
Переломы костей – очень частое повреждение, с которым сталкивается большинство людей в разные периоды жизни. Одним из часто встречающихся повреждений является перелом локтевого сустава. Он может произойти и у взрослого и у ребенка.
У локтевого сустава непростое строение. Сквозь него проходят нервы и крупные суставы, которые отвечают за иннервацию и кровоснабжение кистей рук и предплечий. Это значит, что переломы в локтевых суставах, которые сопровождаются повреждением нервов или сосудов, могут вызвать серьезные осложнения. Поэтому необходимо серьезно относиться к лечению и периоду реабилитации после травмы. Однако локтевой сустав самый стабильный в организме человека, поэтому можно смело утверждать, что при его переломе существуют большие компенсационные возможности. На переломы в локтевых суставах приходится в среднем двадцать процентов внутрисуставных переломов.
Причины
Самой частой причиной перелома считается падение на руку, а также прямое влияние травмирующего фактора, то есть удар.
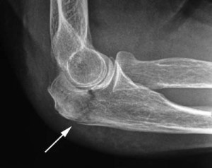
Типичная локализация перелома – локтевой отросток. Он считается самой проксимальной областью локтевой кости. Его можно легко обнаружить при прощупывании поверхности сустава.
Мышцы не защищают отросток, поэтому он подвергается воздействию травмирующих факторов. Перелом может затронуть и мыщелки плечевой кости, шейки лучевой кости и венечный отросток локтевой кости.
Конечно, нельзя не учитывать тот факт, что у кого-то высок риск повреждения кости, а у кого-то нет. Дело в том, что некоторые факторы уменьшают прочность кости, делая ее слабой. К таким воздействующим факторам можно отнести остеомиелит и другие костные заболевания, недостаток кальция в организме человека. При этом даже небольшое давление на кость может привести к ее повреждению. Причем за один раз может повредиться не одна кость, а сразу несколько. Однако эти факторы не только повышают риск заболевания, но также осложняют процесс лечения. Именно поэтому необходимо всегда следить за состоянием свей костной системы, как и любой другой в организме человека. Люди, которые знают, что в их случае повышен риск получения травмы, должны приложить усилия, чтобы уменьшить такую вероятность.
У ребенка больше шансов получить травму, потому что дети намного подвижнее взрослых, а косточки в их возрасте сформированы еще не до конца, то есть они слабее. В то же время, у ребенка сращение происходит быстрее, если, конечно, лечение своевременное и эффективное.

Есть разные виды переломов в локтевом суставе:
- незначительное смещение костных отломков, когда не разрывается сухожилие трехглавой мышцы,
- внутрисуставной перелом, когда происходит разрыв сухожилия,
- оскольчатый перелом локтевого отростка.
Конечно, травмы локтевого сустава также могут быть открытыми и закрытыми. Вкратце можно вспомнить, что при закрытых переломах не повреждается ткань, то есть, нет кровотечений и некоторых других внешних признаков. Открытая травма опасна тем, что в нее может попасть инфекция, тогда лечение перелома может осложниться.
Врачи отмечают, что переломы локтевого сустава чаще всего возникают в результате падений, спортивных травм или дорожно-транспортных происшествий. Основными причинами являются резкие нагрузки на сустав и неудачные падения на вытянутую руку. Специалисты подчеркивают важность своевременной диагностики, так как неправильное лечение может привести к осложнениям и ограничению подвижности.
Лечение перелома локтевого сустава зависит от его типа и степени тяжести. Врач может рекомендовать консервативные методы, такие как иммобилизация с помощью гипса или шины. В более сложных случаях может потребоваться хирургическое вмешательство для восстановления нормальной анатомии сустава. Реабилитация играет ключевую роль в восстановлении функции локтя, и врачи советуют начинать физическую терапию как можно раньше, чтобы избежать долгосрочных последствий.
https://youtube.com/watch?v=VD4xj88SmLY
Симптомы
- При переломе локтевого отростка наблюдается боль, которая ощущается по задней стороне локтевого сустава, а также способна отдавать область плеча. Также есть кровоподтеки и небольшой отек, которые затрагивают и переднюю поверхность сустава. Это обусловлено излитием крови в область сустава. Еще один симптом – нарушение активного разгибания в суставе. Если смещены отломки, наблюдается видимая деформация и хруст отломков.
- Если случился перелом шейки лучевой кости и головки боль ощущается на передней поверхности сустава, может наблюдаться и в предплечье. Припухлость и кровоподтек выражены не очень сильно. Видимых деформаций обычно нет, даже если смещены отломки. Однако особенность данного вида перелома состоит в том, что вращательные движения предплечья сильно ограничены.
- В случае перелома венечного отростка наблюдается боль на передней поверхности сустава, при пальпации она становится сильнее. Разгибание и сгибание ограничены. Присутствует небольшая припухлость над суставом, но деформаций нет.
У взрослого и ребенка симптомы одинаковы. Однако нужно учитывать, что ребенок не всегда сможет точно описать, где и как у него болит. Поэтому при любом переломе в локтевом суставе необходимо доставить ребенка в больницу, чтобы провести исследование и поставить точный диагноз.
Диагностика

Без диагностики лечение не назначается, так как можно перепутать перелом с другими видами травм. Также необходимо определить, повреждены ли сосуды и нервы. После тщательной диагностики лечение подбирается индивидуально.
Перелом локтевого сустава — это распространенная травма, особенно среди активных людей и спортсменов. Многие отмечают, что основными причинами таких переломов являются падения на вытянутую руку, автомобильные аварии и спортивные травмы. Люди часто делятся своими историями о том, как неудачное приземление или столкновение привели к серьезным последствиям.
Что касается лечения, то мнения варьируются. Некоторые предпочитают консервативные методы, такие как иммобилизация с помощью гипса, в то время как другие рассматривают хирургическое вмешательство как более эффективный способ восстановления. Важно отметить, что реабилитация играет ключевую роль в восстановлении функции сустава. Многие пациенты подчеркивают значимость физиотерапии и упражнений для возвращения к привычной активности. В целом, опыт людей показывает, что своевременное обращение к врачу и следование рекомендациям специалистов значительно ускоряют процесс выздоровления.
https://youtube.com/watch?v=i0tp7lJB54Y
Лечение
Лечение во многом зависит от характера и расположения перелома в локтевом суставе. Если произошло повреждение локтевого отростка, но не было сильного смещения, накладывается повязка из гипса, начиная от верхней трети плеча, при этом захватывается лучезапястный и локтевой сустав. Гипс носится шесть недель.
При смещении требуется оперативное вмешательство и прочная фиксация отломков после их сопоставления. При этом используются спицы и проволока из металла. Вправление отломков редко приносит положительные плоды, так как отломок натянут трехглавой плечевой мышцей. Заем производится наложение гипсовой лангеты на месяц или полтора. После ее снятия проводится реабилитация, так как нужна разработка руки. Весь срок лечения составляет от двух до трех месяцев. Удаление спиц производится через несколько месяцев после повреждения. Перелом шейки и головки лучевой кости без смещения лечатся иммобилизацией с помощью на две или три недели. При смещении его пытаются исправить, если не получается, делают операцию по удалению отломанного фрагмента. Срок лечения составляет от одного до двух месяцев. При переломе венечного отростка проводится гипсовая иммобилизация на месяц, после чего следует реабилитация.
Есть такой способ лечения тутор на локтевой сустав. Он обеспечивает жесткую наружную фиксацию при разгибании, то есть подвижность сустава исключается. Его можно использовать даже как шину при транспортной иммобилизации. Это альтернатива гипса, ведь именно иммобилизация является залогом успешного лечения.
Лечение облегчается в том случае, если перелом произошел у ребенка. После перелома важен реабилитационный период, суть которого можно свести к разработке руки. С первых дней после травмы важно начать двигать пальцами поврежденной руки, а также плечевым суставом. Можно двигать пальцами активно, если позволяют показания. Через неделю можно приступить к изотоническим сокращениям мышц, которые находятся под гипсом, то есть мышц напрягаются, но движения не совершаются.
После двух недель после травмы назначается лечение, основанное на физиотерапии. Однако сначала доступны лишь несколько методов или только один – магнитотерапия. Когда снимают гипс, врач расширяет спектр процедур, может добавиться УВЧ, электрофорез, грязелечение и так далее. Также после снятия гипсовой повязки производится разработка в локтевом суставе руки. Однако все упражнения должны выполняться совместно со здоровой рукой по десять или пятнадцать повторов. Нагрузка увеличивается постепенно.
https://youtube.com/watch?v=oJ0VdcC7DGg
Необходимо помнить, что период реабилитации очень важен, поэтому следует внимательно выполнять все предписания врача. Перелом локтевого сустава — травма, которая не даст серьезных повреждений, если вовремя начать лечение.
Вопрос-ответ
Как лечить перелом локтевого сустава?
Наилучшим методом лечения внутрисуставного перелома локтевого отростка, позволяющим сохранить движения в суставе, является остеосинтез (устранение смещения и фиксация отломков металлоконструкцией). Операцию выполняют сразу после поступления пациента.
Что может стать причиной перелома локтя?
Локти подвержены переломам из-за недостаточной защиты мышцами и другими тканями. К наиболее распространённым причинам переломов локтя относятся: несчастные случаи, сопровождающиеся сильным прямым ударом по локтю, например, падение с велосипеда; спортивные травмы во время игр, таких как теннис и футбол.
Советы
СОВЕТ №1
При подозрении на перелом локтевого сустава, немедленно обратитесь к врачу. Самостоятельная диагностика может привести к неправильному лечению и ухудшению состояния. Врач проведет необходимые обследования, такие как рентген, для точного определения характера травмы.
СОВЕТ №2
Следуйте рекомендациям врача по реабилитации. После лечения перелома важно выполнять назначенные упражнения для восстановления подвижности и силы в локтевом суставе. Это поможет избежать осложнений и ускорит процесс выздоровления.
СОВЕТ №3
Обратите внимание на свою диету. Употребление продуктов, богатых кальцием и витамином D, поможет укрепить кости и ускорить их заживление. Включите в рацион молочные продукты, рыбу, орехи и зеленые овощи.
СОВЕТ №4
Избегайте чрезмерных нагрузок на локтевой сустав в период восстановления. Постепенно увеличивайте физическую активность, чтобы не усугубить травму. Прислушивайтесь к своему организму и не игнорируйте болевые ощущения.

