
Именно таким стал титан (Ti). Список его преимуществ большой. Он используется во многих промышленных отраслях: автомобильной, аэрокосмической, архитектурной в изготовлении украшений. Но благодаря свойству сопротивляться коррозии его можно использовать внутри тела человека. Понятие «титановая пластина» сегодня широко известно.
Описание возможностей
Титан популярен в современной медицине: изготовление хирургических инструментов, стержней, штифтов, пластин и т.д. Титановые сплавы 6AL4V и 6AL4V ELI — это титан со сплавами 6% алюминия и 4% ванадия. Он наиболее распространен при проведении лечебных процедур, а также используется в пирсинге.
Сплавы Ti-6Al-4В и Ti-6Al-4V ELI могут выдержать большие нагрузки, потому используют при протезировании зубов. Прочность и долговременность — большие плюсы титана. Не менее 20 лет он может находиться в человеческом организме. Ну и неферромагнитность — возможность пациентам с титановыми имплантами проходить магнитно-резонансную томографию и КТ.
Этот материал популярен для замены плечевого, локтевого суставов, защите позвонков после операций на позвоночнике. Его свойство — остеоинтеграция — уникально, поскольку кости человеческого тела и ткани соединяются с искусственным имплантом.
Врачи отмечают, что титановые пластины играют ключевую роль в лечении переломов, особенно сложных и нестабильных. Титан, благодаря своей высокой прочности и легкости, обеспечивает надежную фиксацию костных фрагментов, что способствует быстрому заживлению. Специалисты подчеркивают, что использование титана минимизирует риск отторжения импланта, так как этот материал биосовместим и не вызывает аллергических реакций. Кроме того, титановые пластины не подвержены коррозии, что делает их долговечными. Врачи также отмечают, что такие пластины позволяют пациентам быстрее восстанавливаться и возвращаться к активной жизни, что особенно важно для спортсменов и людей с активной жизненной позицией.
https://youtube.com/watch?v=IYpqrAqt5Is
Применение пластин
Титановые пластины иногда становятся спасательным кругом людям с переломами костей. Особенно это касается сложных переломов, многооскольчатых. Гипсовой повязки бывает недостаточно. Именно в таких случаях современная травматология использует титановые пластины для скрепления травмированных частей. Как результат — быстрое и правильное срастание.

Основная задача — возобновить первоначальную форму кости. Сегодня титановые пластины имеют большой перечень по своей форме, размеру и модификациях.
Более того разработаны целые методики их применения. Вид зависит от места перелома и последующей функции.
Соответственно каждому участку человеческого скелета есть свой вариант и методика установки. Используется дополнительный инструментарий для оптимизации установки пластины.
Наложение титановой пластины — металлоостеосинтез — применимо при определенных показаниях:
Виды пластин
При подборе вида и методики установления титановой пластины основную роль играет место перелома. Зависимо от этого определяется размер, форма и возможность применения подобного вида лечения.
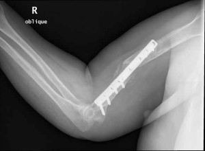
Применение титановых пластин при травмах верхних конечностей. Как правило это тыльная поверхность руки. В отличии от передней поверхности, где сосредоточены нервные окончания, мышцы и сосуды, которые можно повредить, на тыльной стороне кости размещены ближе к поверхности кожи. Это дает возможность применять установку титановой пластинки. Поскольку на передней поверхности и ладони большое количество мышц, сосудов и нервных окончаний, которые могут быть повреждены, то здесь их не ставят. А вот на тыльной стороне руки кости находятся ближе к поверхности кожи, потому возможность применения титана здесь есть.

Если пострадали локтевой, лучезапястный или плечевой сустав, используются специальные фиксаторы, пластины или анкеры, с помощью которых травмированный связки крепятся к костным образованиям. Установленная в руке пластина через год может быть удалена. Перед удалением следует убедиться в наличии костной мозоли. Титановые фиксаторы также можно оставить навсегда. В случае травмы с нарушением целостности ключицы применяют никелевые или титановые пластины, которые имеют изогнутую форму, повторяя анатомическую кривизну кости.
Титановые пластины при травмах нижних конечностей. Переломы в области бедра, коленного сустава и в других частях ноги требуют при лечении установки титановой инертной пластины. Используется она с целью крепления перелома таза, а также при травме лонной кости и при разрыве лонного симфиза. Необходимость в ее применении возникает в случае перелома подвздошной и седалищной костей. Пластины можно накладывать в области ноги, когда кости неправильно срослись или же долго не срастаются. Но прежде, чем соединять кости, необходимо удалить осколки или часть кости и мягких тканей, которые повреждены.
Если в наличии сложный перелом бедра, то используют аппарат Елизарова. Его также задействуют в случае долго не срастающихся переломов.
Специальный штифт вводится в канал кости при переломе тела бедра. Он фиксируется с помощью винтов. Для точного введения и фиксации травматолог использует прибор под названием навигатор.
Сломанную кость голени восстанавливают з помощью прямого фиксатора, в большинстве случаев изготовленного из титана. Неправильное срастание костей голени требует установки аппарата Елизарова или же титановой инертной пластины.
При переломе плюсневых костей ноги используют титановые пластинки небольших размеров. Также из применяют при ортопедических операциях для выравнивания большого пальца стопы.
Использование титановых пластин при травмах головы. Кости черепа в мозговом отделе, как правило, травмируются в результате получения прямого удара в кость (например, удар по голове тяжелым предметом). Пострадавший в итоге имеет открытые, оскольчатые или же вдавленные переломы черепа.
https://youtube.com/watch?v=fnwX4R4a7pw
Прежде всего при хирургическом вмешательстве нужно удалить осколки костей черепа, поскольку они могут травмировать оболочку и вещество головного мозга, соответственно в последствии привести к тяжелой неврологической симптоматике, могут быть нарушены жизненно важные функций организма, не исключен летальный исход. Пластина из титана закрывает дефекты костей мозгового отдела черепа, защищая таким способом головной мозг. В случае травмы черепа, титановую пластину оставляют навсегда.
Титановые пластины и винты, которые используют в нейрохирургии, очень разнообразны по своих размерах. Следует отметить, что преимуществом титанового импланта есть минимальный риск развития воспалительных процессов, а также возможность использовать их при дефекте придаточных пазух. Если травмированы кости лицевого черепа, то взамен титановым пластинкам используют специальную серкляжную проволоку.
Титановые пластины становятся все более популярными в ортопедической хирургии благодаря своим уникальным свойствам. Многие пациенты отмечают, что использование титана при переломах значительно ускоряет процесс восстановления. Это связано с тем, что титан обладает высокой прочностью и легкостью, что позволяет создавать надежные конструкции, не перегружая организм. Кроме того, титан не вызывает аллергических реакций и хорошо совместим с человеческими тканями, что снижает риск отторжения импланта.
Врачи подчеркивают, что титановые пластины помогают обеспечить стабильность перелома, что особенно важно для правильного сращивания костей. Многие пациенты отмечают, что после операции с использованием титана они могут быстрее вернуться к привычной активности. Однако, как и в любом медицинском вмешательстве, важно учитывать индивидуальные особенности организма и следовать рекомендациям врача.
https://youtube.com/watch?v=8SlzNxzqA8c
Реабилитация
Чтобы избежать ненужных последствий, при наличии титановой пластины в черепе, ноге, руке или спине необходимо надлежащее внимание уделить реабилитации больного. Для этого требуется около месяца, иногда больше. Проводить ее необходимо вовремя и в полном объеме.
Желание пациента восстановить предыдущее состояние играет немаловажную роль. Плохо проведенная реабилитация может свести на нет все результаты операции. Врач-реабилитолог подготовит для каждого вида травмы соответствующие упражнения. Со стороны пациента они требуют немалых усилий.
Снимать или не снимать

Необходимость удаления титановых пластинок после восстановительного периода — вопрос, который волнует многих. Прежде всего останавливает необходимость повторной операции. Следует все же учесть, что это инородное тело в организме человека, и в последствии оно может быть отторгнуто. Наличие хорошей костной мозоли и отсутствие противопоказаний для повторной операции говорит об удалении пластинки. А время, когда это делать, должен определить травматолог с пациентом индивидуально.
Если пластинка поставлена человеку пожилого возраста и в наличии признаки остеопороза, то после срастания кости ее не убирают.
Сильный, легкий, устойчивый к коррозии, экономичный, нетоксичный, биосовместимый, долговечный, остеоинтегрированный, гибкий и эластичный. Сегодня медицина выбрала титан. Именно с его помощью сегодня можно продлить активную жизнь и избежать инвалидности. Однако, не зависимо от возможностей современной медицины, последствия каждой травмы рано или поздно дают о себе знать, потому всегда надо учитывать свои физические возможности и быть внимательным к своему организму.
Вопрос-ответ
В каком случае ставят титановую пластину?
Сложные травмы с множеством осколков можно лечить, только зафиксировав отломки титановой пластиной. Такая операция позволяет сократить восстановительный период. Надежная стабилизация костей фиксаторами создает благоприятные условия для заживления. Титановые устройства позволяют раньше начать реабилитационный период.
Сколько времени требуется титановой пластине для заживления перелома кости?
Восстановление обычно занимает от 4 до 6 месяцев. Длительность восстановления зависит от тяжести перелома, наличия и степени выраженности повреждений кожи. Скорость восстановления также зависит от того, были ли повреждены нервы и кровеносные сосуды, и какое лечение было проведено.
Как долго срастаются кости с пластиной?
Условные сроки срастания костей: ключица, предплечье, малоберцовая кость, кости кисти (кроме запястья) и стопы (кроме предплюсны) – должны срастаться в среднем в течение 4-6 недель. Плечевая кость: 2-2,5 месяца. Большеберцовая кость, ладьевидная, таранная, пяточная – 3-4 месяца.
Зачем ставят пластину при переломе?
Пластина используется при переломе голени и лодыжки, когда есть необходимость фиксации отломков кости. Ее удаление происходит в плановом порядке. Время проведения операции определяет врач. Внутрикостными стержнями (штифтами) фиксируют трубчатые кости – например, при переломе ключицы или ноги.
Советы
СОВЕТ №1
Перед операцией обсудите с врачом все возможные варианты лечения и применения титана. Убедитесь, что вы понимаете, почему именно титановые пластины рекомендованы в вашем случае, и какие преимущества они могут предоставить.
СОВЕТ №2
После установки титановый пластин следуйте всем рекомендациям врача по реабилитации. Это включает в себя ограничения в физической активности и регулярные контрольные осмотры, чтобы убедиться, что процесс заживления идет правильно.
СОВЕТ №3
Обратите внимание на возможные аллергические реакции. Хотя титан считается гипоаллергенным материалом, у некоторых людей могут возникнуть индивидуальные реакции. Сообщите врачу о любых необычных симптомах после операции.
СОВЕТ №4
Изучите информацию о долгосрочных перспективах использования титана в вашем организме. Понимание того, как титановые пластины могут повлиять на вашу жизнь в будущем, поможет вам лучше подготовиться к восстановлению и адаптации.

