Практически у трети детей, посещающих детские сад или школу, периодически наблюдается глистная инвазия. Одним из наиболее распространенных паразитарных заболеваний является лямблиоз.
Лямблии: что они из себя представляют?

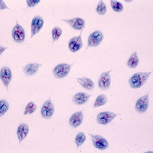
Простейший организм рода жгутиковых – лямблия, характеризуется наличием неподвижной формы жизни, когда гельминт представлен в виде цисты, и подвижной – вегетативной, полностью готовой к размножению. Именно последняя форма паразитирует в тонком кишечнике ребенка. Грушевидное тело лямблии оснащено 4-мя парами жгутиков, благодаря которым оно быстро передвигается, и дисковидной присоской – для закрепления на слизистой кишечника.
При попадании в неблагоприятные для жизни условия толстого кишечника, лямблия превращается в неподвижную цисту овалоподобной формы, которая покрыта прочной оболочкой. В таком виде лямблия выводится из организма человека вместе с калом. Попав во внешнюю среду (в грунт, песок, сточные воды, водоемы), паразит сохраняет способность к жизни в течение 3-х месяцев, причем, не погибает даже в холодной воде либо под прямыми лучами жаркого солнца.
Врачи отмечают, что лямблиоз у детей часто проявляется разнообразными симптомами, такими как боли в животе, диарея, тошнота и общая слабость. Эти проявления могут быть не специфичными, что затрудняет диагностику. Важно, чтобы родители обращали внимание на изменения в состоянии ребенка и не откладывали визит к врачу. Лечение лямблиоза обычно включает применение антипаразитарных препаратов, таких как метронидазол или нидазол, которые эффективно борются с инфекцией. Однако врачи подчеркивают, что наряду с медикаментозной терапией необходимо соблюдать диету и восстанавливать микрофлору кишечника. Регулярные обследования и контроль за состоянием здоровья ребенка также играют ключевую роль в успешном лечении и предотвращении рецидивов.
https://youtube.com/watch?v=BIFFVOsKa4I
Способы заражения лямблиями

При проникновении в кишечный тракт, циста высвобождается от оболочки, растет и размножается, употребляя в это время питательные вещества, которые высасывает из стенок кишечника. Таким образом, организм малыша недополучает витаминов, минералов и микроэлементов, что отрицательно сказывается на психическом и физическом развитии ребенка. Кроме того, продукты жизнедеятельности лямблий вызывают токсическое отравление всех органов и систем.
Симптомы лямблиоза

Заболевание может протекать в бессимптомной форме – при наличии хорошего иммунитета, острой – что и бывает обычно, и хронической – если лечение лямблиоза у детей было завершено раньше положенного срока и некоторое количество простейших осталось в живых.
Симптомы острого лямблиоза:
Зачастую такие нарушения здоровья принимаются родителями и педиатром, как расстройство пищеварения, что ведет к дальнейшему развитию болезни с переходом в хроническую стадию.

Последующее течение лямблиоза характеризуется следующими симптомами:
В этот период особенно важно распознать симптомы лямблиоза у детей и начать лечение, так как справиться с заболеванием в запущенной форме довольно сложно.
Лямблиоз у детей — это инфекционное заболевание, вызванное простейшими организмами, которые поражают кишечник. Родители часто отмечают, что симптомы могут быть разнообразными: от диареи и болей в животе до усталости и потери аппетита. Важно помнить, что у некоторых детей заболевание может протекать бессимптомно, что затрудняет его диагностику.
Лечение лямблиоза обычно включает применение антипаразитарных препаратов, таких как метронидазол или нидазол. Однако, помимо медикаментов, важно обратить внимание на диету и восстановление микрофлоры кишечника. Многие специалисты рекомендуют включать в рацион пробиотики и продукты, богатые клетчаткой. Родители также подчеркивают важность профилактики: соблюдение гигиенических норм и контроль за качеством воды могут значительно снизить риск заражения.
https://youtube.com/watch?v=2Pr7BOaWZF4
Методы диагностирования лямблиоза

Если наличие паразитарной инвазии подтверждается, то врач разрабатывает схему лечения, особенности которой зависят от формы и симптоматики заболевания, возраста и веса ребенка, его самочувствия.
Терапия лямблиоза
Схема лечение включает в себя несколько этапов, каждый из которых направлен на удаление лямблий из организма без вреда для ребенка.
Подготовительный этап
На первом этапе пациента подготавливают к приему химически активных препаратов для уничтожения лямблий, а также устраняют токсикоз и создают такую среду, в которой размножение глистов было бы приостановлено.
Диета:
В рацион включаются нежирные сорта мяса и рыбы, свежевыжатые соки, каши и супы на воде, морсы, отрубной либо цельнозернистый хлеб, допускается в небольшом количестве мармелад, мед и пастила, компоты без сахара. Такая диета соблюдается на всех трех этапах лечения.
В обязательном порядке принимаются адсорбенты – Энтеросгель, Сорбекс, Смекта, активированный или Белый уголь, желчегонные средства – Фламин или Аллохол, ферменты – Фестал или Мезим.
Подготовительный этап начинается за 5 – 30 дней до начала лечения.
Основной этап
Второй этап занимает от 7 до 10 дней и включает прием противоглистных средств, негативно воздействующих на гельминтов, а также препаратов для защиты от токсинов и предупреждающих развитие аллергических реакций.

Антигельминтные препараты:
Кроме того, ребенку назначается прием антиаллергенных препаратов – Алерзина или Лоратадина, противолямблиозного средства – Энтерол, желчегонных – Фламин и спазмолитиков – Но-шпа.
Восстановительный этап
На третьем этапе назначаются средства для восстановления иммунитета и ЖКТ, устранения побочных явлений, возникших вследствие приема противопротозойных препаратов. Здесь рекомендуются витаминные комплексы – Бион 3 или Стимбифид, сорбенты – Фильтрум или Лактофильтрум, иммуномодуляторы – настойка элеутерококка или Эхинацея.
На время каждого этапа ребенок находится под контролем родителей и врача.
Народные средства для лечения лямблиоза

Народные рецепты противоглистной терапии являются всего лишь дополнительными к аптечным препаратам. Не рекомендуется применять их для детей до 6 лет, но и в этом случае необходима консультация лечащего врача.
https://youtube.com/watch?v=MKmYx4Z4hdI
Вопрос-ответ
Какие основные симптомы лямблиоза у детей?
Симптомы лямблиоза у детей могут варьироваться, но наиболее распространенные включают диарею, боли в животе, тошноту, потерю аппетита и усталость. У некоторых детей могут наблюдаться аллергические реакции, такие как сыпь. Важно отметить, что у некоторых детей заболевание может протекать бессимптомно.
Как проводится диагностика лямблиоза у детей?
Диагностика лямблиоза обычно включает анализ кала на наличие цист лямблий. Врач может также назначить серологические тесты для выявления антител к паразиту. Важно обратиться к врачу для получения точного диагноза и назначения соответствующего лечения.
Какие методы лечения применяются при лямблиозе?
Лечение лямблиоза у детей обычно включает применение противопротозойных препаратов, таких как метронидазол или нидазол. Кроме того, важно обеспечить ребенку достаточное количество жидкости и сбалансированное питание для восстановления сил. Врач может также рекомендовать пробиотики для восстановления нормальной микрофлоры кишечника.
Советы
СОВЕТ №1
Обратите внимание на симптомы: Лямблиоз может проявляться различными симптомами, такими как боли в животе, диарея, тошнота и потеря аппетита. Если вы заметили у ребенка подобные признаки, не откладывайте визит к врачу для диагностики и назначения лечения.
СОВЕТ №2
Соблюдайте гигиену: Профилактика лямблиоза включает в себя соблюдение правил личной гигиены. Обучите ребенка мыть руки перед едой и после посещения туалета, а также избегать питья некипяченой воды и употребления сырых продуктов из ненадежных источников.
СОВЕТ №3
Следите за режимом питания: Во время лечения лямблиоза важно обеспечить ребенку сбалансированное питание, богатое витаминами и минералами. Избегайте жирной и тяжелой пищи, чтобы не нагружать желудочно-кишечный тракт.
СОВЕТ №4
Регулярно проходите обследования: Если ваш ребенок подвержен риску заражения лямблиозом (например, посещает детский сад или часто контактирует с другими детьми), регулярно проводите обследования на наличие паразитов, чтобы своевременно выявить и устранить проблему.

