
- невринома,
- остеохондрома,
- хондрома,
- саркома.
Невринома
Так называется доброкачественная опухоль. Возникает она редко, исходит из блуждающего или других нервов, плечевого сплетения. Невриномы часто содержат немало фиброзной ткани. Если они имеют вагусное происхождение, она располагается в верхнем отделе шеи, если ее источник – шейное сплетение, она находится как раз над правой или левой ключицей.
Образование обычно плотное, имеет четкие контуры. Опухоль лепешкообразная, располагается в надключичной ямке. Она болит, но несильно. В процессе пальпации боль переходит в руку.
Невринома плечевого сплетения активизирует раковые метастазы в лимфоузлы ямки над ключицей. Иногда может стать злокачественной.
Лечение невриномы может осуществляться разными способами.
- Консервативный метод. Он основан на использовании таких препаратов, как Маннитол, который сочетается с глюкокортикоидами. Также применяется диурез и водно-электролитный баланс. Врачи также назначают лекарства, улучшающие мозговое кровообращение.
- Хирургическое вмешательство. Это самый распространенный метод, основанный на радикальном удалении. Может задействоваться микрохирургия.
-
Стереотаксическая хирургия. Ее отличие в том, что контролируется рост опухоли. Вероятность отрицательных результатов мала. Этот метод наиболее часто используют для лечения пожилых пациентов, в случае которых нельзя делать операцию или они сами отказываются от нее. Но таким способом можно удалять опухоль, размер которой не превышает тридцать миллиметров.
- Выжидательная тактика. Она используется, если образование растет не быстро. Такое наблюдается опять же у пожилых пациентов или у тех, кто имеет тяжелые сопутствующие болезни. В этом случае выжидание основано на исследовании с помощью МРТ и КТ, то есть необходимо просто наблюдать за состоянием. Метод лечение при этом паллиативный – шунтирование, с помощью которого устраняется гидроцефалия.
Невринома не является злокачественной опухолью. Однако, если вовремя не обратить внимание на признаки, она может стать опасной для здоровья или лечение не даст положительного результата.
Врачи отмечают, что шишка на ключице может возникать по различным причинам. Одной из наиболее распространенных является травма, которая может привести к образованию гематомы или отека. Также причиной может стать воспаление лимфатических узлов, что часто связано с инфекционными заболеваниями. В некоторых случаях шишка может быть следствием остеоартрита или других дегенеративных изменений в области ключицы. Врачи подчеркивают важность своевременной диагностики, так как некоторые образования могут быть признаками более серьезных заболеваний, таких как опухоли. Поэтому при появлении шишки на ключице рекомендуется обратиться к специалисту для проведения необходимых исследований и назначения адекватного лечения.
https://youtube.com/watch?v=nxZzKG_K_-8
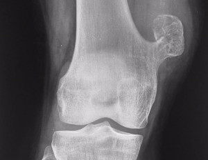
Остеохондрома
Это также доброкачественное опухолевидное образование. Оно представляет собой костный выступ. Он покрыт шапочкой из хрящевой ткани, а внутри заполнен костно-мозговым содержимым. Это образование самое распространенное. Часто выявляется у ребенка или подростка.

Такая опухоль может протекать бессимптомно, человек случайно обнаруживает шишку на правой или левой ключице. Он может не жаловаться, что она болит. Крупное образование может сдавливаться нервы, сухожилия, мышцы.
Если появилась такая шишка, следует обратиться к ортопедам. Есть один способ лечения – операция, необходимо удалить образование в границах здоровых тканей. Показание к операции – нарушение функции руки, деформация скелета, быстрый рост. Если нет таких показаний, осуществляется наблюдение, основанное на периодическом проведении рентгена. Суть операции в надрезе и краевой резекции, удаляется также основание ножки опухоли. Чаще всего прогноз благоприятный.
Хондрома
Опять же, это доброкачественная опухоль, которая образуется из хрящевой ткани. Растет она медленно, но способна ограничивать движения. Человек жалуется, что у него не только появилась шишка, она еще болит. Суставы могут деформироваться. При отсутствии лечения может развиться злокачественное новообразование. Хондрома ключицы может распространиться на внутренние органы, сдавить легкие, сердце. Человеку может быть трудно дышать, лимфоузлы способны воспалиться.
В процессе операции на последних стадиях важно не просто удалить образование, но и выполнить протезирование. Иссечение должно быть очень аккуратным. Однако даже после операции может возникнуть рецидив, если осталась даже маленькая его часть.
Шишка на ключице может вызывать беспокойство и множество вопросов. Многие люди отмечают, что подобные образования могут возникать по разным причинам. Одной из наиболее распространенных является травма, когда ключица получает удар или сильное давление. В таких случаях шишка может быть результатом отека или гематомы. Другие упоминают о возможных воспалительных процессах, таких как бурсит, когда синовиальная сумка воспаляется и приводит к образованию опухоли. Некоторые также говорят о доброкачественных новообразованиях, таких как липомы, которые могут появляться под кожей. Важно отметить, что в редких случаях шишка может быть признаком более серьезных заболеваний, поэтому многие советуют не игнорировать такие симптомы и обратиться к врачу для диагностики.
https://youtube.com/watch?v=JRdEVqbRU0A
Саркома Юинга
Это злокачественная опухоль, которая располагается на костях скелета, среди которых есть и ключица. При пальпации ощущается болезненность. Боль может быть стреляющей, пульс замедленным.
Саркома Юинга – самая агрессивная злокачественная опухоль. До использования системной терапии почти у всех больных появлялись метастазы. Учитывая характер заболевания, лечение основывается на многокомпонентной или лучевой терапии. Иногда применяется радикальное удаление опухоли.
https://youtube.com/watch?v=b32qaktxZXo
Любая причина возникновения шишки под ключицей или над ней у ребенка или взрослого требует внимание, так как может перерасти в серьезную патологию или уде является ей.
Вопрос-ответ
Что за шишка может быть на ключице?
Экзостоз ключицы. Экзостозы ключицы в большинстве случаев характерны для детей и обнаруживаются до 20 лет. Их называют остеохондромами, которые относятся к числу доброкачественных опухолей скелета. Экзостоз представляет собой костно-хрящевой нарост на поверхности ключицы и образует с ней единое целое.
Почему у меня на ключице твердая шишка?
Возможные причины появления уплотнения на ключице включают перелом ключицы, инфекцию кости (остеомиелит), увеличенные лимфатические узлы и кисту. В редких случаях это может быть также доброкачественной или злокачественной опухолью. Лечение уплотнения на ключице зависит от первопричины.
От чего появляется экзостоз ключицы?
Причиной развития патологического процесса могут стать привычный вывих и травмы плечевого сустава, повреждения суставной губы, наследственная предрасположенность.
Советы
СОВЕТ №1
Обратите внимание на симптомы. Если шишка на ключице сопровождается болью, отеком или ограничением подвижности, это может указывать на серьезные проблемы, такие как травма или воспаление. В таких случаях важно обратиться к врачу для диагностики и лечения.
СОВЕТ №2
Не игнорируйте изменения в теле. Если вы заметили, что шишка на ключице увеличивается или меняет свои характеристики, это может быть признаком более серьезного состояния. Регулярные осмотры у врача помогут выявить проблемы на ранних стадиях.
СОВЕТ №3
Следите за своей осанкой и физической активностью. Неправильная осанка или чрезмерные нагрузки на плечевой пояс могут привести к образованию шишек и другим проблемам. Уделяйте внимание упражнениям для укрепления мышц плеч и спины.
СОВЕТ №4
Изучите свои привычки. Некоторые виды деятельности, такие как занятия контактными видами спорта или тяжелая физическая работа, могут увеличить риск травм и образования шишек. Если вы часто подвергаетесь таким нагрузкам, подумайте о мерах предосторожности, таких как использование защитного снаряжения.

