
Височная кость является очень сложной костью человеческого организма. Ее строение состоит из многочисленных элементов: борозд, поверхностей, каналов, бугорков и прочего. Расположена височная кость на границе между основанием и сводом черепа. С иными элементами черепной коробки височная кость соединена различными видами соединений.
Можно выделить следующие основные части строения кости:
- барабанная часть,
- чешуя височной кости,
- каменистая часть или пирамида.
Парная сложная височная кость выполняет следующие важные функции организма:
- содержит в себе органы гравитации и слуха,
- образует часть боковой стенки и основания черепа,
- через каналы этой кости проходят сосуды и нервы.
Каналы височной кости
Височная кость имеет определенную анатомию и в своем строении содержит несколько канальцев и каналов:
- сосцевидный каналец,
- барабанный каналец,
- сонно-барабанные канальцы,
- каналец барабанной струны,
- мышечно-трубный канал,
- сонный канал,
- лицевой канал.
Каждый отдельный канал имеет в себе анатомическое образование.
Врачи отмечают, что височная кость играет ключевую роль в защите головного мозга и обеспечении нормального функционирования слуховой системы. Переломы этой кости могут возникать в результате травм, таких как автомобильные аварии или падения. Специалисты подчеркивают, что такие повреждения могут сопровождаться серьезными осложнениями, включая повреждение слуховых нервов и нарушение равновесия. Важно, чтобы пациенты с подозрением на перелом височной кости проходили тщательное обследование, включая компьютерную томографию, для оценки степени повреждения. Врачи рекомендуют своевременное лечение, которое может включать как консервативные методы, так и хирургическое вмешательство в зависимости от тяжести травмы. Правильная диагностика и лечение являются залогом успешного восстановления и минимизации возможных последствий.
https://youtube.com/watch?v=DRZ2tDWUaEI
Перелом височной кости и его виды

Переломом кости является нарушение целостности ее строения. Возникает это зачастую из-за удара тяжелым предметом. Можно выделить следующие анатомические виды пирамиды височной кости:
- Поперечные.
- Продольные.
- Атипичные.
Симптомы
Переломы пирамиды височной кости имеют следующие симптомы:
- ушные и носовые кровотечения,
- снижение слуха или его полное исчезновение,
- появление отечности или синюшности позади уха,
- выделение из ушной раковины прозрачной жидкости,
- визуальные раны в области виска и др.
Анатомия височной кости и её переломы вызывают интерес у специалистов и пациентов. Многие отмечают, что височная кость играет ключевую роль в защите мозга и слуховых органов. В случае переломов, особенно сложных, возникают серьезные последствия, такие как потеря слуха или нарушения равновесия. Врачи подчеркивают важность своевременной диагностики и лечения, так как даже незначительные повреждения могут привести к долгосрочным проблемам. Пациенты, столкнувшиеся с переломами, часто делятся своими переживаниями о восстановлении и реабилитации, отмечая, что процесс может быть длительным и требовать терпения. Обсуждения на форумах показывают, что люди ищут информацию о методах лечения и профилактики, стремясь понять, как избежать подобных травм в будущем.
https://youtube.com/watch?v=C3Hqb67PBFM
Диагностические мероприятия
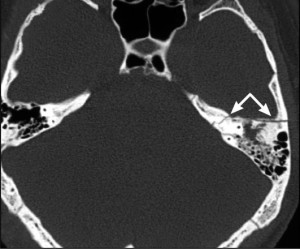
При получении человеком травмы в области виска, важно своевременно и правильно поставить диагноз. Для этого доктору необходимо видеть полную рентгенологическую картину ситуации. К сожалению, рентгеновские снимки далеко не всегда позволяют правильно увидеть линию перелома пирамиды и оценить серьезность заболевания.
Очень часто в таких случаях назначается КТ височных костей или рентген в дополнительных проекциях (медиальной, боковой, косой). Так же может потребоваться консультация ЛОР-врача или невролога.
Доктор может назначить анализ спинномозговой жидкости, чтобы своевременно диагностировать или исключить инфекционный, или неинфекционный менингит.

При травматических поражениях очень важно, как можно скорее поставить диагноз и назначить лечение. От этого порой зависит, сможет ли человек полностью побороть свою болезнь. Самым информативным и быстрым методом исследования является КТ височных костей. Данное исследование позволяет максимально быстро определить степень поражения. Так же часто назначается МРТ.
КТ височных костей и МРТ позволяет определить различные опухоли, травматические повреждения, а также отиты, абсцессы и дегенеративные влияния. Стоит отметить, что при необходимости повторных исследований КТ височных костей не назначают, так как рентгеновское излучение в области головного мозга и так не желательно.
Лечение
Очень важно, чтобы при получении перелома, была своевременно и правильно оказана человеку первая помощь. Она в основном заключается в наложении на ухо стерильной повязки и срочной доставке пострадавшего в медицинское учреждение. Запрещается промывание или закапывание чего-либо в ушную раковину.
Если диагностические мероприятия показали, что височная кость сломана, то пациенту назначается чаще всего консервативное лечение. Однако если установлено так же сотрясение мозга или инфекционные осложнения у пострадавшего, то могут быть назначены следующие виды лечения:
- оперативное вмешательство,
- антибактериальная терапия,
- дегидратационная терапия, расширенная мастоидотомия.
Последствия переломов
Последствия после перелома зависят от степени тяжести заболевания, от его вида и месторасположения. Клинический исход может быть следующим:
- самопроизвольное излечение с небольшими остаточными явлениями,
- после травмы могут наблюдаться неврологические нарушения в виде поражения лицевых и слуховых нервов,
- если не были правильно соблюдены правила антисептического лечения и инфекция попала в головной мозг, то как вторичное инфекционное осложнение может проявиться гнойный менингит,
- могут проявиться поздние неврологические нарушения, которые являются последствиями поражения структуры головного мозга.
Воспалительные процессы
Опасны не только переломы, но и воспаление сосцевидного отростка височной кости. Анатомически он расположен внизу и сзади основной части черепа. Такое заболевание именуется мастоидитом. Последствиями его запущенности могут быть потеря слуха, абсцесс мозга и менингит.
https://youtube.com/watch?v=JCl-JsCN0hk
Вылечить мастоидит можно с помощью антибиотиков и попутным удалением гнойного содержимого под барабанной перепонкой.
Еще одним заболеванием области виска является шилоподъязычный синдром. Это когда шиловидный отросток височной кости раздражает собой расположенные вокруг него сосудистые, нервные и мышечные структуры. Сопровождается заболевание хронической болью. Лечение назначается консервативное, в редких случаях требуется хирургическое вмешательство.
Подводя итог всему выше изложенному, можно сделать вывод, что при травмах или при возникновении боли в районе уха, важно незамедлительно обратиться к врачу. Если височная кость была сломана, а помощь вовремя не оказана, то пострадавший рискует не только потерей слуха, но и возникновением серьезных инфекционных осложнений головного мозга, что может привести к летальному исходу.
Вопрос-ответ
Какова анатомия височной кости?
Височная кость — парная кость, расположенная по бокам и у основания черепа, латеральнее височной доли коры головного мозга. Височные кости прилегают к боковым частям головы, называемым висками, где соединяются четыре черепные кости. Каждый висок покрыт височной мышцей.
Каковы признаки перелома височной кости?
Клинически перелом проявляется односторонним снижением слуха, заушной гематомой, истечением крови и/или ликвора из слухового прохода. Для диагностики проводят КТ височной кости, аудиометрию, неврологический осмотр и электронейрографию.
Советы
СОВЕТ №1
При подозрении на перелом височной кости, немедленно обратитесь к врачу. Симптомы могут включать сильную боль, головокружение, потерю слуха или кровотечение из уха. Раннее обращение за медицинской помощью поможет избежать серьезных осложнений.
СОВЕТ №2
Изучите анатомию височной кости и ее функции. Понимание структуры и расположения этой кости поможет вам лучше осознать возможные последствия травм и переломов, а также важность защиты головы в повседневной жизни.
СОВЕТ №3
Если вы занимаетесь контактными видами спорта или активными хобби, используйте защитное снаряжение, такое как шлемы. Это поможет снизить риск травм и переломов височной кости, особенно в случае падений или ударов.
СОВЕТ №4
После получения травмы височной кости следуйте рекомендациям врача по реабилитации. Это может включать физиотерапию и специальные упражнения для восстановления функции слуха и равновесия, что поможет вам быстрее вернуться к нормальной жизни.

