
Причины
Чаще всего с переломами таза и лонной кости сталкиваются спортсмены, потому что повреждение может при сильном и резком сокращении мышц. В группу риска также входят те, кто болеет остеопорозом, а также пожилые люди. Костная ткань у таких людей деминерализована и истощена, а, значит, хрупкая. В таких случаях перелом может случиться даже при незначительном происшествии, которое легко переносится костями здорового человека. Любые проблемы с костями, даже если в них просто не хватает кальция и других элементов, сильно повышают риск возникновения перелома.

Перелом лонной кости может сочетаться с переломами других костей таза и даже с повреждениями внутренних органов. При сочетанных и тяжелых травмах летальные исходы наблюдаются у половины пациентов. Для острого периода характерна летальность, происходящая из-за массивного кровотечения. Оно становится причиной тяжелого шока, который развивается у четверти пациентов.
Есть травмы, при которых нарушается целостность кольца таза, а есть те, при которых такого не происходит. В последнем случае повреждение лонной кости происходит при сильном сдавлении таза или сильном ударе. При этом редко происходит смещение костей. Тяжесть состояния пострадавшего зависит от степени и места повреждения.
Врачи отмечают, что перелом лонной кости таза может проявляться различными симптомами, включая боль в области таза, затруднения при ходьбе и отечность. Часто пациенты жалуются на дискомфорт в нижней части живота и могут испытывать трудности при выполнении движений. Важно, чтобы при подозрении на перелом пациент немедленно обратился за медицинской помощью, так как неправильное лечение может привести к серьезным осложнениям.
Лечение перелома лонной кости зависит от степени повреждения. В большинстве случаев врачи рекомендуют консервативный подход, включающий покой, применение льда и обезболивающих средств. В некоторых ситуациях может потребоваться хирургическое вмешательство для восстановления целостности кости. Реабилитация играет ключевую роль в восстановлении, и врачи подчеркивают важность выполнения назначенных упражнений для укрепления мышц и улучшения подвижности.
https://youtube.com/watch?v=-tFTEtYuAOo
Симптомы
Можно выделить несколько основных симптомов, которые чаще всего встречаются при переломах таза:
- Боль. Обычно она носит резкий характер и становится сильнее при попытке совершить движение пострадавшей ногой и при пальпации.
- Симптом «прилипшей пятки». Пациент не может поднять ногу, когда лежит, так как боль становится очень сильной.
- Кровоизлияние под кожей, отек. При переломах всегда повреждаются кровеносные сосуды.

Перелом лобковых или лонных костей почти всегда сопровождаются травмой уретры и разрывом симфиза у мужчин. В таком случае уретра обычно полностью отрывается от верха предстательной железы. Ректальное исследование позволяет понять, что железа смещается довольно легко, а также может быть вообще недоступна при пальпации. Повреждение уретры заподазривается в том случае, когда из наружного отверстия мочеиспускательного канала наблюдается выделение крови. Об ушибе мочевого пузыря говорит макрогематурия.
Диагностика
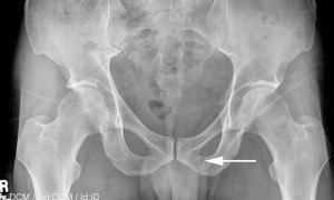
Наиболее достоверный способ определения переломов лонной кости таза и других травм является рентгенография. Однако важно выполнить не только обзорный снимок таза, но и прицельную рентгенографию. Боковые снимки помогают визуализировать смещение отломков кости.
Важным приемом при постановке диагноза является пальпация, которую выполняет только врач. Он делает это аккуратно и тщательно. Так можно установить точное место локализации, крепитацию и так далее.

Перелом лонной кости таза — это серьезная травма, о которой говорят многие. Люди отмечают, что симптомы могут варьироваться от резкой боли в области таза до затрудненного передвижения. Часто пациенты жалуются на отечность и синяки, а также на дискомфорт при попытке сесть или встать. Важно, что такие травмы могут сопровождаться повреждением внутренних органов, что требует внимательного обследования.
Что касается лечения, то мнения разделяются. Некоторые предпочитают консервативные методы, такие как покой, физиотерапия и обезболивающие препараты. Другие же считают, что в сложных случаях необходима хирургическая интервенция для восстановления нормальной анатомии таза. В любом случае, реабилитация занимает время, и многие подчеркивают важность следования рекомендациям врачей для полного восстановления.
https://youtube.com/watch?v=fLPXlHzJRFA
Лечение
Лечение зависит от характера перелома костей таза. Общая схема переломов лонных костей и травм тазовой области в целом следующая:
- обезболивание,
- борьба с кровопотерей,
- иммобилизация,
- дальнейшее лечение.
Лечение повреждений костей таза разделяется на два этапа – догоспитальный и стационарный. На первом этапе очень важно успокоить пациента, дать ему обезболивание и сделать правильную иммобилизацию. Все это особенно важно, если перелом лонной кости сочетается с другими травмами таза и повреждениями внутренних органов. Необходимо сразу же вызвать скорую помощь.
Пострадавшего нужно положить на спину так, чтобы его ноги были слегка разведены и согнуты в коленях и тазобедренных суставах.

Что же делать в таких ситуациях? Нужно поместить человека на носилки и подложить под колени подушку. Лучше сего прибинтовать ноги друг к другу. При повреждениях костей таза очень эффективно использовать вакуумные матрац-носилки для осуществления иммобилизации. Если из них откачать воздух, они превращаются в хорошую шину. Такие матрацы используют самостоятельно или кладут на обычные носилки.
Если перелома тазовых костей сопровождаются сильным кровотечением, важно использовать компрессирующий пневмокостюм. Это будет способствовать гемостазу и мобилизации дополнительных объемов крови. Однако важно понимать, что использование такого костюма может вызвать серьезные осложнения со стороны дыхательной системы, а если применять его долго, может появиться краш-синдром. Чтобы достичь компрессии сломанных фрагментов и снизить кровотечение можно использовать бандаж, сдавливающий таз.

В больнице лечение заключается в создании компрессии поврежденных тазовых фрагментов. Для этого накладывают специальный фиксатор, который уменьшает кровотечение и не мешает оперативному вмешательству. Его можно заменить за другие средства внешней фиксации или выполнить внутренний остеосинтез. Конечно, важно не только провести правильную иммобилизацию, но и устранить боль. Для этого врачи используют разные средства.
Если терапия, применяемая врачами скорой помощи, не стабилизирует гемодинамику, можно смело предположить, что повреждены крупные сосуды. В таком случае эффективным методом не просто лечения, а спасения пациентов является обнаружение кровоточащего сосуда и его перевязка в месте повреждения.
Для того чтобы остановить профузное кровотечение, которое возникает из-за венозных сплетений таза, применяют прямую тампонаду большими салфетками из марли, которые смочены в изотоническом горячем растворе натрия хлорида. После совершения процедуры их нельзя трогать от пяти до семи дней. Несмотря на то, что использованием такого приема повышает риск развития осложнений гнойно-септического характера, именно он позволяет спасти жизнь человеку. Срочная репозиция и фиксация переломов рассматривается как метод экстренного гемостаза. Если быстро сблизить и стабилизировать фрагменты отломков, то можно поспособствовать спонтанной остановке кровотечения.
https://youtube.com/watch?v=yYu9SqBU4yo
Если произошла мочевая инфильтрация или каловое загрязнение, необходимо срочно наладить отведение мочи и кишечное содержимое. Это делается с помощью колостомии и эпицистостомии. Вместе с этим проводится санация и дренирование областей, которые загрязнены. Если присутствуют глубокие раны промежности или аноректальной зоны, нужно сразу наложить отводящую сигмостому. Если правильно провести коррекцию переломов таза, то результат будет благоприятным и можно избавить человека от инвалидности.
Лечение всегда должно быть своевременным. Каждый этап лечения очень важен, и нужно строго выполнять все рекомендации врача. Конечно, лучше всего не допускать перелома, поэтому нужно следить за состоянием своих костей и оберегать себя от опасных ситуаций
Вопрос-ответ
Какая боль при трещине таза?
Большинство переломов таза сопровождается довольно сильной болью в паху, которая не исчезает ни в лежачем, ни в сидячем положении. Если пострадавший пытается ходить, боль существенно усиливается (хотя у некоторых получается ходить). Область травмы часто отекает и образуется кровоподтек.
Как правильно лежать при переломе лонной кости?
Наиболее частыми являются переломы лонной и седалищной костей — либо изолированные, либо совместные. Перелом лонной кости может быть двойным. Эти переломы вполне успешно лечат консервативно положением лежа на спине с приподнятыми ногами, согнутыми в коленях.
Советы
СОВЕТ №1
При подозрении на перелом лонной кости таза немедленно обратитесь за медицинской помощью. Не пытайтесь самостоятельно оценить степень травмы или заниматься самолечением, так как это может привести к осложнениям.
СОВЕТ №2
Следите за симптомами, такими как сильная боль в области таза, отечность, трудности при движении или изменение формы таза. Эти признаки могут помочь врачу в диагностике и выборе правильного метода лечения.
СОВЕТ №3
После получения медицинской помощи и подтверждения диагноза следуйте рекомендациям врача по реабилитации. Это может включать физиотерапию, упражнения для укрепления мышц и восстановление подвижности, что важно для полного выздоровления.
СОВЕТ №4
Обратите внимание на свое питание и уровень кальция в организме. Употребление продуктов, богатых кальцием и витамином D, может помочь в процессе восстановления костной ткани после перелома.

