
Причины и классификация
Переломы диафиза возникают из-за удара при прямом насилии, падении на бедро тяжелого предмета, сдавлении колесами. Кроме того, сила может действовать по-другому, например, когда человек падает на ноги или на колено или очень сильно поворачивает туловище, если нога зафиксирована.
При переломах диафиза бедренной кости затрагивается определенная часть. Это позволяет выделить три области перелома:
- Травмы верхней трети диафиза. В этом случае центральный отломок находится в сгибательном и отведенном положении, а также смещен вбок. Так на него влияют ягодичные мышцы. Периферический отломок смещается вверх и ксредине, в чем роль отводится приводящим мышцам и сгибателями. Этими двумя отломками образуется угол во фронтальной плоскости, который открыт ксредине. В сагиттальной плоскости образуется угол, который открыт кзади.
-
Травмы средней трети. Центральный отломок отклоняется вбок и кпереди. Причины такие же, как и в первом случае, однако, степень смещения меньше. Конец отломка периферического типа расположен кзади и ксредине по отношению к центральному.
- Переломы нижней трети. Тяга икроножных мышц влияет на короткий периферический отломок, поэтому он смещается кзади в сгибательном положении. Аддукторы действуют на нижний конец отломка периферического типа, поэтому он смещается ксредине и вверх. Так образуется угол, который открыт кпереди.
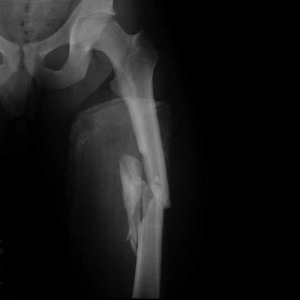
Все переломы диафиза бедренной кости имеют смещение по длине, есть только разница в его степени. Определить уровень перелома очень важно, как и составить полную картину о том, как расположены отломки. Это играет важную роль в выборе лечения.
Кроме того, есть косые, поперечные, оскольчатые, винтообразные переломы. В процессе оказания акушерской помощи могут возникнуть переломы у младенцев. Их еще называют акушерскими переломами. В зависимости от травматизации мягких тканей есть закрытые и открытые переломы.
Врачи отмечают, что перелом диафиза бедренной кости часто сопровождается сильной болью, отеком и ограничением подвижности. Основными симптомами являются деформация конечности, укорочение ноги и невозможность опоры на поврежденную ногу. Для диагностики используются рентгенографические исследования, которые позволяют точно определить тип и степень перелома. Лечение может варьироваться в зависимости от характера повреждения: в некоторых случаях достаточно консервативной терапии с использованием гипса, в других — требуется хирургическое вмешательство, например, остеосинтез. Врачи подчеркивают важность ранней реабилитации, которая включает физиотерапию и лечебную физкультуру, что способствует восстановлению функции конечности и предотвращению осложнений.
https://youtube.com/watch?v=kUQqHuMuiXQ
Клиническая картина и диагностика
Так как при переломах диафиза бедренной кости часто происходят разрывы и ушибы тканей, наблюдается увеличение объема бедра. Это происходит из-за возникновения травматического отека. У пострадавшего может развиться болевой шок. Это объяснятся сильными болевыми раздражениями и большой кровопотерей, к которой приводит кровоизлияние в ткани. Если у потерпевшего развился шок, очень важно вывести его из этого состояния.
Смещение, как мы уже разобрали, может быть самым разным. Это может определять положение ноги. Чаще всего поврежденная конечность не может активно функционировать. Человек не способен ходить. Конечность перестает выдерживать даже малейшую нагрузку. В большинстве случаев нога укорочена и деформирована. Пострадавший принимает вынужденное положение на спине. При смещении отломков могут повредиться крупные сосуды. Риск такого состояния особенно велик при переломе в нижней трети, при котором периферический отломок при смещении может повредить подколенную артерию, что приводит к сильному кровотечению.
Первая помощь

Очень важно оказать первую медицинскую помощь. Потерпевшему можно дать обезболивающее средство. Очень важно успокоить его и сделать так, чтобы он двигался как можно меньше. Сразу же необходимо вызвать бригаду скорой помощи. Проводится обезболивание введением анальгетиков. Если развивается шок, проводятся противошоковые мероприятия. Обезболивание – обязательная процедура лечение шока, особенно если у человека сохранено сознание.
Неотложная помощь при возникновении у человека шока заключается в том, что его нужно на носилках перенести в салон скорой помощи и раздеть, желательно догола. Бригада скорой помощи очень хорошо должна знать приемы быстрого раздевания или разрезания одежды. После этого проводится пункция центральной или периферической вены и налаживается капельное внутривенное введение растворов. Экстренные мероприятия включают в себя остановку наружного кровотечения и восстановление проходимости путей дыхания. При необходимости проводится трахеотомия и ИВЛ. При остановке сердца проводится его массаж.
Транспортная иммобилизация при диафизарном переломе бедра должна проводиться очень аккуратно. Метод выбора – экстензионная шина, которая пригодна для всех локализаций. Известной является шина Дитерихса.
Перед ее наложением нужно подложить под конечность две связанные шины Крамеры, метровой длины. Это нужно сделать следующим образом: от нижней трети голени, примерно на пять или десять сантиметров выше пятки, до лопатки. Таким образом, получается обеспечить безболезненное и быстрое наложение шины на конечность, которая теперь обездвижена. Иммобилизацию лучше всего завершить еще одним наложением шины Крамера вокруг таза. Ею нужно захватить уже наложенные шины Дитерихса и Крамера. Это позволяет достичь более прочной фиксации и облегчает перекладывание пострадавшего.
Сама шина Дитерихса состоит из двух частей костылей. Один из них наружный, другой внутренний. В каждом костыле есть раздвижные деревянные бранши, закрутки и подошвы. В браншах есть прорези для введения фиксационных лент и бинтов. Одна бранша имеет шпенек, а у другой есть для него отверстие, что позволяет осуществить фиксацию этих элементов.
Перед непосредственным наложением шины необходимо ее подогнать под рост пострадавшего. Для этого нужно раздвигать бранши и закреплять их шпеньком. Верхний конец наружного костыля должен упираться в подмышечную впадину. Внутренний костыль должен упираться в промежность. Нижние концы костылей нужно установить так, чтобы они примерно на девять сантиметров были расположены ниже края подошвы пострадавшей конечности. После этого место, где соединяются бранши, должны прочно связаться бинтом. Это защищает от смещения при транспортировке. Через прорези в костылях вводятся три фиксационные ленты. Делается снаружи-внутрь, чтобы на тело пациента не осуществлялось давления краями шины.
https://youtube.com/watch?v=xxAGkP0hWHI
Накладывать шину нужно начинать с прибинтовывания ее подошвы к стопе пациента. Обувь снимать не нужно, чтобы избежать пролежней и боли. В области пятки нужно особенно следить за прочностью фиксации. Подошва уже закрепленной шины имеет металлические боковые скобы, через которые нужно пропустить нижние концы костылей. Они соединяются подвижной поперечной планкой, которая есть на конце внутреннего костыля. Накладывать шину Дитерихса заканчивают завязыванием лент на талии, груди и бедре. Ее также необходимо укрепить бинтами на всем протяжении.
Перелом диафиза бедренной кости — это серьезная травма, которая требует внимательного подхода к диагностике и лечению. Люди часто отмечают, что основными симптомами являются сильная боль в области бедра, отечность и ограничение подвижности. Некоторые пациенты также упоминают о деформации конечности и невозможности опираться на ногу.
Лечение обычно включает хирургическое вмешательство, такое как установка металлических пластин или штифтов для стабилизации кости. Важно, чтобы реабилитация проходила под контролем специалистов, так как восстановление может занять несколько месяцев. Многие пациенты делятся положительным опытом, отмечая, что при соблюдении всех рекомендаций врачей и регулярной физической терапии они смогли вернуться к активной жизни. Однако некоторые также подчеркивают, что процесс восстановления требует терпения и настойчивости.
https://youtube.com/watch?v=ngBj6h_bHGE
Лечение
После того как пострадавшего доставят в больницу, врач проведен более подробный осмотр, проведен необходимое обследование, поставит точный диагноз и назначит лечение. Лечение диафизарных переломов бедра проводится разными способами. Очень распространено скелетное вытяжение. После того как через мыщелок бедра или бугристость большеберцовой кости вводится спица, пациента переносят на кровать со щитом, а также укладывают конечность на стандартную шину.

Груз должен весить столько, чтобы можно было постепенно преодолеть силу сопротивления мышц, а также устранить смещение костных отломков по длине. Например, если вес больного составляет 80 кг, ему нужен груз примерно в 12 килограмм. Конечно, эта цифра не постоянна. Она зависит от того, в какой степени развиты мышцы пациента. Значение также имеет его возраст и степень смещения отломков. Степень отведения конечности зависит от высоты перелома. Чем он выше, тем больше будет отведена конечность.
В процессе лечения переломов диафиза бедренной кости необходимо следить за тем, как пострадавший лежит в кровати. Важно контролировать и направление тяги, а также наличие воспалительных явлений, которые могут возникнуть вокруг спицы. Следует изменять длину конечности. Общая гимнастика должна быть назначена уже с первых дней.
Если рентгенограмма показывает, что отломки стоят правильно, то скелетное вытяжение на шестой неделе заменяется кожным вытяжением за бедро и голень. Через два с половиной месяца больной может ходить с двумя костылями. Сначала нагрузки не должно быть, она допускается через три месяца.
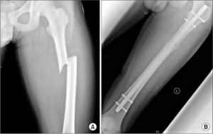
Если скелетное вытяжение не позволяет правильно сопоставить костные отломки, назначают оперативное лечение. Его нужно применять рано, на второй-пятый день после травмы. Трудно вправляются надмыщелковые, подвертельные и поперечные переломы диафиза бедренной кости. Чаще всего остеосинтез проводят с помощью гвоздя, иногда применяют металлические пластинки.
Оперативное лечение

Антеградный интрамедуллярный остеосинтез закрытых диафизарных переломов бедра. Эта операция выполняется с применением общего обезболивания. Репозиция делается на ортопедическом столе. Все выполняется под рентгенологическим контролем. Лучше всего применять электронно-оптический преобразователь.
Там, где располагается вершина большого вертела, делается продольный широкий разрез кожного покрова, клетчатки и фасции. По ходу раны нужно раздвинуть волокна ягодичных мышц и напрягателя широкой фасции. Вершина главного вертела обнажается. Сначала нужно сформировать канал на внутренней стороне вертела. Это делается с помощью специального шила. Через канал вводят проводник, который проводится в дистальный фрагмент.
По проводнику нужно забить стержень Кюнчера. Его длину определят по здоровому бедру. Дистальный конец штифта размещается на три или четыре сантиметра проксимальнее щели сустава. Нельзя допускать, чтобы проксимальный конец выступал более чем на один сантиметр над вершиной главного вертела. Рана ушивается послойно. На сутки устанавливается дренаж, а конечность без вытяжения оставляют на шине Белера. После того как рана заживет больной может ходить на костылях. Стержень удаляется через год, если есть все признаки консолидации.

Ретроградный интрамедуллярный остеосинтез с помощью массивного четырехгранного штифта ЦИТО. Для того чтобы выполнить закрытый остеосинтез при переломах диафиза бедренной кости может понадобиться больше времени, что в случае с открытым остеосинтезом. Очень важно соблюдать все требования антисептики.
Сначала делают разрез кожи и клетчатки. При этом врач ориентируется по уровню перелома и диафизу бедра. Длина разреза составляет от 15 до 20 сантиметров. Рана должна быть изолирована от кожных покровов. По ходу раны рассекается широкая фасция бедра. Разъединяются волокна четырехглавой бедренной мышцы. Все рассеченные сосуды прошиваются. В месте перелома освобождают дистальный отломок с помощью широкого распаратора. Отломок поднимают и острым однозубым крючком выводят в рану. Затем под него вводят салфетку-держалку. То же самое делают с проксимальным отломком.
Диаметр штифта ЦИТО подбирают индивидуально. Для его введения нужно рассверлить костномозговой канал. Развертка должна быть проникнута в вертельную ямку. Четырехгранный штифт забивается в проксимальный отломок ретроградным путем. Диаметр сверла должен соответствовать диаметру штифта. Если канал слишком узкий, может случиться заклинивание штифта, а также перелом диафиза. Штифт не должен касаться кожи, поэтому используются специальную «ложку». Отломки репонируют и удерживают костодержателями. Штифт забивается дистальный отломок с помощью специальной насадкой. Чтобы не произошло разобщение костных отломков по длине, помощник хирурга должен обеспечить противоупор. Рана ушивается послойно. На сутки устанавливается дренаж.
Когда не было таких эффективных методов, уровень летальности при переломах диафиза бедренной кости был очень высоким. Вышеперечисленные и другие методы позволяют избежать серьезных осложнений и как можно быстрее поставить пациента на ноги. Конечно, большое значение имеет дальнейшая реабилитация и назначения врача. Если последовательно придерживаться всех его назначений, делать ЛФК, массаж и применять методы физиотерапии, выздоровление будет успешным и быстрым, хотя в любом случае нужно настроиться на несколько месяцев лечения.
Вопрос-ответ
Можно ли ходить при переломе диафиза бедренной кости?
Перелом диафиза бедренной кости обычно вызывает сильную боль. Вы не сможете опираться на травмированную ногу.
Как лечится перелом диафиза бедренной кости?
Другие оперативные методы включают остеосинтез пластинами и внешнюю фиксацию. Закрытое лечение с использованием вытяжения, шинирования и гипсования может быть временным или постоянным в некоторых странах третьего мира. Интрамедуллярный остеосинтез (ИМН) является золотым стандартом лечения переломов диафиза бедренной кости.
Что такое диафизарный перелом?
Перелом шейки бедра особенно опасен для пожилых людей, так как может приводить к длительной утрате подвижности и необходимости эндопротезирования сустава. Диафизарный перелом. Это перелом центральной части бедренной кости (диафиза).
Советы
СОВЕТ №1
При подозрении на перелом диафиза бедренной кости, немедленно обратитесь за медицинской помощью. Не пытайтесь самостоятельно передвигаться или нагружать поврежденную ногу, так как это может усугубить травму.
СОВЕТ №2
Следуйте указаниям врача по лечению и реабилитации. После диагностики перелома важно соблюдать все рекомендации по immobilization (фиксации) и восстановлению, чтобы избежать осложнений и ускорить процесс заживления.
СОВЕТ №3
Обратите внимание на признаки осложнений, такие как сильная боль, отек, изменение цвета кожи или потеря чувствительности в области травмы. Если вы заметили что-либо из этого, немедленно сообщите своему врачу.
СОВЕТ №4
После снятия гипса или других средств фиксации начните реабилитацию под руководством специалиста. Упражнения на растяжку и укрепление помогут восстановить подвижность и силу в бедре, что важно для полноценного возвращения к активной жизни.

