Надпяточная кость, она же таранная – это одна из костей, которая формирует нижний отдел голеностопа, асептический некроз таранной кости грозит пациенту инвалидностью и ограничением подвижности.
Таранная кость покрывается суставным хрящом на шестьдесят процентов. Основной ее функцией является передача массы тела на поверхность стопы: ладьевидную, пяточную и кубовидную кости. Таранную кость можно поделить на три части: блок, головку и задний отросток.
Вследствие особенностей кровотока, в ней может развиться некроз тканей. Если не будет своевременного лечения, заболевание может даже привести человека к инвалидности. Перелом данной кости приводит к осложнению в системе кровообращения. Такое нарушение приводит к некрозу в определенных частях кости, а при затягивании с лечением на ранних стадиях, поражает всю кость. Наиболее чаще асептический некроз возникает у мотоциклистов и спортсменов — прыгунов с большой высоты.
Причины возникновения заболевания
Асептический некроз, он же аваскулярный, может возникнуть при нарушении сосудистого кровотока, который насыщает головку кости. Вследствие такого нарушения возникает аваскулярный некроз в отдельных участках кости, а именно в костном мозге у головки. Это можно сравнить с инфарктом.
При занятиях спортом, в которых происходит упор шейки данной кости на передний край большеберцовой кости, данный упор ведет к смещению или вывиху. Интенсивное подошвенное сгибание так же ведет к смещениям и переломам.
https://youtube.com/watch?v=YteVxQ4dXMI
Врачи отмечают, что асептический некроз таранной кости проходит несколько стадий, каждая из которых требует индивидуального подхода к лечению. На начальных этапах, когда симптомы еще не выражены, важно проводить консервативную терапию, включая физиотерапию и ограничение нагрузки на пораженную ногу. По мере прогрессирования заболевания, когда появляются боли и ограничение подвижности, может потребоваться более активное вмешательство, такое как инъекции кортикостероидов или использование ортопедических средств. В запущенных случаях, когда консервативные методы не приносят результата, врачи могут рекомендовать хирургическое лечение, включая остеотомию или артродез. Ключевым моментом в успешном лечении является ранняя диагностика и комплексный подход, который учитывает индивидуальные особенности пациента.
https://youtube.com/watch?v=bFUwrgmAqAw
Стадии развития
Некроз по уровню поражения подразделяется на:
Так же в медицине определяются четыре стадии заболевания:
Симптомы
Некроз кости таранной, явление довольно частое. Подвергаются ему в основном мужчины, до 8 раз реже женщины. В отличие от артроза, асептический некроз, в основном поражает людей возрастом от 20 до 45 лет. От данного заболевания, одна нога страдает в 60% случаев, а сразу обе в 40%.
Симптомы такого заболевания почти аналогичны симптомам артроза у тазобедренного сустава. Отличить эти две болезни очень сложно. Но нет ничего невозможного. Артроз развивается крайне медленно, а некроз развивается в очень быстрых темпах, буквально за считанные дни.
В большинстве случаев, боль усилиться до предела за первые двое или трое суток.
Асептический некроз таранной кости — это серьезное заболевание, которое вызывает много обсуждений среди пациентов и специалистов. Люди часто делятся своими переживаниями о симптомах, таких как боль и ограничение движений, а также о том, как это влияет на их повседневную жизнь. Многие отмечают, что ранняя диагностика и правильное лечение играют ключевую роль в восстановлении. Важным аспектом является понимание стадий развития заболевания: от начальных, когда симптомы могут быть незначительными, до более запущенных, когда требуется хирургическое вмешательство. Пациенты обсуждают различные методы лечения — от консервативной терапии, включая физиотерапию и медикаменты, до операций, таких как остеотомия или артродез. Обмен опытом помогает многим не только справиться с болезнью, но и найти поддержку в сложный период.
https://youtube.com/watch?v=Gv73kzDGn-M
Диагностика
Как и в любой болезни, успех лечения заключается в своевременном выявлении заболевания. Спасти сустав без хирургического вмешательства, возможно только при обнаружении болезни на ранних стадиях и осуществлении качественного лечения. Главной проблемой является обнаружение некроза, так как на ранних стадиях его довольно сложно диагностировать.
Схожие симптомы с артрозом будут тому причиной. При появлении первых подозрений, врач обычно отправляет пациента на рентгеновское обследование, а оно не в состоянии обнаружить некроз на ранних стадиях. На рентгеновских снимках можно выявить разрушения только на второй или третей стадиях заболевания. Поэтому лечащий врач, который будет руководствоваться только рентгеновским снимком, может упустить возможность пациента выздороветь, не прибегая к хирургическому вмешательству.
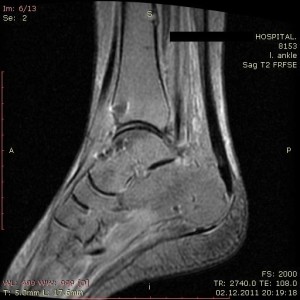
Вовремя выявить некроз кости, возможно, только с помощью двух томографий. Помогут распознать болезнь в самом начале, магнитно-резонансное и компьютерное обследование. Именно подобные методики помогут своевременно выявить болезнь и избежать хирургической операции.
Лечение некроза
Сегодня современная медицина разработала ряд препаратов, которые оказывают эффективное воздействие на воспаления и опухоли в процессе лечения некроза таранной кости. Они значительно уменьшают страдание подвергшихся данной болезни и улучшают кровообращение, микроциркуляцию, стимулируют регенерирующие свойства и восстанавливать плотность клеток костной ткани.
Основные усилия при лечении некроза костей, направлены на предотвращение дальнейшего разрушения и восстановление функции кости, а так же на то, что бы уменьшить страдания больного.
Важно не терпеть боль и надеяться на то, что она пройдет, а своевременно обращаться к доктору. И тогда будет возможность быстро и без оперативного вмешательства восстановить функции сустава.
Вопрос-ответ
Сколько стадий асептического некроза?
На 3 стадии асептического некроза развиваются характерные анатомические изменения: расширение суставной щели, уплощение костной ткани, укорочение шейки бедра и прочие характерные визуальные признаки.
Можно ли обойтись без операции при асептическом некрозе?
Лечение асептического некроза без операции возможно! Оно должно быть комплексным, систематичным и регулярным. Необходимо создать условия для роста и восстановления костной ткани, сохранения функциональности сустава и его опороспособности.
Каковы четыре стадии некроза?
Стадии аваскулярного некроза можно разделить на четыре основные категории: предколлапсная, ранняя коллапсная, поздняя коллапсная и артритная. Стадия предколлапсной: эта стадия характеризуется минимальными симптомами или их отсутствием, а повреждение костей можно обнаружить только с помощью визуализирующих методов исследования, таких как МРТ или рентгенография.
Советы
СОВЕТ №1
Регулярно проходите медицинские осмотры и обследования, особенно если у вас есть предрасположенность к заболеваниям суставов или травмам. Раннее выявление асептического некроза может значительно улучшить прогноз и повысить эффективность лечения.
СОВЕТ №2
Обратите внимание на свой образ жизни: поддерживайте здоровый вес, занимайтесь физической активностью и избегайте чрезмерных нагрузок на ноги. Это поможет снизить риск развития асептического некроза и улучшить общее состояние суставов.
СОВЕТ №3
При появлении болей в области стопы или лодыжки не откладывайте визит к врачу. Чем раньше начнется лечение, тем больше шансов на успешное восстановление и предотвращение прогрессирования заболевания.
СОВЕТ №4
Изучите доступные методы лечения асептического некроза, включая консервативные и хирургические подходы. Обсудите с врачом оптимальный план лечения, который будет учитывать ваши индивидуальные потребности и состояние здоровья.



