
На сегодняшний день перелом стопы является распространенной травмой. Так, он может возникнуть не только вследствие того, что человек неправильно приземлился на землю в процессе прыжка, но даже из-за несильного удара. Это травма, которая требует особого внимания со стороны врачей и пациента, детального обследования и правильного лечения.
Общая информация о переломах
Чаще всего, травма происходит из-за прыжка или падения. Так, выделяют виды и подвиды переломов стопы. Например, очень часто в травматологию попадают пациенты с переломом таранной кости. Лечение перелома стопы без смещения осуществляется индивидуально врачом на протяжении определенного количества времени. Период реабилитации составляет от двух до шести недель в зависимости от типа перелома. После чего, доктор назначает индивидуальную лечебную гимнастику, специальные процедуры и лечебный массаж.
Переломы костей стопы чаще всего случаются из-за неудачного прямого удара. Например, подобная травма может произойти даже во время игры в футбол. Сильный удар по костям стопы обеспечивает перелом. Впрочем, существует и иной способ получения травмы, когда сила направлена именно на пострадавшую кость. Например, когда нога застревает где-либо, а ее пытаются с большой силой вытащить.
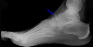
Если возникают хоть какие-либо подозрения на перелом стопы, необходимо сразу же провести рентген. По результатам, доктор сможет не только подтвердить диагноз, но и выбрать необходимое лечение.
Врачи подчеркивают, что лечение переломов костей стопы зависит от типа и степени повреждения. В большинстве случаев консервативные методы, такие как иммобилизация с помощью гипса или ортопедических ботинок, являются первоочередными. Это позволяет избежать хирургического вмешательства и способствует естественному заживлению. Однако при сложных переломах, особенно с смещением, может потребоваться операция для восстановления нормального анатомического положения костей. В таких случаях врачи используют металлические пластины, винты или штифты. Реабилитация также играет важную роль в восстановлении функции стопы, и специалисты рекомендуют физиотерапию и специальные упражнения для укрепления мышц и улучшения подвижности. Важно, чтобы пациенты следовали рекомендациям врачей и не игнорировали симптомы, чтобы избежать осложнений.
https://youtube.com/watch?v=18HKUMPoWxg
Виды переломов
Принято разделять несколько видов переломов. Рассмотрим их подробно:
-
Перелом стопы со смещением. Чаще всего смещение происходит тогда, когда сильное воздействие на конечность человека осуществляется с боковой стороны. В результате этого, кости и костные отломки меняют свое местоположение. При этом не стоит забывать о том, что это сильно усложняет лечение.
- Переломы без смещения.Такие травмы происходят в том случае, когда человек с большой высоты приземляется на пятки. Иногда возникает травма в том случае, когда на ногу падает большой предмет. Внешнее воздействие в этом случае большое, но страдают только некоторые кости. В любом случае, такой тип перелома лечится быстрее.
- Открытый тип перелома. Человек получает такую травму в результате травматизации мягких тканей.
- Закрытый тип перелома не сопровождается ранением мягких тканей. Чаще всего, наблюдается только ранение окружающих тканей.
Перелом кости стоп бывает внутрисуставным или множественным. По международной классификации выделяют множество типов переломов, среди которых перелом большого пальца стопы и пяточной кости, а также множественные переломы костей стопы и иных предплюсневых костей. К ним относится ладьевидная, кубовидная и клиновидная кости.
Переломы костей предплюсны

Перелом кости стопы, а именно таранной случается не так часто, но он являются особенным из-за того, что отличает эту кость от остальных костей стопы. Так, через таранную кость осуществляется давление со всего тела. К ней вообще не прикрепляются мышцы. Она является уникальной костью стопы! Может возникнуть из-за неправильного подворачивания стопы или неудачного прыжка.
Люди, столкнувшиеся с переломами костей стопы, часто делятся своими впечатлениями о различных методах лечения. Многие отмечают, что консервативные подходы, такие как иммобилизация с помощью гипса или ортопедических ботинок, позволяют избежать хирургического вмешательства и обеспечивают хорошую стабильность. Однако некоторые пациенты выражают недовольство длительным сроком восстановления и необходимостью ограничивать физическую активность.
Хирургические методы, такие как остеосинтез, вызывают смешанные чувства. С одной стороны, они позволяют быстрее восстановить функцию стопы, с другой — сопряжены с рисками и необходимостью реабилитации. Важным аспектом является индивидуальный подход: врачи учитывают возраст, уровень активности и общее состояние здоровья пациента. Многие люди подчеркивают значимость ранней диагностики и своевременного обращения к специалистам, что значительно ускоряет процесс выздоровления и улучшает конечный результат.
https://youtube.com/watch?v=fLPXlHzJRFA
Симптомы и признаки
В поврежденной области пациент чувствует сильную боль. Стопа и сустав начинают отекать. Если отломки смещаются, то наблюдается деформация. Движение конечности практически невозможности из-за сильной боли.
Лечение
Если произошла травма заднего отростка, то восстановление занимает две-три недели. После чего, доктор назначает массаж и ЛФК. Полностью трудоспособность восстанавливается спустя два-три месяца. Чтобы предотвратить травматическое плоскостопие, врачи рекомендуют в течение года после травмы носить специальную обувь. Кроме того, рекомендуется постоянно разрабатывать ногу. Доктору необходимо назначить комплекс специальных упражнений.
https://youtube.com/watch?v=REGLuH-eXpA
Переломы ладьевидной кости
Переломы ладьевидной кости обусловлены прямым воздействием на стопу. Например, когда на ногу падает тяжелый предмет. Иногда причиной травмы является ее сдавливание между головкой таранной кости и клиновидными костями. В результате, образуются трещины.
Каким образом осуществляется лечение? Если произошла травма ладьевидной кости без смещения, тогда травматолог должен наложить циркулярную гипсовую повязку. Если же произошел перелом со смещением, тогда проводится репозиция. Реабилитация происходит на протяжении четырех-пяти недель.
Остеохондропатия ладьевидной кости стопы может наблюдаться в результате частых травм.
Это заболевание еще называют болезнью Келера. Чаще всего, оно встречается у детей в возрасте от пяти до двенадцати лет. Остеохондропатия ладьевидной кости стопы может проявиться в области тыльной поверхности стопы. Чаще всего, это обусловлено болезненностью и даже припухлостью. Хромота развивается из-за нагрузки на наружный свод стопы.

Если ребенок получил более двух раз травму ладьевидной кости, то следует немедленно обследовать конечность. Зачастую, врачи рекомендуют ходить на костылях и обязательно приобрести специальную обувь с вкладками-супинаторами. Можно обойтись консервативным лечением, включающим в себя лечебную физкультуру, а также специальный массаж.
Переломы кубовидной и клиновидных костей
Главной причиной травмы является резкое падение на конечность тяжелого предмета. Мягкие ткани в зоне повреждения начинают отекать. При давлении, прощупывании, а также поворотах выявляется сильная боль. Чтобы подтвердить диагноз, необходимо сделать рентгенографию. При переломе кости стопы накладывается чаще всего повязка, а иногда – фиксатор на срок от четырех до пяти недель. В течение года пациенту необходимо носить супинатор.
Переломы плюсневых костей
Подобные травмы встречаются очень часто. В большинстве случаев, они возникают из-за прямого воздействия травмирующей силы. Например, когда на конечность падает тяжелый предмет или стопу переезжает колесо. Выделяют два вида – одиночные и множественные. Кроме того, существуют еще и переломы шейки и головки плюсневых костей.
Если это одиночный перелом, то конечность отекает на тыле, при прощупывании выявляется незначительная боль. Если же это множественные переломы, то отек наблюдается всей стопы, а также присутствует сильная боль. Иногда случается деформация стопы. Диагноз может подтвердить доктор, перед этим пациент должен осуществить рентгенографию в двух проекциях.

Если это травма без смещения костей, то доктором накладывается гипсовая шина. Обычно срок реабилитации варьируется в пределах от трех до четырех недель. Впрочем, восстановление может занять меньший срок в том случае, если строго выполнять все рекомендации доктора. Если же смещение произошло, то выполняют закрытое вправление и скелетное вытяжение. В таком случае, срок фиксации составляет шесть недель. При подобной травме накладывается специальная шина, которую еще называют «с каблучком».
Перелом пальцев стопы
Подобная травма происходит при падении тяжести или сильном ударе по пальцам. Если произошла травма среднего или ногтевого фаланга, то функция стопы в будущем не будет нарушена. Если же произошло неправильное сращение переломов основных фланг, то в результате развиваются артрозы.
Травмированный палец становится синюшного цвета, сильно отекает. При любых движениях наблюдается сильная боль. Часто сопровождается подногтевой гематомой. Для того чтобы подтвердить диагноз, выполняются рентгенограммы в двух проекциях.

Если же перелом произошел без смещения, то для лечения накладывают заднюю гипсовую шину. Если же произошел перелом при смещении отломков, то выполняют закрытую репозицию. Костные фрагменты должны быть закреплены спицами. Полное восстановление происходит на протяжении трех-четырех недель. Чтобы ускорить этот процесс, необходимо осуществлять разработку пальцев, постепенно увеличивая нагрузку.
Операция артродеза стопы
Когда кости ноги после перелома срастаются неправильно, проводят операцию артродеза стопы. Это специальная операция, которая соединяет правильно кости, которые формируют сустав. Причем, подобную операцию выполняют для нескольких суставов одновременно.
Иногда происходят осложнения при артродезе стопы, но они случаются очень редко, ведь никакая операция не гарантирует отсутствие риска. Перед тем, как решится на операцию, обязательно необходимо знать всевозможные отклонения:
- Инфекция.
- Кровотечение.
- Потребность в повторной операции.
- Невозможность соединения суставов.
- Повреждение нервов.
Осложнения, чаще всего, происходят из-за таких факторов, как курение или хронические болезни.
Поэтому, перед тем, как решится на операцию, необходимо посоветоваться с врачом и отказаться от курения хотя бы на определенный период.

Уход после операции артродеза стопы не является особенным. Конечность на протяжении четырех месяцев будет находиться в гипсе. По указаниям врача нужно купаться определенное количество раз. Помните о том, что операция может и не понадобится, если есть шанс излечить стопу при помощи нехирургических способов. Например, таких, как прием лекарств или физиотерапия.
Питание при травмах стопы
Многие ошибочно считают, что питание не нужно менять. Помните, для быстрого выздоровления питание обязательно нужно изменить, пересмотреть свой рацион и посоветоваться с лечащим врачом. Подобная диета помогает человеку обогатить свой организм необходимыми элементами и витаминами для быстрого заживления стопы.
Рекомендуемый список

Ни в коем случае не употребляется алкоголь, кофе, сладкие и острые продукты.
Переломы ноги могут предостерегать человека в любом месте, поэтому для предотвращения травмы необходимо соблюдать правила безопасности, которые смогут уберечь от серьезных последствий.
А, если же перелом все-таки произошел, и доктор назначил эффективное лечение, то после снятия гипсовой повязки, рекомендуется делать лечебный массаж и разработку стопы для того, чтобы восстановилась ее работоспособность. При этом не нужно забывать соблюдать правильный режим, а также правильно питаться.
Вопрос-ответ
Какие основные виды переломов костей стопы существуют?
Существует несколько основных видов переломов костей стопы, включая переломы метатарзальных костей, переломы фаланг пальцев и переломы таранной и пяточной костей. Переломы могут быть открытыми или закрытыми, а также могут варьироваться по степени тяжести — от микротрещин до полных переломов с смещением.
Каковы основные методы лечения переломов стопы?
Лечение переломов стопы может включать консервативные методы, такие как иммобилизация с помощью гипса или ортопедических стелек, а также хирургические вмешательства в более сложных случаях. Важно также проводить реабилитацию, включая физиотерапию, для восстановления функции стопы после заживления.
Как долго заживают переломы костей стопы?
Время заживления переломов костей стопы зависит от типа перелома и индивидуальных особенностей пациента. В среднем, заживление может занять от 6 до 12 недель. Однако в случае сложных переломов или наличия сопутствующих заболеваний процесс может затянуться.
Советы
СОВЕТ №1
При подозрении на перелом стопы немедленно обратитесь к врачу для диагностики. Самостоятельная диагностика может привести к неправильному лечению и осложнениям.
СОВЕТ №2
Следуйте рекомендациям врача по поводу иммобилизации и реабилитации. Носите специальную обувь или ортезы, если это предписано, чтобы обеспечить правильное заживление.
СОВЕТ №3
Обратите внимание на питание. Убедитесь, что ваш рацион богат кальцием и витамином D, которые способствуют укреплению костей и ускоряют процесс заживления.
СОВЕТ №4
Не забывайте о регулярной физической активности после восстановления. Упражнения на укрепление мышц и суставов стопы помогут предотвратить повторные травмы.

