шока.
- При переломах дистального отдела движения ограничены и болезненны. Если произошло повреждение наружного мыщелка, голень отклонена наружу. Если поврежден внутренний мыщелок, голень отклонена кнутри.
Осколочные переломы бедра происходят редко и чаще всего сосредоточены в области вертела. При этом наблюдается деформация, боль, отек и патологическая подвижность. Пациент не может опираться на поврежденную конечность. Внутрисуставные повреждения приводят к гемартрозу. При открытом переломе бедра наблюдается большая кровопотеря, потому что в той области сходятся крупные кровотоки. При повреждениях у ребенка возникают вышеописанные симптомы.
Перелом бедренной кости — это серьезная травма, которая часто вызывает много вопросов у пациентов и их близких. Многие отмечают, что лечение требует времени и терпения. Врачи обычно рекомендуют хирургическое вмешательство, особенно в случае смещения, что вызывает опасения у пациентов. Однако большинство людей отмечают, что после операции и реабилитации они возвращаются к активной жизни.
Некоторые делятся опытом о том, как важно следовать рекомендациям врачей и не торопиться с физической активностью. Последствия перелома могут варьироваться: от временной потери подвижности до хронической боли. Многие пациенты подчеркивают, что психологическая поддержка и участие близких играют ключевую роль в процессе восстановления. В целом, несмотря на сложности, большинство людей отмечают, что с правильным подходом можно добиться хороших результатов и вернуться к привычному образу жизни.
Лечение
Очень важно вовремя начать лечение. Как уже было сказано, сегодня существует достаточно способов лечения. Каким именно воспользоваться, решает врач в зависимости от тяжести и вида повреждения.
Эффективно применения штифтов, туторов и скелетного вытяжения, однако, заниматься этим должны специалисты. В чем суть этих методов, рассмотрим ниже, но сначала следует понять общие принципы лечения различных видов травм.
- Травмы проксимального отдела. Переломы шейки бедра лечатся оперативным путем, однако, это не касается вальгусных вколоченных переломов и повреждений на фоне противопоказаний к операции. Консервативное лечение для молодых основано на наложении гипсовой тазобедренной повязки на три месяца, после чего можно ходить на костылях, но без нагрузки на больную конечность. Нагрузка допускается только через полгода после травмы. Полностью трудоспособность возвращается через восемь месяцев после травмы проксимального отдела. В пожилом возрасте накладывается скелетное натяжение на 10 недель, так как гипсовая повязка дает осложнения. Также врач назначает раннюю лечебную гимнастику. Иногда приходится делать операцию для того, чтобы добиться консолидации перелома шейки кости в плохих условиях.

Латеральные переломы бедренной кости успешно лечатся консервативным путем. Обычно пользуются скелетным вытяжением. У пожилых людей после месяца с таким вытяжением используют манжетное вытяжение. Хирургическое лечение применяется для активации больного, чтобы сократить время пастельного режима поле перелома проксимальной части и быстро приучить его к самообслуживанию. При травме большого вертела в поврежденное место вводят прокаин, а конечность укладывают на шину. При травме малого вертела конечность также укладывается на шину со сгибанием в тазобедренном и коленном суставе. В обоих случаях поражения вертелов в проксимальной части используется манжетное вытяжение.
https://youtube.com/watch?v=xxAGkP0hWHI
- Диафизарные переломы. Применяется консервативное или оперативное лечение. Если не произошло смещения кости, то конечность фиксируется тазобедренной большой повязкой. Отведение бедра тем больше, чем выше травма. Скелетное вытяжение используют при спиральных и косых травмах.
- Дистальные переломы бедренной кости. Если наблюдается гемартроз, проводится пункция сустава. В случае мыщелкового повреждения накладывается гипсовая кокситная повязка на один или два месяца. При смещении отломков перед этим выполняется их сопоставление. Если сделать это невозможно, проводится операция.
В лечении также используются такие два приспособления, как штифты и туторы. Интрамедуллярный штифт используется в случае вертельного перелома. Подобное оборудование представляет собой трубчатые элементы, вводимые в кость, и головки, которая вводится в седло. Также есть несколько стабилизирующих винтов. Есть виды штифтов с блокированием. Также существуют штифты с приспособлением для просверливания внутренней части костей. Штифты используются в медицине достаточно давно и необходимы для эффективной реабилитации пациентов.
https://youtube.com/watch?v=wAlH0m1lQjQ
Также используется такое приспособление, как тутор. Оно представляет собой гильзы различной локализации. Тутор предназначен для фиксации конечности, чтобы восстановить ее функцию и опору. Фиксирующие тутора обычно одевают на ночь, это поможет избежать нежелательных движений во время сна. Благодаря такому тутору человек защищен от неожиданной боли. Днем используются динамические тутора, чтобы привычные движения не приносили боль.
Перелом бедренной кости, произошел он у взрослого или ребенка, является серьезной травмой, так как на длительное время меняет жизнь человека, сильно ограничивая его, Поэтому следует внимательно относиться к лечению и слушаться назначений врача.
Вопрос-ответ
Каковы основные симптомы перелома бедренной кости?
Основные симптомы перелома бедренной кости включают сильную боль в области бедра, отек, невозможность нормально передвигаться или опираться на ногу, а также деформацию конечности. В некоторых случаях может наблюдаться синяк или изменение цвета кожи вокруг поврежденной области.
Какие методы лечения используются при переломе бедренной кости?
Лечение перелома бедренной кости может включать консервативные методы, такие как иммобилизация с помощью гипса, или хирургические вмешательства, например, остеосинтез с использованием металлических пластин и винтов. Выбор метода зависит от типа и степени тяжести перелома, а также состояния пациента.
Каковы возможные последствия перелома бедренной кости?
Последствия перелома бедренной кости могут варьироваться от временной потери подвижности до хронической боли и осложнений, таких как тромбообразование или инфекция. В некоторых случаях может развиться посттравматическая артрит, что приведет к долгосрочным проблемам с суставами. Реабилитация и физическая терапия играют важную роль в восстановлении функций конечности.
Советы
СОВЕТ №1
Перед началом лечения перелома бедренной кости обязательно проконсультируйтесь с опытным ортопедом. Он поможет определить оптимальный метод лечения, будь то консервативный подход или операция, в зависимости от характера и степени повреждения.
СОВЕТ №2
Следите за реабилитацией после лечения. Физическая терапия и специальные упражнения помогут восстановить подвижность и силу в ноге, а также предотвратить осложнения, такие как тромбообразование или атрофия мышц.
СОВЕТ №3
Обратите внимание на свое питание. Убедитесь, что ваш рацион богат кальцием и витамином D, которые способствуют укреплению костей и ускоряют процесс заживления. Рассмотрите возможность добавления добавок, если это необходимо.
СОВЕТ №4
Не игнорируйте психологическую сторону восстановления. Перелом бедренной кости может негативно сказаться на вашем эмоциональном состоянии. Поддержка близких и, при необходимости, консультация психолога помогут вам справиться с трудностями в процессе реабилитации.



