
Перелом плечевой кости – распространенная травма, которая встречается у людей разных возрастов. Интересно, что из ста повреждений пять травм приходится именно на плечевую кость. Она находится в верхней части конечности, то есть руки, и отвечает за ее движения. Повреждения плеча приносят дискомфорт человеку, потому что сильно ограничивают его.
Есть разные виды переломов плечевой кости. Существуют переломы плеча со смещением и без него, эпифизеолизы дистального эпифиза, вколоченные травмы, оскольчатые повреждения руки и так далее. Повреждения могут локализоваться в верхней трети плеча и других его отделах. Лечение переломов плечевого сустава зависит как от его вида, так от степени тяжести. Процесс лечения пройдет более успешно, если правильно оказать первую помощь. Но сначала стоит понять причины, которые приводят к переломам плечевой кости.
Причины
Наиболее частой причиной возникновения перелома плечевой кости является неудачное падение на отведенную в сторону руку. Некоторые виды повреждений, такие как эпифизеолиз дистального эпифиза, переломы диафиза плечевой кости и другие, могут образоваться по другим причинам. Конечно, нельзя забывать о такой предпосылке, как хрупкость костей. Хрупкими они могут быть из-за костных заболеваний, таких как остеомиелит или остеопороз. Кроме того, в организме может быть недостаток кальция и других важных элементов, которые влияют на прочность кости. В результате наличия этих факторов даже незначительная травма может привести к повреждению или эпифизеолизу плечевой кости.
В детском возрасте травмы происходят чаще, но и срастаются в течение короткого промежутка времени. Порой для этого не нужно какого-то специального лечения. В пожилом возрасте также легко получить травму костей, но лечится долго. В любом случае лечение должно быть неотложным, также важно оказать качественную первую помощь. Но, как мы уже сказали, перелом плечевой кости происходит в разных формах.
Врачи отмечают, что перелом плеча чаще всего возникает в результате падений, травм во время спортивных занятий или дорожно-транспортных происшествий. Основными симптомами являются сильная боль в области плеча, отечность, ограничение подвижности и деформация сустава. При подозрении на перелом важно обратиться за медицинской помощью, так как неправильное лечение может привести к осложнениям. Врач может назначить рентгенографию для подтверждения диагноза. Лечение обычно включает иммобилизацию с помощью шины или повязки, а в некоторых случаях может потребоваться хирургическое вмешательство. Реабилитация после перелома играет ключевую роль в восстановлении функции плеча и включает физическую терапию для укрепления мышц и улучшения подвижности.
https://youtube.com/watch?v=COKNAtORqwk
Симптомы и классификация
https://youtube.com/watch?v=Z8A5_lv5sMo
Есть еще и другие виды повреждений, каждый из которых отличается особым положением кости. В любых сегментарных отделах могут происходить оскольчатые травмы. Если повреждается верхняя треть плеча, наблюдается деформация сустава и отек. Движения сильно ограничены.
Оскольчатые травмы проксимальных отделов протекают более благоприятно.
При оскольчатых повреждениях диафиза плечевой кости наблюдается деформация, крепитация, отек и патологическая подвижность. Повреждения нижних отделов приводят к полному ограничению движений. Оскольчатые увечья плеча могут быть расположены в средней, нижней и верхней трети сегмента. Также есть внесуставные и внутрисуставные оскольчатые переломы.
В отношении открытых и закрытых типов травм плеча стоит отметить, что последний вид встречается гораздо чаще. Повреждения шейки кости редко бывают открытыми. Однако они могут осложняться повреждением нервов. Это проявляется в затруднении совершения движений в пальцах и кистевом суставе, а также в нарушении чувствительности кисти. Конечно, есть переломы плечевой кости со смещением и без него.
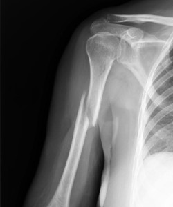
Диагностика

Для уточнения диагноза проводится рентгенография в двух проекциях. Иногда нужны дополнительные исследования. Например, при переломах диафиза плечевой кости очень важно исследовать целостность сосудисто-нервного пучка.
При переломе мыщелка плечевой кости с помощью рентгенограммы необходимо определить степень смещения, как и в случае с другими травмами. Если под костным фрагментом апоневроз разорван не до конца, это говорит о смещении только по ширине. Если же произошел полный разрыв апоневроза, происходит полное разобщение сломанных поверхностей. Такое смещение часто сопровождается интерпозицией. При эпифизеолизе дистального эпифиза трудно читать рентгенограмму у детей, если произошло небольшое смещение. В этом случае лучше сравнивать снимки поврежденной и здоровой руки. Независимо от того, в какой части произошел перелом плеча, в головке, диафизе, верхней трети или другой области, важно оказать первую помощь.
Перелом плеча — это довольно распространенная травма, особенно среди пожилых людей и спортсменов. Люди часто отмечают, что основными причинами таких переломов являются падения, аварии или чрезмерные физические нагрузки. Симптомы, как правило, включают сильную боль в области плеча, отек и ограничение подвижности. Многие пациенты также упоминают о том, что не могут поднять руку или выполнять обычные действия.
Что касается лечения, то мнения разнятся. Некоторые предпочитают консервативные методы, такие как иммобилизация с помощью повязки или шины, в то время как другие рассматривают хирургическое вмешательство, особенно в случае сложных переломов. Восстановление может занять от нескольких недель до нескольких месяцев, и многие подчеркивают важность реабилитации для полного восстановления функции плеча.
https://youtube.com/watch?v=aHdjy3P2rSo
Первая помощь
Конечно, необходимо доставить пострадавшего в больницу, однако, это лишь итог первой помощи. Сама суть первой помощи состоит в правильной иммобилизации конечности. Если произошла травма в верхней трети, необходимо согнуть руку в локте под острым углом таким образом, чтобы кисть была положена на сосок. Предплечье нужно подвесить на косынку, а плечо зафиксировать бинтом к туловищу. Оказать такую первую помощь совсем не сложно.
Если же произошло повреждение диафиза, иммобилизацию при первой помощи нужно выполнить с помощью транспортной шины, вместо которой можно использовать любой предмет. Шину накладывают на два сустава и прибинтовывают к руке и туловищу. Если человек испытывает сильную боль, в процессе оказания первой помощи нужно дать ему обезболивающий препарат, которые он хорошо переносит. Ни в коем случае нельзя самостоятельно пытаться исправить увечье, осуществлять пальпацию, если нет соответствующего медицинского образования, иначе первая помощь нанесет только вред, а ее цель – облегчить состояние пациента и не позволить травме принять более серьезную форму.
Лечение
Перелом плечевого сустава лечится зависимости от его вида.
В отношении лечения переломов плеча можно с уверенностью сказать, что, применяя современные методы, можно полностью восстановить двигательную активность руки в молодом возрасте. У пожилых людей ситуация сложнее, поэтому им особенно важно беречь себя, чтобы не допустить таких травм. Всем людям нужно укреплять кости, так как от их прочности зависит степень риска возникновения перелома при падениях и других ситуациях. Здоровый образ жизни и правильное питание поможет укрепить свое здоровье.
Вопрос-ответ
Что является причиной перелома плеча?
Перелом любой кости плеча может значительно ограничить подвижность и вызвать сильную боль. Переломы плеча происходят в результате травмы или повреждения плеча при падении, спортивной травме, автомобильной аварии или любого прямого удара по плечу.
Как понять ушиб или перелом плеча?
Как отличить ушиб от перелома? Симптомы ушиба и закрытого перелома схожи между собой: сильная боль, отёк, ограничение подвижности. Но если в случае ушиба боль стихает за 2–3 часа, то при переломе она, напротив, может усиливаться.
Советы
СОВЕТ №1
При подозрении на перелом плеча немедленно обратитесь к врачу. Даже если симптомы кажутся незначительными, важно пройти рентгенографию для точной диагностики и исключения серьезных повреждений.
СОВЕТ №2
После получения медицинской помощи следуйте рекомендациям врача по реабилитации. Упражнения на восстановление подвижности и силы плеча помогут избежать долгосрочных последствий и ускорят процесс выздоровления.
СОВЕТ №3
Обратите внимание на симптомы, такие как сильная боль, отек и ограниченная подвижность. Эти признаки могут указывать на необходимость немедленного медицинского вмешательства, чтобы предотвратить осложнения.
СОВЕТ №4
Для профилактики переломов плеча следите за безопасностью в повседневной жизни. Используйте защитное снаряжение при занятиях спортом и будьте осторожны на скользких или неровных поверхностях.

