
Хронический остеомиелит считается рецидивирующим заболеванием. Оно развивается из-за того, что лечение острой формы не принесло результатов. Стоит вспомнить, что остеомиелит является воспалением костного мозга, характеризующееся поражением всех элементов, из которых состоит кость – компактное и губчатое вещество, надкостница. Чаще всего поражение касается костей голени, плечевой и бедренной кости, верхней челюсти и нижнечелюстных суставов и позвонков. Хроническую форму заболевание приобретает тогда, когда нарастают продуктивные и резорбтивные изменения спустя два или три месяца после того, как начался острый процесс.
Причины
Некоторые специалисты выделяют не только острую и хроническую стадию остеомиелита, но еще и подострую форму. Острый период длится около месяца, затем короткое время действует подострый тип заболевания. При хронической форме наблюдаются секвестры, которые выявляются в конце четвертой недели, происходит их отторжение и формирование свищей.
Есть мнение, что выраженная деструкция костной ткани не всегда говорит о хронической форме. Например, так нельзя утверждать в том случае, если при одонтогенном остеомиелите костные секвестры прекращают формироваться через месяц в верхней челюсти и альвеолярной области нижней челюсти.
Некоторое время велось наблюдение за детьми, у которых начала развиваться ранняя стадия заболевания. В итоге была выявлена подострая стадия заболевания, которая наступала после того, как стихали выраженные воспаления. Обычно это происходило после двух недель от начала остеомиелита. При этом состояние пациента улучшалось, его температура снижалась до субфебрильной, а процесс воспаления в очаге стихал. Если проследить развитие этой стадии рентгенологическим путем, наблюдается нарастание деструктивных костных процессов. Лабораторные показатели отражают острый воспалительный процесс. Длительность подострой стадии колеблется от трех до шести недель. Ее продолжительность зависит от нескольких факторов, среди которых главная роль отведена проводимой терапии.

- несвоевременное удаление зуба, который является источником инфекции:
- неполная хирургическая помощь,
- запоздалое обращение за помощью,
- позднее выявления возбудителя.
Среди всех причин хронической формы следует выделить несколько основных и часто встречающихся.
- позднее лечение острой формы,
- неправильное лечение антибиотиками,
- неполное дренирование гнойного очага,
- ошибка хирурга в процессе операции.
Врачи отмечают, что хронический остеомиелит может проявляться в различных формах, включая остеомиелит, вызванный инфекцией, и посттравматический остеомиелит. Симптомы заболевания часто включают постоянную боль в области пораженной кости, отек, покраснение и иногда выделение гноя. Важно, что у пациентов может наблюдаться обострение симптомов, что требует своевременного вмешательства. Лечение хронического остеомиелита обычно комплексное и включает антибиотикотерапию, хирургическое вмешательство для удаления некротических тканей и восстановление кровообращения в области поражения. Врачи подчеркивают, что ранняя диагностика и адекватное лечение играют ключевую роль в предотвращении осложнений и улучшении качества жизни пациентов.
https://youtube.com/watch?v=JB9JBMoD2Nk
Симптомы
Микробы достигают костной части через гематогенный путь, из соседнего инфицированного очага или из раны. Часто поражаются кости ног, особенно большеберцовая часть. Поражению часто подвергаются позвонки, бедренная и плечевая кости. Есть три обособленный формы хронического остеомиелита.
- Вторичная хроническая форма.
- Атипичная форма.
- Хроническая форма, развивающаяся после травм и огнестрельных ранений.

Признаки вторичной хронической формы зависят от объема костной деструкции, свища и осложнений. Половина больных жалуется на неопределенные боли в конечности или спине. В течение двух месяцев наблюдается минимальная лихорадка или ее может не быть вообще. Дети могут испытывать острую лихорадку, заторможенность, раздражительность, местное воспаление. Обычно это продолжается три недели.
При физикальном обследовании выявляется болезненность, свищ и мышечный спазм. Острая форма переходит в хроническую из-за продолжающегося некроза инфицированного участка компактного или губчатого костного слоя. Секвестр, который образуется в результате происходящих процессов, поддерживает реактивное воспаление костной ткани, находящейся рядом. Регенеративные процессы развиваются слабо. Это вызвано плохим питанием надкостницы и кости. Клинические симптомы при хронической форме выражены не сильно. Они усиливаются в период обострения. Зачастую это происходит при ослабленной сопротивляемости организма.
Если нет периода обострения, человек чувствует себя удовлетворительно. Иногда при изменении погодных условий или после нагрузки физического плана пациент может ощущать ноющие боли. Если начинается период обострения, боли принимают выраженный характер. Наблюдаются следующие симптомы:
- повышенная температура,
- краснота и отек в области рубцов,
- нарушается функция пораженной конечности,
- выделяется гной из свищей,
- присутствуют признаки интоксикации организма.
Периоды обострения и ремиссии чередуются. Постоянное наличие гнойного очага становится причиной развития дистрофических изменений в печени, почках и миокарде. Развивается амилоидоз внутренних органов.
Одонтогенный хронический остеомиелит имеет свои симптомы. Самочувствие детей удовлетворительное. Наблюдаются признаки хронической интоксикации:
- нарушение сна,
- снижение аппетита,
- бледность кожи,
- апатичность и вялость.

Этот процесс может обостряться. В таком случае ребенок жалуется на болезненные ощущения в челюстной области и припухлость. Появляются свищи. В окружающих тканях может образоваться абсцесс и флегмона. В период ремиссии немного увеличены регионарные лимфоузлы. Они становятся менее подвижными и болезненными при пальпации. Могут погибнуть значительные костные участки. Зоны активного челюстного роста могут повредиться. У третей части пациентов происходит секвестрация, а также патологические переломы отростка мыщелка. Впоследствии это приводит к деформации системы зубов и челюсти. Обычно такие осложнения наблюдаются до семилетнего возраста.
Диагностика

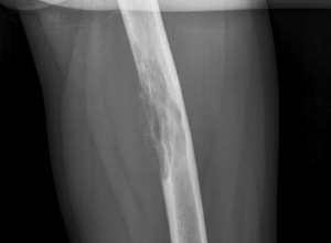
Рентгенологическое исследование является главным методом, который позволяет определить протяженность и локализацию пораженного очага. С помощью рентгена можно установить патологоанатомические изменения. Большую ценность представляет и томография. Всем пациентам, у которых выявлена свищевая форма заболевания, делают фистулографию. Этот метод основан на введении рентгеноконтрастного вещества в пораженную костную полость через свищевой ход. Затем выполняется рентгенография в двух проекциях. Точная пораженная зона определяется с помощью радиоактивного сканирования, при котором применяется радиоактивный технеций. С помощью этого можно решить вопрос об операции.
Иногда в процессе диагностики возникают трудности с тем, как отличить хронический остеомиелит от туберкулеза кости.
В этом помогают некоторые рентгенологические признаки.
- При туберкулезе процесс локализуется в эпифизах трубчатых костей, а также тел позвонков.
- При туберкулезе со стороны периоста отсутствует продуктивная реакция, наблюдается остеопороз с небольшими секвестрами.
- При остеомиелите остеопороз чередуется с явлениями остеосклероза.
Хронический остеомиелит — это воспалительное заболевание костной ткани, которое может развиваться после перенесенных травм или инфекций. Люди, страдающие от этой болезни, часто описывают свои симптомы как постоянные боли в области пораженной кости, отечность и покраснение кожи. Некоторые отмечают, что в период обострения наблюдаются общие симптомы, такие как лихорадка и слабость. Лечение хронического остеомиелита может быть сложным и многоэтапным. В большинстве случаев требуется комбинированный подход, включающий антибиотикотерапию и хирургическое вмешательство для удаления некротических тканей. Многие пациенты подчеркивают важность ранней диагностики и регулярного наблюдения у врача, чтобы избежать серьезных осложнений и улучшить качество жизни.
https://youtube.com/watch?v=p4sMEUVo1Fg
Лечение
Проводится комплексное лечение заболевания. Его объем зависит от характера патологического процесса, наличия возможных осложнений и других факторов. Именно поэтому перед тем как приступить к лечению, необходимо пройти тщательную диагностику. Если необходимо, проводится иммобилизация конечности, а затем начинается симптоматическая терапия. Во время обострения делают декомпрессию внутрикостного гнойника с помощью катетеров. Кроме того, применяется антибактериальная терапия, дренирование нагноившихся мет и санация свищей.

Хирургическая операция назначается в том случае, если у пациента есть свищи и секвестры, а также остеомиелитические полости и язвы в костях. Оперативное вмешательство проводится также в следующих случаях:
- морфологические изменения в паренхиматозных органах,
- частые рецидивы заболевания,
- нарушения функции опорного аппарата,
- ложные суставы и малигнизация,
- остеомиелитические полости и язвы.
Во время операции удаляются все некротизированные ткани. Пораженный сегмент промывается антисептиками, а также обрабатывается лазером. Также проводится костная пластика, направленная на остаточные полости.
Хирургическая операция не проводится в том случае, если пациент имеет почечную недостаточность, которая протекает на почве амилоидоза. Противопоказанием является также декомпенсация сердечно-сосудистой и дыхательной системы.
Лечение хронического остеомиелита основано на использовании радикальной некрэктомии. Ее суть заключается в полной ликвидации гнойного хронического очага, который находится в пораженной кости и мягких тканях, окружающих ее. После того как удалили секвестры, вскрыли патологические полости и иссекли гнойные свищи, выполняется санация пластика. Есть несколько видов пластики.
- хондропластика.
- пластика на основе мышечного лоскута на ножке.
- костная пластика — в этом случае применяется аутогенная и консервированная костная ткань.
- кожная пластика.
Биополимерными материалами являются соответствующие пломбы, применяемые с антисептиками, клеевые композиции и коллагеновая губка, которая пропитана антибактериальными средствами. Важным моментом является промывное активное дренирование и вакуумирование. Часто их используют вместе. Отводящий дренаж присоединяется к отсосу, костная полость промывается через приводящий дренаж. Промывная санация делается на протяжении 7 или 14 дней, при этом используются антисептические растворы.
https://youtube.com/watch?v=qScRwkgag_E
После операции очень важно подавить остаточную микрофлору антибактериальной и иммунотерапией. Также используется местное лечение в виде электрофореза, физиопроцедур, и лекарственных препаратов. Полезно применять лечебную физкультуру.
Последствия

Остеомиелит является тяжелой патологией. Она поддается лечению трудно. Для детей самыми тяжелыми последствиями является замедление костного роста и патологические переломы, которые происходят часто.
Острый гематогенный остеомиелит может приводить к отдаленному метастазированию в мягкие ткани и органы. Если есть крупные секвестры, гнойный процесс способен наблюдаться несколько лет, из-за чего развивается амилоидоз паренхиматозных тканей и органов. Если формируется эпифизарный остеомиелит, нарушается костный рост в длину. Может произойти патологический вывих бедра.
Фиброзная дисплазия – очень тяжелое последствие остеомиелита. Это значит, что развивается порок костного развития, который напоминает опухоль. При этом костная ткань на некоторых участках перерождается в рубцовую. Гной может распространиться за костные пределы. Гной может прорваться в сустав, поэтому зачастую происходит заражение крови.
При развитии заболевания иммунная система организма перестает хорошо работать. Длительный хронический процесс приводит к поражению почек, печени и щитовидной железы. Из-за неадекватного лечения может произойти необратимое нарушение функций органов, развитие почечной недостаточности и летальный исход. Острые и хронические остеомиелиты сильно влияют на качество жизни человека.
Профилактика
Для того чтобы предотвратить развитие патологического процесса, следует своевременно устранять очаги воспаления. Необходимо следить за тем, чтобы иммунитет хорошо работал. Пациент должен питаться сбалансировано. Никогда нельзя забывать о гигиене. Все раны должны обрабатываться по всем правилам антисептики и септики. Это поможет не допустить развитие хронического посттравматического остеомиелита.
Своевременное лечение способно защитить человека от многих последствий. Поэтому не нужно откладывать поход к врачу, если есть хоть какие-то симптомы остеомиелита. Это убережет от осложнений и, возможно, спасет жизнь.
Вопрос-ответ
Каковы первично-хронические формы остеомиелита?
Первично-хронические (атипичные) формы остеомиелита развиваются в основном в результате действия резко ослабленной микрофлоры (например, длительным приемом антибиотиков по поводу какой-либо инфекции) при сохранившейся достаточной сопротивляемости организма.
Для продуктивной формы хронического остеомиелита характерно?
Для продуктивной формы характерно отсутствие секвестров и увеличение костной ткани в зоне воспаления. Встречается только при остеомиелите нижней челюсти.
Основной рентгенологический признак хронического остеомиелита?
Хронический остеомиелит на рентгенограммах проявляется гиперостозом (и, как следствие, деформацией кости), очагами деструкции кости, окружёнными зоной склероза, секвестрами, остеопорозом. Фистулографию используют для диагностики свищей между полостями деструкции и мягкими тканями.
Советы
СОВЕТ №1
Регулярно проходите медицинские обследования, особенно если у вас есть предрасположенность к инфекционным заболеваниям или травмам. Раннее выявление остеомиелита может значительно улучшить прогноз и облегчить лечение.
СОВЕТ №2
Обратите внимание на симптомы, такие как постоянная боль в области кости, отек, покраснение и повышение температуры. Если вы заметили эти признаки, немедленно обратитесь к врачу для диагностики и назначения лечения.
СОВЕТ №3
Следуйте рекомендациям врача по лечению, включая прием антибиотиков и соблюдение режима физической активности. Не прерывайте курс лечения самостоятельно, даже если симптомы исчезли, чтобы избежать рецидива заболевания.
СОВЕТ №4
Поддерживайте здоровый образ жизни, включая сбалансированное питание и регулярные физические нагрузки. Это поможет укрепить иммунную систему и снизить риск развития остеомиелита и других инфекционных заболеваний.

