
Причины
При переломе оскольчатого типа образуется более двух отломков. В большинстве случаев причиной его возникновения является воздействие по оси, но иногда травма происходит в результате перпендикулярного приложения силы.
Безусловно, в жизни человека много ситуаций, в результате которых он может получить такой перелом. Падение с высоты, дорожно-транспортное происшествие, сдавление тяжелым предметом – эти и другие ситуации могут привести к сложному повреждению костей. Многое зависит от их прочности. Пожилые люди и дети находятся в группе риска. У детей кости еще не окрепли, поэтому даже незначительное воздействие на них может привести к травме с костными отломками. Но у детей лечение проходит гораздо эффективнее с минимальным количеством последствий, а иногда без них. Другое дело – пожилые люди, кости которых истощены из-за возрастных изменений и других факторов. Переломы с костными отломками в пожилом возрасте, особенно, если этому подвергаются бедренные кости, — это всегда серьезно. Это может приковать их к постели и даже привести к смерти.
Еще одна группа риска – люди, которые имеют заболевания костей. Одним из серьезных заболеваний является остеомиелит, при котором происходит воспаление костного мозга. Это заболевание так сильно ослабляет кости, что даже незначительное воздействие на них способно привести к осколочной травме, не говоря уже о более серьезном влиянии на них.
Существуют разные виды осколочных травм:
- Перелом со смещением. Обычно так и происходит при осколочных травмах, что вполне логично: образовавшиеся костные отломки смещаются. Есть полное и неполное смещение. В первом случае отломки не связаны между собой, они отсоединены. Опасность заключается в том, что осколки способны повредить лежащие рядом нервы, органы, ткани и сосуды. К примеру, если произошло смещение осколка в сторону легкого, оно может травмироваться, в результате чего пострадавший начинает кашлять или ощущать при вдохе боль. Во втором случае отломки удерживаются надкостницей. Степень тяжести смещения также зависит от того, как случилась травма, т.е. как переломана кость – по оси, продольна или смещена в бок.
- Открытый перелом. Такая травма в сочетании с осколками является очень серьезным повреждением. Один или несколько отломков сообщаются с внешней средой. Это может сопровождаться большой кровопотерей, занесением инфекции, болевым шоком. При отсутствии неотложной помощи такая травма является прямой угрозой жизни пострадавшего.
-
Закрытый перелом с осколками. Такая травма встречается чаще, чем открытое повреждение, поэтому угроза развития осложнений гораздо меньше, так как нет повреждений кожных покровов.
Многооскольчатый перелом, т.е. когда образуется много костных отломков, может произойти в любой части тела, в связи с чем, целесообразно выделить две большие группы таких травм:
- осколочные травмы плечевого пояса и верхних конечностей,
- осколочные травмы таза и нижних конечностей.
Отталкиваясь от этого, следует обсудить симптомы повреждений костей, которые сопровождаются осколками.
Врачи отмечают, что оскольчатые переломы представляют собой одну из самых сложных травм, требующих внимательного подхода к диагностике и лечению. Эти переломы характеризуются множественными фрагментами кости, что значительно усложняет восстановление. Специалисты подчеркивают важность ранней диагностики, так как неправильное лечение может привести к длительным осложнениям и нарушению функции конечности. Врачи рекомендуют использовать современные методы визуализации, такие как компьютерная томография, для точной оценки повреждений. Кроме того, в зависимости от степени тяжести перелома, может потребоваться как консервативное, так и хирургическое вмешательство. Важно также учитывать индивидуальные особенности пациента, такие как возраст и общее состояние здоровья, что влияет на выбор метода лечения и сроки восстановления.
https://youtube.com/watch?v=-jOn6j053Eg
Симптомы
Итак, первая группа – травмы плечевого пояса и верхних конечностей. Перелом ключиц чаще всего случается у взрослых. Целостность кости в большинстве случае нарушается в средней трети, а фрагменты смещаются из-за тяги мышц. Наблюдаются следующие симптомы:
- боль,
- ограниченность движений,
- отек,
- деформация,
- укорочение предплечья.
Первые четыре симптома встречаются практически при любых переломах. Если происходит повреждение нервов, нарушается чувствительность. При повреждении крупных сосудов наблюдается обильное кровотечение. Врач пальпирует поврежденную область очень осторожно, так как может произойти смещение мелких отломков и разрыв нервов и интактных сосудов.
Осколочные травмы плечевой кости сопровождаются отеком и деформацией плечевого сустава. Движения ограничены. Более благоприятно протекают повреждения проксимальных отделов. Если ломается диафиз плеча, может произойти нарушение целостности лучевого нерва или артерии. Пострадавший не может совершать движения локтем при травмах нижних отделов. При всех остальных травмах (переломы костей предплечья лучезапястного сустава) данной группы признаки такие же – отек, деформация, боль, ограниченность движений.

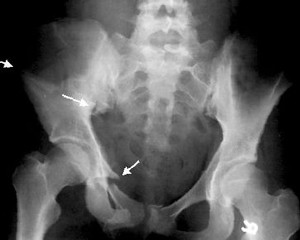
Осколочные травмы шейки бедра наблюдаются очень редко. Наблюдается боль, отек и патологическая подвижность. Травмы средней и нижней части зачастую сопровождаются крепитацией. При внутрисуставных повреждениях определяют гемартроз.
Оскольчатая травма голени является распространенным повреждением. Внутрисуставные повреждения верхней трети сопровождаются сильным отеков, гемартрозом, болью и деформацией коленного сустава. При диафизарных переломах наблюдается деформация, боль, нарушение оси конечности, крепитация и патологическая подвижность. Травмы нижней трети проявляются деформацией, выраженным отеком.
Диагностика
Диагностика костных переломов основывается на клиническом и инструментальном обследовании. Клиническое обследование – это пальпация, измерение, перкуссия, определение мышечной силы, чувствительности и т.д.
Главный метод инструментального обследования – рентгенография. В некоторых случаях для детальной визуализации применяются разные виды томографии. Именно благодаря тщательной диагностике можно определить, насколько тяжелый осколочный перелом, какова степень смещения осколков.
Оскольчатые переломы представляют собой сложные травмы, при которых кость разламывается на несколько фрагментов. Люди, столкнувшиеся с такими переломами, часто отмечают, что восстановление требует значительных усилий и времени. Врачебные рекомендации включают не только хирургическое вмешательство, но и длительную реабилитацию. Многие пациенты делятся опытом, что важным аспектом является правильное питание и соблюдение режима, что способствует более быстрому заживлению. Также часто упоминается о необходимости психологической поддержки, так как такие травмы могут вызывать чувство беспомощности и тревоги. В целом, оскольчатые переломы требуют комплексного подхода к лечению и восстановлению, что подчеркивает важность профессиональной медицинской помощи.
https://youtube.com/watch?v=fLPXlHzJRFA
Лечение
Процесс лечения оскольчатых переломов полностью зависит от вида перелома и степени его тяжести. Сначала необходимо оказать первую медицинскую помощь. Если произошел закрытый оскольчатый перелом, необходимо обездвижить конечность или место травмы, т.е. провести иммобилизацию. Чаще всего это выполняется подручными средствами, но делать все следует очень аккуратно.
Если же перелом открытый, необходимо как можно скорее остановить кровотечение, после чего наложить повязку из марли. Ни в коем случае нельзя пытаться самостоятельно вправлять костные отломки, независимо от типа и характера перелома. При открытом переломе необходимо проследить, чтобы повязка и руки оказывающего помощь были стерильными. Если необходимо предотвратить болевой шок, можно использовать несколько таблеток Анальгина или Кеторола. Не нужно проводить обезболивание, если человек находится без сознания, следует как можно быстрее доставить его в больницу.
https://youtube.com/watch?v=zG2iQyNEX9g
Переломы со смещением требуют сопоставления костных фрагментов. Это делается с помощью операции, которая в большинстве случае проводится под общим наркозом. Вправлением кости занимается врач. Он определяет метод лечения по рентгенологическому снимку, по которому определяется степень смещения. В процессе операции сломанная кость совмещается до вида здоровой, иногда применяются специальные металлические конструкции и спицы, затем накладывается гипс или применяется вытяжка. Вытяжение используется для того, чтобы удержать костные отломки в выправленном положении и дать кости правильно срастись.
Если процесс лечения оскольчатых переломов не начнется вовремя, травма со смещением приведут к осложнениям, самым тяжелым из которых является гнойное воспаление мягких тканей возле осколков. Многооскольчатый перелом опасен именно этим.
Независимо от вида перелома необходимо сделать все, чтобы как можно скорее была оказана первая медицинская помощь. И, конечно, важен период реабилитации, соблюдение правил которого позволит избежать серьезных осложнений.
Вопрос-ответ
Чем отличается оскольчатый перелом от обычного?
Оскольчатый перелом – это такой вариант повреждения кости, при котором образуется не только 2 отломка, но и имеется 1 или несколько дополнительных отделившихся фрагментов (осколков).
В чем разница между оскольчатым и неоскольчатым переломом?
Если кость раздроблена на множество фрагментов, это называется оскольчатым переломом. При переломе без смещения кость трескается частично или полностью, но при этом сохраняет подвижность и правильное положение.
Чем опасен оскольчатый перелом?
В крайних случаях осколок может пробить кожу и выйти наружу. Такой тип самый опасный, потому что в результате него чаще диагностируются тяжелые повреждения нервов и спинного мозга. Реабилитация может занять несколько лет, а пациент – стать инвалидом.
Советы
СОВЕТ №1
При подозрении на оскольчатый перелом немедленно обратитесь за медицинской помощью. Не пытайтесь самостоятельно передвигаться или нагружать поврежденную конечность, так как это может усугубить травму.
СОВЕТ №2
Если у вас есть возможность, зафиксируйте поврежденную область с помощью шины или подручных средств до приезда скорой помощи. Это поможет уменьшить боль и предотвратить дальнейшие повреждения.
СОВЕТ №3
После получения медицинской помощи следуйте рекомендациям врача по реабилитации. Оскольчатые переломы могут требовать длительного восстановления, поэтому важно соблюдать режим и выполнять назначенные упражнения для восстановления функции конечности.
СОВЕТ №4
Обратите внимание на питание и прием витаминов, особенно кальция и витамина D, которые способствуют заживлению костей. Здоровое питание поможет ускорить процесс восстановления после травмы.

