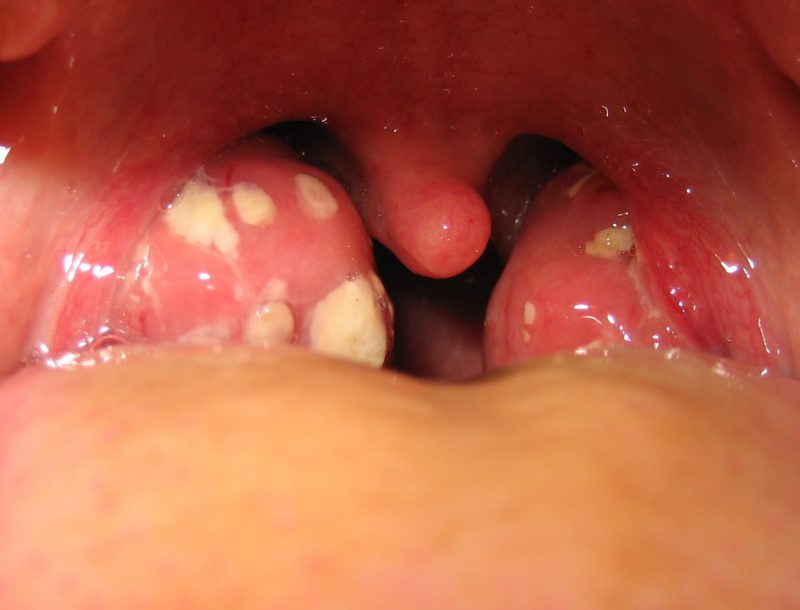
Ежегодно миллионы людей в разных странах мира заболевают ангиной, которая при отсутствии своевременной медикаментозной терапии может спровоцировать ряд серьезных осложнений. Очень часто у такой категории больных в процессе диагностики выявляется на миндалинах стафилококк, который представляет собой условно-патогенный микроорганизм, дающий о себе знать при наличии благоприятных факторов. Как только начинают разрастаться колонии этой бактерии, у людей развивается стафилококковая ангина (фото можно посмотреть ниже).
Причины

Стафилококковая ангина может развиваться у взрослых и детей по следующим причинам:
Врачи отмечают, что стафилококковая ангина вызывается бактериями рода Staphylococcus, которые могут проникать в организм через поврежденные слизистые оболочки или при контакте с инфицированными предметами. Симптомы заболевания включают сильную боль в горле, затрудненное глотание, повышение температуры и общее недомогание. Важно отметить, что стафилококковая ангина может протекать в различных формах, включая гнойную.
Для диагностики заболевания врачи рекомендуют проводить лабораторные исследования, такие как посев из зева. Лечение обычно включает антибиотики, которые помогают устранить инфекцию, а также противовоспалительные препараты для облегчения симптомов. Профилактика заключается в соблюдении личной гигиены, избегании контакта с больными и укреплении иммунной системы. Врачи подчеркивают важность своевременного обращения за медицинской помощью при первых признаках заболевания.
https://youtube.com/watch?v=rMlCH3jG4qA
Симптоматика
Если в качестве возбудителя выступил стафилококк, ангина будет проявлять себя в зависимости от сопутствующей патологии. Этот патогенный микроорганизм после активизации в организме пациента начинает генерировать токсические вещества, которые быстро проникают в кровоток и оказывают разрушительное воздействие на жизненно-важные органы и системы.
Стоит отметить, что после заражения стафилококковыми бактериями начинается инкубационный период, продолжительность которого, как правило, не превышает двух суток. Как только он завершается сразу начинается острая фаза недуга.
Современной медицине известны следующие симптомы стафилококковой ангины:
Яркая клиническая картина этого недуга наблюдается на протяжении недели. Очень часто стафилококковую симптоматику путают с проявлениями вирусной ангины, из-за чего неправильно подбираются медикаменты и у пациентов не наблюдается никаких улучшений. Именно поэтому крайне важно больному своевременно обратиться в больничное учреждение и пройти комплексное обследование, предусматривающее сдачу не только базовых, но и специфических анализов.
Осложнения

Каждый человек, который столкнулся с ангиной стафилококковой природы, должен понимать, что если он не начнет своевременно проходить назначенный специалистом курс медикаментозной терапии, ему придется столкнуться с очень серьезными последствиями:
Стафилококковая ангина — это инфекционное заболевание, вызванное бактериями стафилококка. Люди часто отмечают, что основными симптомами являются сильная боль в горле, затрудненное глотание, высокая температура и общее недомогание. Некоторые пациенты также упоминают о появлении гнойных пробок на миндалинах, что усиливает дискомфорт. Важно отметить, что своевременное обращение к врачу может значительно облегчить течение болезни.
Методы лечения обычно включают антибиотики, которые помогают справиться с инфекцией, а также противовоспалительные средства для уменьшения боли. В качестве дополнительных мер рекомендуется полоскание горла солевыми растворами и употребление теплых напитков.
Профилактика стафилококковой ангины включает в себя соблюдение правил личной гигиены, укрепление иммунной системы и избегание контактов с больными. Люди советуют также регулярно проветривать помещения и поддерживать чистоту, чтобы снизить риск заражения.
https://youtube.com/watch?v=YARoDHga9SM
Диагностические мероприятия
После того как человек выявит у себя признаки заболевания, ему необходимо обратиться в больничное учреждение для консультации, прохождения обследования и получения врачебных назначений. При визуальном осмотре слизистых горла специалист не сможет точно диагностировать ангину стафилококковой природы. Чтобы дифференцировать этот недуг пациенту придется пройти комплексное обследование, включающее не только лабораторные, но и аппаратные исследования:
- Изначально узкопрофильный специалист должен оценить общее состояние больного.
- Собирается анамнез.
- Выполняют фарингоскопию, которая является наиболее простой и достоверной методикой, позволяющей диагностировать ангину. Специалист осматривает ротовую полость и горло пациента, посредством шпателька отведя в сторону язык. Если его миндалины будут воспалены, то на их поверхности врач заметит характерные проявления.
- Осуществляется забор биологического материала. Специалисты берут мазки с поверхности миндалин, которые передаются для микроскопических исследований, результаты которых позволят дифференцировать возбудителя. Также осуществляется забор биологического материала со слизистых зева и носа, который исследуется на наличие возбудителя дифтерии.
- Пациенты должны сдать все базовые анализы: урины, крови и фекалий. Проведенные биохимические исследования позволят специалистам обнаружить воспаление, а также оценить работу внутренних систем и органов.
- Больным назначают иммунограмму, а также анализ на наличие ВИЧ. Если у них будут выявлены иммунодефицитные состояния, то в обязательном порядке врачи назначат консультацию у иммунологов.
- После того как будет подтверждена ангина стафилококковой природы, пациенту назначат курс медикаментозной терапии, а также комплекс физиотерапевтических процедур.

Методы лечения
Если у пациента будет диагностирована стафилококковая ангина, ему нужно настраиваться на продолжительный и трудоемкий курс терапии, который включает широкий спектр медикаментов, в индивидуальном порядке подобранных врачом. Коварность возбудителя, в данном случае золотистого стафилококка, заключается в невероятной жизнеустойчивости и невосприимчивости практически ко всем существующим антибиотикам.
Специалистам крайне сложно быстро подобрать для больного эффективные медикаменты, поэтому еще в процессе диагностики проводится особое тестирование, позволяющее определить способность того или иного антибактериального препарата оказать пагубное воздействие на условно-патогенный микроорганизм.
Стоит отметить, что некоторые люди не понимают всей серьезности заболевания, поэтому пытаются заниматься «самодеятельностью» и начинают пить таблетки, которые помогли их знакомым. Но, в результате, у них ненадолго стирается клиническая картина и наступает период мнимого «выздоровления». Через короткий промежуток времени стафилококковая бактерия вновь активизируется и провоцирует развитие очень серьезных осложнений.
Чтобы своевременно получить комплексную терапию люди должны при проявлении первичной симптоматики обращаться в больничные учреждения.

Узкопрофильные специалисты выберут такую тактику в лечении:
- Назначение медикаментов, входящих в антибактериальную группу лекарств. Выбор препаратов осуществляется после получения результатов посева на чувствительность стафилококковой бактерии к компонентам антибиотиков. В таких случаях назначаются таблетки «»Грамицидина», «Фарингосепта», «Биопарокса».
- Для снижения температуры прописываются жаропонижающие средства. Многие медикаменты этой группы оказывают комплексное воздействие, и помимо понижения температуры снимают отечность и купируют болезненные ощущения. В большинстве случаев такой категории больных назначаются таблетки «Парацетамола», «Ибупрофена», «Аспирина». Но, они должны приниматься в определенной специалистами дозировке, так как чрезмерное увлечение жаропонижающими средствами может привести к развитию патологий в сердце, сосудах, ЖКТ.
- В обязательном порядке проводится дезинтоксикация. Пациентам необходимо пить в больших объемах жидкость, возможно, придется принять какие-либо адсорбенты, способные вывести из организма продукты жизнедеятельности стафилококковых бактерий. Если заболевание протекает в тяжелой форме, то больным будут через вену вводить различные растворы, например, «Глюкозы», «Сорбилакта», «Реосорбилакта» и т. д.
- При комплексном лечении стафилококковой ангины прописываются общеукрепляющие медикаменты, повышающие иммунитет.
- В обязательном порядке больные должны проводить физиопроцедуры, например, полоскать горло антисептическими растворами, «Фурацилином», «Хлорфиллиптом».

Профилактические мероприятия
Чтобы предотвратить развитие стафилококковой ангины и защитить себя от возможных осложнений данного недуга, люди должны своевременно начать проводить профилактику. Для этого им достаточно соблюдать следующие рекомендации специалистов:
https://youtube.com/watch?v=Z1Eq31lnAyQ
Вопрос-ответ
Каковы симптомы стафилококковой ангины?
Симптомы стафилококковой ангины включают боль в горле, затрудненное глотание, покраснение и отек слизистой оболочки горла, наличие гнойных налетов на миндалинах, повышение температуры тела, общее недомогание и увеличение лимфатических узлов. В некоторых случаях могут наблюдаться головная боль и боль в ушах.
Причины возникновения стафилококковой инфекции?
Стафилококковая инфекция возникает в результате заражения бактериями рода Staphylococcus, которые могут находиться на коже и слизистых оболочках человека. Основные причины включают ослабление иммунной системы, повреждения кожи (порезы, ожоги), плохую гигиену, а также наличие хронических заболеваний. Инфекция может передаваться через прямой контакт с зараженными поверхностями или людьми, а также через предметы, на которых находятся бактерии.
Советы
СОВЕТ №1
Обратите внимание на гигиену: стафилококки могут передаваться через контакт с зараженными предметами или людьми. Регулярно мойте руки с мылом, особенно после посещения общественных мест, и избегайте делиться личными вещами, такими как полотенца или столовые приборы.
СОВЕТ №2
При первых симптомах ангины, таких как боль в горле, высокая температура или затрудненное глотание, не откладывайте визит к врачу. Раннее обращение за медицинской помощью поможет избежать осложнений и позволит начать лечение на ранней стадии.
СОВЕТ №3
Следите за своим иммунитетом: сбалансированное питание, регулярные физические нагрузки и достаточный сон помогут укрепить вашу иммунную систему и снизить риск развития инфекций, включая стафилококковую ангину.
СОВЕТ №4
Если вам уже поставили диагноз стафилококковой ангины, строго следуйте предписаниям врача и завершите курс антибиотиков, даже если симптомы исчезли. Это поможет предотвратить рецидив и развитие устойчивых штаммов бактерий.

