
Мало кто работает над укреплением костей и мышц в этой части тела, поэтому повреждения голеностопа, его переломы и вывихи – травма, которая случается довольно часто. И всегда необходимо вовремя ее выявить, оказать первую помощь. По МКБ 10 код травмы S93.0.
Причины

Статистика показывает, что именно с наступлением холодов увеличивается число таких травм. Когда человек поскальзывается, он на интуитивном уровне делает попытки сохранить равновесие, поэтому располагает ноги таким образом, чтобы предотвратить падение. Такая поза чаще всего приводит к вывиху сустава.
Вывих голеностопа может происходить совместно с другими травмами, например, переломами, смещением, растяжением. В любом случае необходимо оказать первую помощь сразу после того, как обнаружились симптомы повреждения костей. Благодаря этому, а также своевременному лечению и эффективному восстановлению можно избежать серьезных осложнений.
Если помощь не будет оказана вовремя, в поврежденном районе между костями может образоваться грубая, плотная рубцовая ткань. Впоследствии она может сильно мешать скольжению сухожилий, связок, костей в нижней конечности. Получить вывих голеностопного сустава очень легко, но лечить его и нормализовать работу сложно. Кроме того, это требует немало времени. Часто осложнения, которые возникают после таких травм костей, нужно исправлять с помощью операций. Лечение достаточно дорогостоящее.
Врачи отмечают, что вывих лодыжки является распространенной травмой, особенно среди спортсменов и людей, ведущих активный образ жизни. Основные симптомы включают сильную боль, отек, ограничение подвижности и деформацию сустава. При подозрении на вывих важно немедленно обратиться за медицинской помощью для точной диагностики.
Методы лечения зависят от степени травмы. В легких случаях рекомендуется покой, лед и компрессия для уменьшения отека. В более серьезных ситуациях может потребоваться иммобилизация с помощью гипса или шины. Врач может также назначить физиотерапию для восстановления функции сустава. Важно помнить, что своевременное обращение к специалисту и соблюдение рекомендаций врача способствуют быстрому выздоровлению и предотвращению осложнений.
https://youtube.com/watch?v=FBuVmT23Feg
Симптомы
Чтобы в нужное время оказать помощь в уличных или домашних условиях, необходимо знать симптомы травмы наружной или внутренней части лодыжки. При травмировании не нужно пытаться ставить диагноз в соответствии с МКБ 10, главное понять, что произошел вывих голени, о чем будут свидетельствовать такие видимые признаки.
Боль. Этот признак присутствует при всех травмах костей, будь то переломы или вывихи. Она носит острый характер, становится сильнее при попытке совершить движение или сделать пальпацию. Если вывих привычный, нет резкой боли.
- Деформация сустава. Изменяется его форма, могут быть заметные выступы костей.
- Нестабильность голеностопа. Даже если произошел незначительный подвывих, сустав находится в щепетильном состоянии. Далее самая маленькая нагрузка может привести к вывиху.
- Тугоподвижность. Человек не может совершить характерные движения или ему очень трудно сделать это.
- Увеличение сустава в объеме. Опухоль дает стопе особый вид: присутствует местная припухлость, гиперемия. Если произошло повреждение сосуда, наблюдается кровоподтек.
- Характерный хруст. Многие пострадавшие люди, у которых произошел вывих голеностопа, замечают такой хруст. Он соответствует разрыву связки.
Если произошел перелом костей, симптомы более выраженные. Все эти признаки легко определить даже неспециалисту.
Любую травму наружной или внутренней части лодыжки необходимо лечить своевременно, не откладывая. Любой врач быстро поставит диагноз в соответствии с МКБ 10 и назначит лечение, а также подберет методы восстановления в домашних условиях. Если вывих голени сопровождается серьезным смещением, время лечения и восстановления увеличивается.
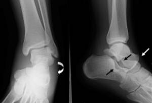
Диагностика

Снимки делаются в двух перпендикулярных проекциях. Определенные симптомы помогут врачу правильно определить тип травмы по изображениям. Для уточнения диагноза в соответствии с МКБ 10 после основного метода могут назначить также МРТ, КТ. Провести такую диагностику дома невозможно, поэтому в больницу нужно идти обязательно!
Вывих лодыжки — это распространенная травма, которая вызывает много обсуждений среди людей, столкнувшихся с этой проблемой. Симптомы, как правило, включают сильную боль, отек и ограничение подвижности. Многие отмечают, что сразу после травмы важно не нагружать ногу и обеспечить ей покой. В интернете можно встретить советы по применению льда для уменьшения отека и боли.
Что касается методов лечения, то большинство людей рекомендуют использовать метод RICE (отдых, лед, компрессия,Elevation). В более серьезных случаях может потребоваться медицинская помощь, включая физиотерапию. Некоторые делятся опытом использования ортезов для поддержки лодыжки в процессе восстановления. Важно помнить, что своевременное обращение к врачу и следование рекомендациям специалистов помогут избежать осложнений и ускорить процесс заживления.
https://youtube.com/watch?v=jOJglWnGLX8
Лечение
Если случился вывих голени, необходимо оказать первую помощь. После нее лечить травму будет легче. Не нужно тянуть время, чтобы помочь пострадавшему.
Следует запомнить, что не следует делать ни в каком случае – это вправлять вывих голеностопного сустава самостоятельно! Необходимо обеспечить конечности полный покой. Для этого сначала под ногу нужно положить что-то мягкое.
Если травма случилась дома, можно использовать подушку. Затем нужно наложить повязку. Перед этим можно приложить к ушибленному месту лед, но его нельзя держать продолжительное время. Что делать, если человек жалуется на сильную боль? Дать обезболивающее! Если травма случилась не дома, у кого-нибудь из окружающих наверняка найдется хотя бы одна таблетка.
После оказания первой помощи при вывихе наружной или внутренней лодыжки, необходимо, чем скорее доставить пострадавшего в больницу. Там врач проведет необходимые обследования, поставит диагноз в соответствии с МКБ 10 и примет решение, как лучше лечить пострадавшего. После определенного этапа лечения восстановление проходит в домашних условиях.
https://youtube.com/watch?v=0kRMOd7WxPs
Если случился вывих лодыжки, вправление нужно осуществить в течение двух часов. После вправления врач накладывает гипсовую повязку на несколько недель.
Лечение вывиха лодыжки требует определенного периода восстановления после вправления и ношения гипса. После снятия гипсовой повязки нужно беречь пострадавшую ногу. Несколько месяцев дома или на работе требуется оберегать щиколотку от резких движений, ударов. В домашних условиях можно использовать мази и лечебные компрессы, предварительно проконсультировавшись с врачом.
Травма голеностопа требует много внимания. Если не получилось избежать ее, нужно делать все, чтобы лечение и восстановление прошли успешно. Тогда не будет серьезных осложнений, и лодыжка по-прежнему будет выполнять свои важные функции!
Вопрос-ответ
Как понять, что у меня вывих лодыжки?
Чтобы понять, что у вас вывих лодыжки, обратите внимание на такие симптомы, как резкая боль в области лодыжки, отек, синяки, затруднение при ходьбе или невозможность встать на ногу. Также может наблюдаться деформация сустава или изменение его нормального положения. Если вы подозреваете вывих, рекомендуется обратиться к врачу для диагностики и лечения.
Что делают врачи при вывихе лодыжки?
При подозрении на вывих голеностопа врач осматривает сустав. После приема доктор направит на обследование – рентгенографию, компьютерную томографию или магнитно-резонансную томографию. Это нужно, чтобы выяснить, есть ли повреждения костей, связок и насколько они сильные.
Советы
СОВЕТ №1
При первых признаках вывиха лодыжки, таких как боль, отек или ограничение подвижности, немедленно прекратите физическую активность и обеспечьте покой поврежденной конечности. Это поможет предотвратить дальнейшие повреждения и ускорить процесс восстановления.
СОВЕТ №2
Применяйте лед на область вывиха в течение первых 48 часов после травмы. Лед поможет уменьшить отек и облегчить боль. Рекомендуется прикладывать лед на 15-20 минут каждые 1-2 часа, не забывая оборачивать его в ткань, чтобы избежать обморожения кожи.
СОВЕТ №3
После того как острые симптомы утихнут, начните выполнять легкие упражнения на растяжку и укрепление лодыжки, чтобы восстановить подвижность и предотвратить повторные травмы. Консультируйтесь с врачом или физиотерапевтом для разработки безопасной программы реабилитации.
СОВЕТ №4
Не игнорируйте симптомы, такие как постоянная боль или нестабильность в лодыжке, даже после первоначального лечения. Обратитесь к врачу для дальнейшего обследования, так как это может указывать на более серьезные повреждения, требующие профессионального вмешательства.


Боль. Этот признак присутствует при всех травмах костей, будь то переломы или вывихи. Она носит острый характер, становится сильнее при попытке совершить движение или сделать пальпацию. Если вывих привычный, нет резкой боли.