
Плечевой сустав образуется головкой плечевой кости и суставным лопаточным углублением. Из-за травм в этой области возможны серьезные последствия, осложнения. Может повредиться или разрушиться расположенная рядом кость, произойти травматизация связок, нервов, сосудов, причем независимо от возраста — и у взрослого, и у ребенка. Особенно опасно, если вывих сочетается с переломом кости. В любом случае необходимо правильно оказать первую помощь, сделать рентген и начать лечение в зависимости от вида вывиха. По МКБ 10 код такой травмы – S43.0.
Причины

Лопаточное углубление имеет совсем небольшие размеры, если сравнить их с главной головкой плечевой кости. Сумка сустава отличается тонкостью, но при этом она обширная, недостаточно укреплена мышечными и связочными системами с передненижней стороны — именно туда в основном и вывихивается плечевая головка.
Дислокация вывиха в плечевой области – травма, которая часто случается при занятиях физкультурой и спортом. Чаще всего происходит выпадение головки плечевой кости вперед, когда рука находится в отведенном в сторону положении, и одновременно она вывернута наружу. Это передняя форма повреждения. Также, нередко случается задний вывих плеча. Он может произойти во время приступов эпилепсии или в результате падения на вытянутую руку.
Причины плечевых вывихов определяют их виды. Можно выделить такие формы вывихов, как:
- привычные,
- врожденные,
- травматичные.
https://youtube.com/watch?v=bMTvNwXxI-Y
Механизм повреждения обычно непрямой. Человек может упасть на отведенную руку, которая находится в положении задней или передней девиации, или присутствует слишком сильная ротация в этих положениях и так далее.
В определенных случаях повторные травмы случаются без явного воздействия на сустав — достаточно ротировать или отвести плечо кнаружи. Человек может замахнуться, чтобы ударить по мячу, попытаться бросить твердый предмет и т.д. Подобные травмы называются привычными.
Привычное выпадение головки кости происходит и при спортивных нагрузках, когда задействуется плечевой сустав.

- неполноценная анестезия или ее отсутствие,
- неправильные методы вправления,
- ранняя физическая нагрузка,
- неполноценная иммобилизация или ее отсутствие.
По этим причинам такие поврежденные ткани, как мышцы, связки, капсула, заживают вторичным натяжением. Поэтому образуются стойкие рубцы, появляется мышечный дисбаланс, начинается развитие нестабильности плечевого сустава и — случается привычный вывих.
Из сказанного видно, что привычный вывих может быть последствием неправильно оказанной первой помощи, несвоевременного обнаружения симптомов первичной травмы. Поэтому необходимо знать, как правильно оказать первую медицинскую помощь, наложить повязку взрослому или ребенку. Безусловно, важен и процесс лечения. В некоторых случаях стандартное вправление вывиха плеча не помогает, нужна операция. Обо всем этом речь пойдет позже.
Следует знать, что нестабильность плечевого сустава делится на две формы:
- компенсированная,
- декомпенсированная.
Компенсированная форма включает три стадии:
- субклинические признаки,
- легкие клинические симптомы,
- выраженные клинические проявления.
Благодаря такой градации врач может более точно определить состояние пациента и выбрать методы, позволяющие вылечить его лучшим образом. Например, на первом этапе используется консервативное лечение, которое предупреждает переход в другую стадию патологического процесса.

В зависимости от ситуации, в которой произошла травма, вывихи могут сочетаться с другими повреждениями суставов и костей, в том числе, с переломами. Это определяет тактику лечения и период реабилитации. Независимо от сложности травм необходимо квалифицированно оказать первую медицинскую помощь, осуществить иммобилизацию, наложить повязку при необходимости. Остальные действия зависят от врачей, которые, после проведения рентгена, поставят диагноз в соответствии с МКБ 10 и примут решение, как лечить пациента.
Оказать помощь и начать лечение необходимо сразу же, чтобы избежать серьезных последствий. Застарелый вывих плеча лечится более сложно.
По времени, которое прошло с момента нарушения конгруэнтности сочленения, вывихи делятся на следующие виды:
- свежие, если с момента повреждения прошло не больше трех дней,
- несвежие, если прошло от трех дней до трех недель,
- застарелые, если прошло более трех недель.
Лучше всего начинать лечить вывихи свежими. Это касается любой травмы костей, будь-то переломы, подвывихи. Поэтому необходимо вовремя определить симптомы и оказать помощь.
Врачи отмечают, что вывих плеча является одной из наиболее распространенных травм, особенно среди спортсменов и активных людей. Основными симптомами этого состояния являются резкая боль, ограничение подвижности и деформация плечевого сустава. Пациенты часто жалуются на отек и синяки в области травмы. Врачи подчеркивают важность своевременной диагностики и лечения, чтобы избежать осложнений.
Методы лечения вывиха плеча варьируются в зависимости от степени травмы. В большинстве случаев требуется редукция, то есть вправление сустава, что может быть выполнено как консервативно, так и хирургически. После этого назначается курс реабилитации, включающий физиотерапию и упражнения для восстановления подвижности и силы. Врачи рекомендуют не игнорировать симптомы и обращаться за медицинской помощью, чтобы избежать хронических проблем с плечом в будущем.
https://youtube.com/watch?v=ZbPY8RR1HZg
Симптомы

Все травматические плечевые вывихи приводят к резким болезненным ощущениям в области травмы — из-за деформации сустава. Человек не способен совершить суставное движение или ему сделать это очень сложно. Когда он пытается осуществить пассивные движения, то чувствует пружинящее сопротивление. Это главный признак вывиха.
При переднем плечевом вывихе происходит смещение головки вниз и вперед. Рука располагается в вынужденном положении, то есть, она отведена в сторону или согнута, отведена и развернута кнаружи. При прощупывании, которое должен производить только врач, не получается обнаружить головку плечевой кости в нужной зоне, она обнаруживается в передних отделах впадины под мышкой или в других местах.
При нижнем вывихе головка смещается во впадину под мышкой. В ней есть нервы и сосуды. Если головка оказывает давящее воздействие на пучок сосудов и нервов, кожа немеет, возникает мышечный паралич в той зоне, которую иннервирует ущемленный нерв.
Итак, вывих предплечья, плеча сопровождается такими характерными симптомами у ребенка и взрослого:
- возникновение сильных болезненных ощущений,
- появляется чувство, что плечо расположено не на своем месте,
- человек прижимает руку к своему туловищу,
- сустав смотрится острым, опущенным,
- при повреждении нервов и кровеносных сосудов боль имеет колющий характер, человек чувствует онемение, в суставной области имеются кровоподтеки.
Определить эти симптомы не трудно — важно их всем знать.
Диагностика

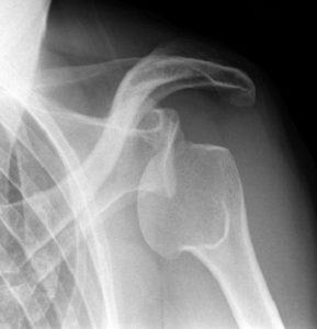
Диагноз помогает поставить пальпация. Ее производит врач. А основным диагностическим методом при вывихе и переломе является рентген. Без него невозможно поставить окончательный диагноз в соответствии с МКБ 10. Без такого аппаратного обследования можно не заметить перелом проксимального конца плечевой кости, лопатки.
Этот метод исследования чрезвычайно важен при вывихах и переломах. Относительным противопоказанием к проведению рентгеноскопии является подростковый возраст — до пятнадцати лет. Нельзя проводить исследование беременным женщинам и тем, кто кормит грудью. Противодействующим фактором также является наличие ожирения. Рентген – это процедура, в процессе которой пациент получает некоторую дозу облучения. Именно это и является причиной ограничения указанным категориям пациентов в назначении рентгена при переломах, вывихах и других травмах костей.
Важно понимать, что рентген можно делать не больше двух раз в год, иначе облучение организма будет представлять серьезную опасность. Другие противопоказания для рентгена при вывихах и переломах встречаются редко.
Вывих плеча — это травма, которая вызывает множество дискуссий среди людей, сталкивающихся с этой проблемой. Многие отмечают, что основными симптомами являются резкая боль, ограничение подвижности и деформация плечевого сустава. Часто пациенты делятся своими переживаниями о том, как вывих влияет на повседневную жизнь, затрудняя выполнение простых действий, таких как поднятие руки или ношение сумки.
Что касается методов лечения, то мнения разнятся. Некоторые предпочитают обратиться к врачу для профессиональной редукции вывиха, в то время как другие ищут альтернативные способы, такие как физиотерапия и специальные упражнения. Многие подчеркивают важность ранней диагностики и правильного восстановления, чтобы избежать повторных травм. В целом, люди советуют не игнорировать симптомы и обращаться за медицинской помощью, чтобы минимизировать риски и ускорить процесс выздоровления.
Лечение
Чтобы лечение было максимально эффективным, необходимо правильно оказать первую помощь. Вывих плеча требует определенных неотложных действий.

Оказывая помощь, первым делом нужно наложить повязку и доставить человека в медицинское учреждение. Основная цель – зафиксировать конечность в том положении, в котором не будет нарушено кровоснабжение, а потерпевший будет ощущать как можно меньше боли. Кроме того, конечность должна быть полностью неподвижной, иначе травма станет серьезнее. Для создания повязки применяется эластичный бинт. Его нужно накладывать на голую кожу.
Вывих плеча требует абсолютной статичности пострадавшего в привычном ровном положении тела. Нужно следить, чтобы человек не напрягал плечо и руку, а также, не прогибал спину. Чтобы правильно наложить повязку, следует придерживаться направления слева направо.
Использовать следует только стерильные материалы, даже когда нет открытых ран. Для повязки нужно подобрать правильную ширину бинта. Если он будет слишком узким — станет врезаться в кожу и вызывать дискомфорт. Правильно наложенная повязка позволяет облегчить состояние пациента. Если он чувствует сильную боль, следует дать ему обезболивающее. Нужно делать все аккуратно, на благо пострадавшему.
После постановки диагноза врач проводит вправление. Это нужно сделать как можно раньше. Процедура выполняется под общим или местным наркозом. Вправление без анестезии – серьезная ошибка! Много лет используют проводниковую анестезию плечевого сплетения по Мешкову как самый эффективный способ обезболивания.
Есть более 50 методов устранения плечевого вывиха. Как лечить конкретную травму, решает врач — после диагностирования и согласования метода лечения с пациентом.
Очень травматичным считается способ Кохера. Он может использоваться только у молодых пациентов при передних вывихах. Для лечения пожилых пациентов этот способ не используется, потому что существует риск перелома порозных плечевых костей и прочих осложнений. Вправление вывиха плеча по Кохеру является самым известным примером рычагового принципа устранения этой патологии.
Наиболее физиологическим, атравматическим методом является способ вправления Джанелидзе. Он базируется на мышечном расслаблении с помощью вытяжения, при этом действует сила тяжести больной конечности. Пациент ложится на специальный стол, на бок. Его пострадавшая рука находится в определенном положении, а под головой стоит тумбочка.
Способ Джанелидзе предполагает мышечное расслабление в течение получаса. Для этого туловище фиксируется валиками, особенно в лопаточной области. Хирург захватывает согнутое предплечье, после чего осуществляет тракцию вниз по ходу конечности с последующей ротацией кнутри и кнаружи. Наступившее вправление по способу Джанелидзе определяется по щелчку и восстановлению движений в суставе. Кроме методов Джанелидзе и Кохера существуют и другие способы. Как вправить вывих плеча каждым из этих способов — точно знает лечащий врач.

Операция может укрепить и стабилизировать связочный аппарат. Обычно хирургическое лечение не приводит к уменьшению подвижности, что немаловажно для тех, кто занимается спортом. Нужен лишь определенный период восстановления.
Реабилитационный период

Поврежденному плечу требуется длительный восстановительный период. У пациентов зрелого возраста срок иммобилизации может составлять три недели, у пожилых он может быть меньше. Упражнения назначаются лечащим врачом после того, как проходят болезненные ощущения и спадает отек.
После всех этапов восстановления человек возвращается к привычной жизни. Можно начинать поднимать небольшие тяжести. Нагрузка увеличивается постепенно. Важно прислушиваться к советам врача и выполнять его указания в период лечения и реабилитации.
https://youtube.com/watch?v=JgpcWpp4D4Q
Если вовремя оказать первую помощь и начать лечение вывиха плеча — серьезных последствий не будет. Квалифицированный врач сделает все необходимое, и рука станет такой, как прежде!
Вопрос-ответ
Каковы основные симптомы вывиха плеча?
Основные симптомы вывиха плеча включают резкую боль в области плеча, ограничение подвижности, деформацию сустава, а также отек и синяки. Пациенты могут испытывать трудности при попытке поднять руку или выполнить любые движения с плечом.
Какие методы лечения применяются при вывихе плеча?
Лечение вывиха плеча обычно включает репозицию сустава, что означает возвращение его в нормальное положение. После этого может потребоваться иммобилизация с помощью шины или повязки, а также применение льда для уменьшения отека. В некоторых случаях может быть рекомендована физиотерапия для восстановления подвижности и силы плеча.
Когда необходимо обратиться к врачу при вывихе плеча?
Обратиться к врачу следует немедленно, если вы подозреваете вывих плеча, особенно если испытываете сильную боль, видите деформацию сустава или не можете двигать рукой. Ранняя диагностика и лечение помогут избежать осложнений и ускорить восстановление.
Советы
СОВЕТ №1
При подозрении на вывих плеча немедленно обратитесь к врачу. Самостоятельные попытки вправить сустав могут привести к серьезным повреждениям нервов и сосудов.
СОВЕТ №2
После получения медицинской помощи следуйте рекомендациям врача по реабилитации. Упражнения на восстановление под руководством специалиста помогут вернуть подвижность и силу в плечевом суставе.
СОВЕТ №3
Используйте холодные компрессы в первые дни после травмы для уменьшения отека и боли. Это поможет облегчить состояние до визита к врачу.
СОВЕТ №4
Избегайте физических нагрузок на плечевой сустав в период восстановления. Постепенно увеличивайте активность, чтобы не усугубить травму.


