
В первом случае, когда смещение костных отломков превышает треть диаметра кости, нужна операция. Если это упустить из виду, могут быть последствия, например, образование ложного сустава или развитие замедленной консолидации. В связи с этим процесс костного сращения играет очень важную роль в лечении и каждый пациент, которому назначается эта операция, должен это понимать. Любой перелом лечится в согласии со следующими принципами:
- сопоставление кости,
- фиксация костных отломков или их удержание на нужном месте,
- назначение лекарственных препаратов и процедур, которые способствуют консолидации или формированию костной мозоли.
Есть несколько способов проведения операции по сращению кости и каждый из них имеет свои особенности. Сначала следует рассмотреть главные из них – открытая и закрытая операция.
Открытый и закрытый способ
Закрытая репозиция применяется в том случае, если в области перелома нет открытых ран, то есть кожные покровы остались целыми. Если линия слома не усложненная или перелом поперечный, операция осуществляется вручную.
Сначала конечность вытягивается. Хирург, который является травматологом, вместе со своим помощником раздвигает костные отломки до тех пор, пока между ними не образуется расстояние, которое позволит ловкими пальцами сделать ось травмированной кости ровной. При этом помощник должен держать конечность в суставе выше того места, где располагается перелом, благодаря чему создается эффект противоположного вытяжения.
После того, как нужное расстояние достигнуто, с помощью аккуратной пальпации врач прокручивает по оси часть конечности, пока костные фрагменты не сопоставятся так, как необходимо. Именно так смещение прекращает существовать, но такой положительный эффект может быть лишь временным.
https://youtube.com/watch?v=a4Amb20e3jo
Это связано с тем, что закрытая операция, которую скорее можно назвать процедурой, не дает возможности поставить специальные фиксаторы на кости, то есть невозможно провести остеосинтез. Поэтому зачастую происходит вторичное смещение, для исправления которого требуется уже более серьезное вмешательство, то есть настоящая операция. Обычно такая репозиция костей показана при следующих переломах:
- костей плеча,
- кисти,
- предплечья,
- носа,
- голени,
- стопы.
К закрытой репозиции перелома причисляется скелетное вытяжение, используемое при повреждениях костей голени или бедренной кости, травмах плеча, пальцевых фаланг и предплечья. Скелетное вытяжение – это установка конечности на шину, после чего кость продевается спицей, которая фиксируется скобой.
Открытая репозиция применяется в случае нарушения кожных покровов. Это главное показание. Другой диагноз, при котором назначается данный метод лечения, — невправляемый, множественный перелом. Это связано с тем, что при наличии множественных обломков сопоставить их не получится, если не оголить костную ткань. Когда какой-то костный фрагмент прикреплен к мышцам, закрытое вмешательство бессмысленно, потому что, как только мышца начинает напрягаться, обломок сдвигается заново. Именно поэтому требуется более серьезная операция.

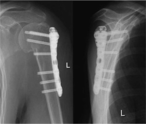
Открытое совмещение имеет важное преимущество. В отличие от следующего метода можно поставить фиксатор из металла. Это называется остеосинтезом. Для его выполнения может использоваться много устройств, например, винты, спицы и так далее.
Хорошую репутацию заслужил аппарат Илизарова, который состоит из четырех колец наружной фиксации. Они удерживаются на спицах, пронизывающих костные обломки. Особенность этого аппарата в том, что кость удлиняется, а размер порой достигает четырнадцати сантиметров. Кроме того, после использования аппарата пациент может сразу двигать конечностью и даже ступать на травмированную ногу.
Конечно, недостатки есть у каждого метода лечения. При использовании остеосинтеза металл проникает прямо в кость, поэтому может случиться заражение, что приводит к развитию остеомиелита. Все же преимущества более существенные, тем более их гораздо больше. Среди них:
- уверенная фиксация,
- пациент может ходить чрез три дня после операции,
- фиксация костных отломков удерживается в течение тридцати дней, пока не произойдет полная консолидация, поэтому пациент может жить нормальной жизнью.
Ручная репозиция костных отломков и иммобилизация гипсовой повязкой имеет некоторые особенности. После того, как изучены рентгенограммы и определяется смещение отломков, выполняется репонированием их давлением, после чего опять проводят рентгенологическое исследование.
Если совмещение произошло не до конца, осуществляется ручное вмешательство, иммобилизация и опять проводится рентгенологическое исследование. Натяжение в процессе вмешательства должно быть размеренным и осторожным, не должно быть каких-либо порывистых движений. Но если травмы эпифиза длинных костей, приходится использовать большую силу.

Если происходит травма длинных костей и смещение, когда конец одного отломка находится на другом, требуется вытяжение. Ошибка, которая может быть допущена — слишком короткое вытяжение. Большая часть переломов обладает неправильной формой и несколько выступов, которые не позволяют отломкам встать в нужное положение. Следует немного перетянуть конечность, чтобы нарушить это сцепление, поэтому необходимо выполнять постоянное натяжение в течение пяти или десяти минут.
Врачи отмечают, что репозиция костных отломков является ключевым этапом в лечении переломов. Существует несколько методов, каждый из которых имеет свои особенности и показания. Открытая репозиция, как правило, применяется при сложных переломах, когда необходимо визуально оценить и восстановить анатомическую целостность кости. В то же время, закрытая репозиция, выполняемая без хирургического вмешательства, часто используется при стабильных переломах, что позволяет избежать дополнительных травм.
Специалисты подчеркивают важность точной диагностики и выбора метода в зависимости от типа и локализации перелома. Современные технологии, такие как использование рентгеновского контроля, значительно повышают эффективность репозиции. Врачи также акцентируют внимание на необходимости последующей реабилитации, которая играет важную роль в восстановлении функции конечности и предотвращении осложнений. Правильный подход к репозиции и реабилитации способствует более быстрому и успешному восстановлению пациентов.
Методы и особенности репозиции костных отломков вызывают множество обсуждений среди медицинских специалистов и пациентов. Врачи отмечают, что правильная репозиция является ключевым этапом в лечении переломов, так как она обеспечивает правильное срастание костей и минимизирует риск осложнений. Многие хирурги предпочитают использовать минимально инвазивные техники, которые позволяют сократить время восстановления и снизить болевые ощущения у пациентов.
С другой стороны, пациенты часто выражают опасения по поводу возможных последствий хирургического вмешательства. Они хотят знать, как быстро смогут вернуться к привычной жизни и какие реабилитационные меры понадобятся. Важно, чтобы врачи уделяли внимание не только техническим аспектам, но и эмоциональному состоянию пациентов, объясняя все этапы лечения и отвечая на их вопросы. Таким образом, открытое общение между врачом и пациентом способствует более успешному исходу лечения и повышает доверие к медицинским методам.
https://youtube.com/watch?v=KbPbc83ndqs
Особенности вмешательства
Репозиция отломков должна проходить безупречно. Все же маленькое нарушение точности не окажет серьезного влияния при травмах диафизов длинных костей, особенно, если пациентом является ребенок. Смещения под углом не позволительны даже при детских переломах.
Вмешательство осуществляется в течение первых дней после травмы. Вывихи вправляются сразу же, потому что пациент испытывает сильные боли. В случае с переломами не обязательно соблюдать такую срочность. Возможно, вмешательство производится через два часа, перед тем, как развивается отечность, но при этом не должна быть наложена очень тугая повязка из гипса, иначе будет нарушено кровообращение, если конечность начнет отекать. Круговые бинты могут быть наложены на следующий день.
Однако важно учитывать, что если повязку из гипса наложить через двенадцать часов после перелома при отечности, то гипс, даже когда он наложен туго, может стать свободным и ожидаемого результата не будет.
Главное, чтобы вмешательством занимался квалифицированный специалист. Важно понимать, что зачастую согласие на это является единственным шансом вновь стать активным человеком и забыть о переломе. Народные методы не помогут срастись отломкам, именно такие процедуры и операции позволяют избавиться от последствий.
Вопрос-ответ
https://youtube.com/watch?v=fLPXlHzJRFA
Какие основные методы репозиции костных отломков существуют?
Существует несколько основных методов репозиции костных отломков, включая закрытую репозицию, при которой отломки возвращаются в правильное положение без хирургического вмешательства, и открытую репозицию, требующую хирургического доступа для прямого манипулирования отломками. Также применяются методы остеосинтеза, такие как использование металлических пластин и винтов для фиксации отломков.
Каковы особенности репозиции при различных типах переломов?
Особенности репозиции зависят от типа перелома. Например, при спонтанных переломах может быть достаточно закрытой репозиции, тогда как при сложных переломах с множественными отломками может потребоваться открытая репозиция и более сложные методы фиксации. Также важно учитывать возраст пациента и общее состояние здоровья, так как это может повлиять на выбор метода.
Каковы возможные осложнения после репозиции костных отломков?
После репозиции костных отломков возможны различные осложнения, такие как инфекция в области операции, неправильное сращение костей, а также повреждение окружающих тканей и нервов. Важно тщательно следить за процессом восстановления и при необходимости проводить дополнительные вмешательства для коррекции ситуации.
Советы
СОВЕТ №1
Перед проведением репозиции костных отломков обязательно проведите полное обследование пациента, включая рентгенографию и, при необходимости, КТ. Это поможет точно определить местоположение отломков и выбрать оптимальный метод репозиции.
СОВЕТ №2
При выборе метода репозиции учитывайте не только тип и локализацию перелома, но и возраст пациента, наличие сопутствующих заболеваний и общее состояние здоровья. Это поможет снизить риск осложнений и обеспечить более быстрое восстановление.
СОВЕТ №3
Обратите внимание на использование современных технологий, таких как минимально инвазивные методы и эндоскопические техники. Они могут значительно уменьшить травматичность операции и ускорить процесс реабилитации пациента.
СОВЕТ №4
Не забывайте о важности постоперационного наблюдения и реабилитации. Правильная физическая терапия и контроль за процессом заживления помогут избежать повторных травм и улучшить функциональные результаты.

