
Заболевания, связанные с паразитирующими организмами внутри человека, не редкость. Одной из весьма распространенных паразитарных болезней является описторхоз – симптомы этого заболевания рекомендуется знать каждому, чтобы в случае появления паразитов, в максимально короткие сроки обратиться к врачу. Болезнь может приводить к достаточно тяжелым осложнениям и последствиям, поэтому крайне важна грамотная диагностика и своевременное начало адекватного лечения заболевания. Важно знать, что такое описторхоз и как его вылечить в случае заражения.
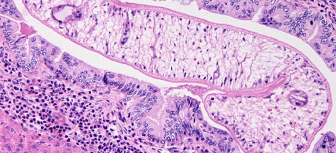
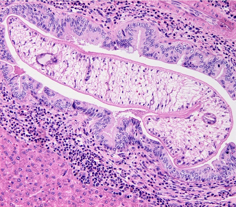
Описторхоз – что же это такое? Это заболевание группы гельминтозов, вызываемое плоскими червями Opisthorchis felineus, которые поражают поджелудочную железу и печень. Для этого гельминтоза у человека характерны частые и многократные обострения, а также длительное течение.
Пути заражения
Паразиты, вызывающие это заболевание, относятся к классу трематод, их именуют кошачьей или сибирской двуусткой. Они имеют достаточно маленькие размеры – в длину достигают 20 мм, а в ширину около 1-2 мм. Несмотря на свои небольшие размеры, гельминты описторхис приводят к сильной симптоматике и тяжелым последствиям без правильного и своевременного лечения.
Возбудитель описторхоза у человека имеет достаточно продолжительный жизненный цикл и развивается в двух промежуточных хозяевах. Яйца описторхиса различными путями попадают в пресный водоем, где их заглатывают моллюски – они являются первым обязательным промежуточным хозяином. В теле моллюска личинки превращаются в церкарии, после чего они вновь попадают в воду, где происходит их встреча со вторым промежуточным хозяином – рыбой. Описторхисы внедряются в мышцы рыбы через кожу. Заражается рыба семейства карповых – карп, лещ, пескарь, язь и прочие. Употребляя плохо термически обработанную или некачественно соленую зараженную рыбу, заразиться таким гельминтозом могут как люди, так и любые плотоядные животные – кошки, собаки и так далее.
Таким образом, описторхоз плотоядных развивается исключительно из-за употребления рыбы. Заболевание не передается от человека или животного.
Чтобы понять, как определить описторхоз, важно знать, в каких регионах он наиболее распространен, так как при сборе анамнеза заболевания учитывается место проживания или поездок пациента, где могло произойти заражение. На территории России и стран СНГ выделяют крупные очаги с большим количеством зараженных. Описторхоз у взрослых имеет большую распространенность в районах рек Иртыш, Обь, Дон, Кама и других. Для жителей этих районов рекомендована постоянная профилактика описторхоза.
Врачи отмечают, что описторхоз, вызванный паразитами, может проявляться разнообразными симптомами, которые часто затрудняют диагностику. На ранних стадиях заболевания пациенты могут испытывать общую слабость, усталость и головные боли. По мере прогрессирования инфекции возникают более специфические проявления, такие как боли в правом подреберье, тошнота и нарушения пищеварения. Врачи подчеркивают, что важно обращать внимание на возможные аллергические реакции, которые могут проявляться в виде кожных высыпаний. Хроническая форма описторхоза может привести к серьезным осложнениям, включая заболевания печени и поджелудочной железы. Поэтому своевременная диагностика и лечение являются ключевыми для предотвращения тяжелых последствий.
https://youtube.com/watch?v=Ku6DwnzC0bs
Течение заболевания
Видео
https://youtube.com/watch?v=L9AtgpUJt9M
Чтобы понять, что такое описторхоз, нужно знать, как развивается и протекает это заболевание у человека. Инкубационный период этого гельминтоза длится в среднем 21 день.
После употребления зараженной рыбы личинки описторхиса попадают в желудок, а затем в кишечник, где теряют свою оболочку и по желчным протокам переходят в печень и поджелудочную железу. В организме человека с диагнозом описторхоз паразит-возбудитель болезни может жить в течение 25 лет, вызывая различные симптомы и серьезные последствия для больного.
Описторхоз в организме у человека может иметь две формы:
Вне зависимости от стадии заболевания описторхоз требует лечение специалистом во избежание возможных осложнений.
Симптомы заболевания
При описторхозе у взрослых длительное время гельминты могут не проявлять себя, и болезнь протекает бессимптомно. В таком случае обнаруживается паразит в организме случайно, при проведении обследований или при обострении болезни.
Проявляется описторхоз по-разному: симптомы заболевания зависят от его длительности и тяжести. Так, острое течение болезни проявляется такими признаками:
Многие симптомы острой формы заболевания вызваны общей интоксикацией организма. Острый описторхоз имеет признаки, схожие со многими инфекционными заболеваниями, поэтому его бывает достаточно сложно диагностировать.
При хроническом течении описторхоз печени проявляется следующими симптомами (они могут как присутствовать постоянно, так и проявляться во время обострений):
При поражении поджелудочной железы может развиваться панкреатит со свойственными ему симптомами.
В зависимости от тяжести протекания симптоматика заболевания может выражаться ярче или слабее. Чаще всего проявляется сразу несколько симптомов, при обнаружении которых рекомендуется сразу обратиться к врачу, который точно знает, как вылечить описторхоз. Он проведет диагностику и назначит медикаментозную терапию. Это поможет минимизировать различные последствия описторхоза.
Описторхоз — это заболевание, вызванное паразитами, которые могут вызывать у человека различные симптомы. Многие пациенты отмечают, что в начале болезни у них появляются общие признаки недомогания: усталость, слабость и головные боли. Со временем могут возникать более специфические симптомы, такие как боли в правом подреберье, тошнота и нарушения пищеварения. Некоторые люди жалуются на зуд кожи и аллергические реакции, что также может быть связано с присутствием паразитов в организме. Важно отметить, что симптомы могут варьироваться в зависимости от стадии заболевания и индивидуальных особенностей пациента. Многие обращаются к врачам с жалобами на хронические заболевания печени и желчевыводящих путей, не подозревая о наличии описторхоза. Поэтому осведомленность о симптомах и своевременная диагностика играют ключевую роль в успешном лечении этого заболевания.
https://youtube.com/watch?v=qL8ztqU7ze8
Осложнения болезни
Если появляются признаки описторхоза, важно в максимально короткие сроки начать лечить описторхоз у взрослых, так как могут развиваться различные серьезные осложнения. Чем опасен описторхоз? При несвоевременно начатой терапии развиваются такие последствия, как:
Чтобы избежать заболевания и его осложнений, необходима регулярная профилактика описторхоза, заключающаяся в отказе от употребления сырой и термически не обработанной рыбе. Также следует отказаться от рыбы некачественного посола – при приготовлении такой рыбы рекомендуется использовать менее 1,2 г соли на литр воды и просаливать ее в течение не менее 10 суток.
Диагностика и лечение
Перед тем как лечить описторхоз, необходимо провести грамотную диагностику. Ранняя стадия заболевания сложна в диагностике, так как яйца паразита определяются в кале и желчи лишь спустя 4-6 недель после заражения. Поэтому заболевание острый описторхоз обычно диагностируется лишь по данным анамнеза.
Чтобы выявить описторхоз, диагностика включает такие методы, как:
Грамотная диагностика описторхоза позволяет вовремя обнаружить болезнь и начать адекватную терапию. Как вывести заболевание описторхоз? Главное правило – отсутствие самолечения и строгое выполнение рекомендаций врача.
Как избавиться от описторхоза, подскажет паразитолог или инфекционист. Именно эти специалисты должны назначать терапию против гельминтоза этого вида. Схема лечения описторхоза подразумевает три последовательных этапа: подготовительный, специфическая терапия и реабилитация.
На первом этапе пациенту назначаются врачом антигистаминные и желчегонные препараты, лекарства для снижения интоксикации организма, по показаниям могут применяться антибиотики, пищеварительные ферменты и пробиотики. На втором этапе применяется бильтрицид – единственное средство, считающееся действительно эффективным против гельминтов этого вида.
Лечение описторхоза у взрослых на реабилитационном этапе заключается в приеме гепатопротекторов, применении желчегонных средств и трав, а также спазмолитиков при необходимости.
Все лекарственные препараты назначаются специалистов в зависимости от индивидуальных особенностей пациента, поэтому выбор лекарства и его дозировка должна осуществляться исключительно врачом.
Также во время терапии назначается диета со строгим ограничением потребляемых жиров. Диета может быть продлена и после окончания лечения по показаниям.
Можно ли вылечить описторхоз другими методами? Врачи утверждают, что использование этой схемы лечения является наиболее эффективным способом лечения болезни.
Важно понимать, что есть отличия в том, как лечится заболевание описторхоз у взрослых и детей, поэтому невозможно применять одну и ту же схему для лечения разных пациентов. Также при назначении лечения учитываются индивидуальные особенности организма и сопутствующие заболевания.
Этот вид гельминтоза весьма сильно распространен, но от этого не менее опасен. Вызывает описторхоз различные симптомы, и лечение требуется строгое и достаточно длительное. Следует соблюдать все рекомендации врача и ни в коем случае не заниматься лечением самостоятельно: осложнения заболевания могут преследовать пациента в течение всей жизни. Чтобы не допустить диагноза «описторхоз», должна проводиться профилактика на регулярной основе.
Вопрос-ответ
Какие основные симптомы описторхоза у человека?
Основные симптомы описторхоза могут включать боль в правом подреберье, тошноту, рвоту, диарею, а также общую слабость и усталость. У некоторых пациентов могут наблюдаться аллергические реакции, такие как сыпь или зуд.
Как долго могут проявляться симптомы описторхоза после заражения?
Симптомы описторхоза могут проявляться через 2-3 недели после заражения, однако в некоторых случаях инкубационный период может длиться до нескольких месяцев. У многих людей инфекция может протекать бессимптомно в течение длительного времени.
Как диагностируется описторхоз?
Диагностика описторхоза обычно включает анализ кала на наличие яиц паразита, а также серологические тесты для выявления антител к описторхам. В некоторых случаях может потребоваться УЗИ печени и желчных путей для оценки состояния органов.
Советы
СОВЕТ №1
Обратите внимание на симптомы: описторхоз может проявляться различными симптомами, такими как боль в правом подреберье, тошнота, рвота, усталость и аллергические реакции. Если вы заметили у себя эти признаки, особенно после употребления рыбы, немедленно обратитесь к врачу.
СОВЕТ №2
Проверяйте источники пищи: чтобы избежать заражения описторхозом, старайтесь употреблять только хорошо приготовленную рыбу. Избегайте сырой или недостаточно термически обработанной рыбы, особенно в местах, где заболевание распространено.
СОВЕТ №3
Регулярно проходите медицинские обследования: если вы живете в регионах, где описторхоз распространен, рекомендуется регулярно проходить обследования на наличие паразитов. Это поможет выявить заболевание на ранней стадии и начать лечение.
СОВЕТ №4
Обратите внимание на профилактику: соблюдайте правила личной гигиены и старайтесь избегать контакта с потенциально зараженной водой и рыбой. Также важно информировать близких о рисках, связанных с описторхозом, чтобы предотвратить распространение инфекции.







