
Классификация, причины
В зависимости от источника заражения, выделяют:
- Одонтогенный остеомиелит зубов. Это серьезное осложнение запущенного кариеса, который встречается чаще всех остальных челюстных остеомиелитов. Эта форма характеризуется тем, что инфекция проникает из кариозной полости в пульпу, после чего распространяется в зубной корень и костную ткань. В этиологии одонтогенной формы остеомиелита играют роль стафилококки, стрептококки и анаэробные бактерии. Они проникают в костную ткань по канальцам и лимфатическим сосудам.
- Травматический остеомиелит. Сюда относится травматическое удаление зуба или вмешательство в его структуру, например, пломбирование канала. При этом в рану проникает инфекция.
- Гематогенный остеомиелит. Он развивается в том случае, когда костная ткань заражается через перенос инфекции с кровяным током из первичного очага воспаления. Источником заражения может стать хронический тонзиллит, острые инфекции, такие как дифтерия, скарлатина и т.д. Гематогенная форма отличается тем, что сначала поражается участок костного тела, после чего в воспалительный процесс вовлекаются зубы.
В зависимости от клинической картины можно выделить ее три формы заболевания:
- Острая форма заболевания. Она характеризуется выраженной реакцией всего организма на процесс инфицирования.
- Подострая форма. Ее развитие связано с тем, что состояние пациента облегчается, так как гной прорывается из костной ткани. Гной попадает в полость рта. Воспаление ослабевание, но процесс разрушения костной ткани продолжается.
- Хроническая форма. Остеомиелит в этой форме может протекать несколько месяцев. Несмотря на внешнее выздоровление, заболевание обостряется, обостряется новый свищ, омертвленные участки костной ткани отторгаются с образованием секвестров.
Врачи отмечают, что остеомиелит зубов чаще всего возникает в результате инфекций, вызванных бактериями, проникающими в костную ткань через поврежденные десны или зубы. Основными факторами риска являются несвоевременное лечение кариеса, травмы челюсти и ослабленный иммунитет. Симптомы заболевания могут включать боль, отек и покраснение в области пораженного зуба, а также общее недомогание.
Для лечения остеомиелита стоматологи рекомендуют комплексный подход. В первую очередь необходимо провести антибиотикотерапию для устранения инфекции. В некоторых случаях может потребоваться хирургическое вмешательство для удаления гноя и пораженных тканей. Врачи подчеркивают важность ранней диагностики и своевременного обращения к специалисту, чтобы предотвратить серьезные осложнения и сохранить здоровье зубов и десен.
https://youtube.com/watch?v=sE1On2vnwX0
Симптомы

Первые симптомы острого одонтогенного остеомиелита – боль возле инфицированного зуба. Когда врач выполняет постукивание по зубу, наблюдается резкая болезненность и умеренная подвижность, причем последний признак отмечается и в отношении соседних зубов. Рядом с пораженным зубом слизистая оболочка красная, рыхлая, отечная и болезненная. Может развиться поднадкостничный абсцесс. При пальпации шейной области обнаруживается увеличение и болезненность лимфоузлов. Обращается внимание и на внешний вид человека: он вялый, имеет серый цвет кожи и более острый черты лица. Склеры глаз могут быть желтыми в том случае, когда интоксикация распространяется на печень и селезенку. Иногда могут наблюдаться симптомы, связанные с проблемами артериального давления, оно может повышаться или понижаться.
При одонтогенном остеомиелите из десневых карманов выделяется гной, а изо рта пациента исходит гнилостный зловонный запах. Если инфильтрация распространяется на мягкие ткани, ограничивается открытие рта, возникают трудности с дыханием и боль в процессе глотания. Если остеомиелит затрагивает нижнюю челюсть, нарушается чувствительность нижней губы.
При подостром течении заболевания состояние человека улучшается. Гноетечение и воспалительная инфильтрация уменьшается, но патологическая подвижность зубов сохраняется и может усиливаться. У хронического остеомиелита течение затяжное.
Деструктивная форма имеет симптомы лимфаденита и интоксикации. На этом фоне образуются свищи с гнойным экссудатом. Также присутствуют крупные секвестры и выбухающие грануляции. Деструктивно-продуктивная форма характеризуется множественными мелкими секвестрами.
Диагностика

Острая фаза из-за отсутствия или не выраженности рентгенологических признаков устанавливается стоматологом-хирургом или травматологом. Основа для постановки диагноза – лабораторные и клинические данные. Гемограмма показывает такие отклонения, как увеличение СОЭ, нейтрофильный лейкоцитоз. Биохимический анализ крови показывает большое количество С-реактивного белка, также отмечается гипоальбуминемия. Общий анализ мочи показывает цилиндры, эритроциты, белковые следы. Чтобы определить, возбудитель заболевания, необходимо провести бактериологический посев вещества, которое отделяется из воспаленного очага.
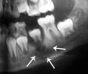
Хроническая и подострая фаза характеризуется динамикой костных изменений. Это выявляется с помощью рентгенограммы, томографии челюстей. Такое исследование показывает участки остеосклероза и остеопороза, очаги секвестрации.
Выявить заболевание с помощью рентгеноскопии на первых порах очень сложно. Только к концу первой недели на снимке можно заметить немного прозрачное и размытое пятно. Оно свидетельствует о том, что костная структура изменяется под влиянием гнойного экссудата.
Остеомиелит зубов — это серьезное заболевание, которое вызывает беспокойство у многих людей. В основном, его причиной становятся инфекции, возникающие после травм или хирургических вмешательств в области челюсти. Многие пациенты отмечают, что причиной заболевания могут быть также запущенные кариозные процессы или пародонтит. Лечение остеомиелита требует комплексного подхода: врачи часто назначают антибиотики для борьбы с инфекцией, а в некоторых случаях может потребоваться хирургическое вмешательство для удаления пораженных тканей. Люди делятся опытом, что ранняя диагностика и своевременное обращение к стоматологу значительно увеличивают шансы на успешное выздоровление. Важно помнить, что профилактика, включая регулярные осмотры и поддержание гигиены полости рта, играет ключевую роль в предотвращении этого заболевания.
https://youtube.com/watch?v=1Hv2F2Yituk
Лечение
Лечение заболевания, протекающего в острой форме, основано на следующих принципах:
- раскрытие нагноения,
- санация,
- медикаментозная терапия, способствующая устранению пиковых проявлений в воспаленном очаге.
В месте перелома необходимо удалить костные отломки и сам зуб. При этом врач следит за тем, чтобы не отслоить надкостницу. Нельзя полностью восстановить тканевые связки, также как и полностью эпителизировать рану. После процедуры остается полость, образующая свищ. Самостоятельно закрыться он не может. Однако такие меры способствуют нормализации состояния больного и улучшению его кровяных показателей. После этого пораженная область может существовать долго, не закрываясь. Постепенно процесс переходит в подострую и хроническую форму. Затем медицинская помощь направлена на мобилизацию иммунитета организма. В этот промежуток времени образуются секвестры и костная мозоль.

- очистка организма для снятия интоксикации,
- устранение неблагоприятных факторов, которые влияют на обменные процессы в организме и в месте воспаления,
- стимуляция репаративных процессов.
Если заболевание развивается в зубах верхней челюсти и инфекция попадает в верхнечелюстную и этмоидальную пазухи гематогенным путем при болезнях матери, таких как сепсис и мастит, орбитальные осложнения образуются немного позже видимых симптомов остеомиелита верхней челюсти. Необходимо удалить зуб, потому что заражение может распространиться на здоровые ткани, что повлечет за собой более сложное и длительное лечение. После удаления зуба назначается ранняя периостеотомия, которая характеризуется надрезом надкостницы, что позволяет промыть полости зараженной кости антисептиками. Также врач назначает симптоматическое лечение. Если течение остеомиелита тяжелое, секвестры удаляются хирургическим путем. Важным моментом является лечение антибиотиками и проведение детоксикационной терапии.
Если срок заболевания вписывается в полтора месяца, применяются консервативные способы лечения. В это включается прием антибиотиков и стимуляция иммунитета. Такие методы эффективны при хроническом локальном остеомиелите, при котором отсутствует вероятность расширения зоны воспаления.
Если заболевание длится более полутора месяцев и есть не рассасывающиеся секвестры и свищи, а также наблюдаются нарушения в работе почек, показано оперативное лечение, т.е. удаление секвестр. Перед операцией назначается терапия, которая поддерживает резистентность организма. После проведения операции врач назначает витамины, антибиотики и физиотерапию.

При любой форме остеомиелиты прописываются антибиотики. Они могут вводиться внутривенно и внутримышечно. Если же обстоятельства затрудненные, пациент может получать их эндолимфально и внутриаретериально. Чаще всего используют Пенициллин или Клиндамицин. Внутримышечным способом пенициллин быстро всасывается в плазму. Чтобы лечение было эффективным, его необходимо вводить один раз в четыре часа.
Последствия
Если человек вовремя обратился в больницу, прогноз практически всегда положительный. Если же лечение наступило только после того, как развилась острая форма заболевания, сложно дать прогноз и сказать, как сработает организм пациента. В процессе лечения могут возникнуть разные осложнения:
- септический шок из-за интоксикации организма,
- острая легочная недостаточность,
- флебит лицевых вен из-за гнойной инфекции,
- абсцессы мозговые и легочные,
- менингит, менингоэнцефалит,
- сепсис,
- патологический перелом, челюстная деформация,
- летальный исход.
https://youtube.com/watch?v=WdiAGa8XamA
Профилактика
Остеомиелит – это заболевание, риск развития которого может сократить каждый человек. Можно совсем предотвратить его появление или же уменьшить вероятность развития осложнений. Если человек очень внимательно относится к своему здоровью, он лучше защищен от тяжелых последствий. Следующие профилактические меры помогут достичь этой цели, если только речь не идет о гематогенной форме заболевания, которую невозможно предупредить и предугадать:
- не забывать о простых правилах личной гигиены: мытье рук после туалета, перед едой, чистка зубов и так далее,
- своевременное обращение к врачу-стоматологу при малейшем дискомфорте в полости рта,
- своевременно лечить инфекционные заболевания,
- стараться не допускать травмирование лица и челюсти.
Такие простые меры доступны каждому. Главное – не затягивать с посещением врача и соблюдать все его рекомендации.
Вопрос-ответ
Как остановить остеомиелит челюсти?
Лечение остеомиелита нижней челюсти имеет свои особенности, связанные с анатомическим строением этой области. Терапия включает обязательное удаление причинного зуба, вскрытие и дренирование гнойных очагов, а в хронической форме — секвестрэктомию.
Какой самый лучший антибиотик при остеомиелите?
Лечение остеомиелита. Обычно назначают ампициллин/сульбактам по 3 г внутривенно каждые 6 ч или пиперациллин/тазобактам по 3,375 г внутривенно каждые 6 ч.
Советы
СОВЕТ №1
Регулярно посещайте стоматолога для профилактических осмотров. Это поможет выявить проблемы на ранних стадиях и предотвратить развитие остеомиелита зубов.
СОВЕТ №2
Обратите внимание на гигиену полости рта. Чистите зубы дважды в день и используйте зубную нить, чтобы удалить остатки пищи и налет, что снизит риск инфекций.
СОВЕТ №3
При появлении первых симптомов, таких как боль в зубах, отек или покраснение десен, не откладывайте визит к врачу. Раннее лечение может предотвратить серьезные осложнения.
СОВЕТ №4
Следите за своим общим состоянием здоровья. Хронические заболевания, такие как диабет, могут повышать риск остеомиелита, поэтому важно контролировать их и следовать рекомендациям врача.

