Малоберцовая кость – трубчатая длинная тонкая часть голени. Она состоит из двух концов и тела. Нижний конец является одной из частей голеностопного сустава, по-другому, это латеральная лодыжка. Она является костным наружным стабилизатором голеностопного сустава. Сама кость соединяется с большой берцовой костью межкостной мембраной.
Анатомия

Тело кости немного искривлено, а также скручено по продольной оси. Тело имеет три края: задний, передний и медиальный. Также есть острый межкостный медиальный край. Кость тоже имеет три поверхности: задняя, латеральная и медиальная.
Малоберцовая кость имеет утолщенный дистальный конец, который способствует образованию дистальной лодыжки. Медиальная поверхность латеральной лодыжки имеет суставную поверхность. Кость должна соединяться с таранной частью, поэтому позади суставной поверхности есть ямка латеральной лодыжки. К ней присоединяются сухожилия малоберцовых мышц.
Как видно, кость имеет довольно простое строение. Она, также как и другие костные элементы, подвержена различным повреждениям, которые могут значительно осложнить двигательную активность человека.
https://youtube.com/watch?v=JnCgO8v5BkA
Врачи отмечают, что малая берцовая кость, хотя и является тонкой и менее массивной по сравнению с большой берцовой, играет важную роль в поддержании стабильности голеностопного сустава. Переломы этой кости часто возникают в результате травм, таких как падения или спортивные нагрузки. Специалисты подчеркивают, что такие переломы могут быть как закрытыми, так и открытыми, что влияет на подход к лечению. В большинстве случаев консервативные методы, включая иммобилизацию и физиотерапию, оказываются эффективными. Однако в сложных случаях может потребоваться хирургическое вмешательство. Врачи также акцентируют внимание на важности реабилитации, которая помогает восстановить функции ноги и предотвратить повторные травмы. Правильная диагностика и своевременное лечение играют ключевую роль в успешном восстановлении пациентов.
https://youtube.com/watch?v=JnCgO8v5BkA
Повреждения
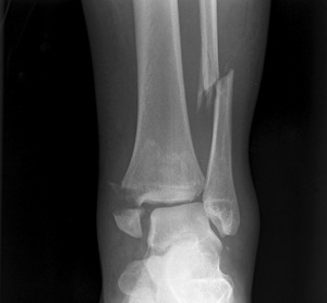
Переломы, трещины, смещения, — всему этому подвергается малая берцовая кость. Сегодня различается несколько видов переломов этой части, которые могут происходить в разных областях. Чаще всего перелом происходит в латеральной лодыжке. Лодыжка может повреждаться переломами тоже на разных уровнях. Очень часто они сочетаются с вывихом или подвывихом стопы, при этом происходит ее укорочение, а также разрыв межкостного дистального синдесмоза. Можно выделить следующие виды переломов:
- поперечные,
- фрагментарные,
- спиральные,
- оскольчатые.

Главная причина повреждений – сильный удар. Повреждения также происходят из-за падения с высоты, неправильного движения в процессе занятий спортом и избыточной нагрузки на ногу.
Отдельно следует выделить заболевания костей, например, остеопороз, остеомиелит и остеосаркома. В результате их развития кости ослаблены, поэтому даже небольшая нагрузка, которую испытывает малоберцовая кость, может привести к ее перелому. Если у человека в организме недостаточно кальция, это тоже повышает риск повреждений.
Как распознать повреждение

Если перелом затрагивает головку кости и ее шейку, повышается вероятность травмы малоберцового нерва. По этой причине наружная поверхность голени и стопы становится нечувствительной. При полном разрыве нерва стопа свисает, а потерпевший не может согнуть ее.
Наиболее распространенным является перелом малой берцовой кости в области диафиза. Этот вид повреждения обычно происходит в результате падения с высоты или прямого удара, который направлен именно на наружную часть голени. Иногда такое происходит из-за сильного подворачивания стопы. При переломе диафиза увеличивается риск повреждения нерва малоберцовой кости.
Строение малой берцовой кости, или фибулы, вызывает интерес у многих людей, особенно у тех, кто сталкивается с травмами. Эта кость, расположенная параллельно большому берцовому, играет важную роль в поддержании стабильности голеностопного сустава. Многие отмечают, что переломы малой берцовой кости часто происходят при спортивных травмах или падениях. Восстановление после таких переломов может занять от нескольких недель до нескольких месяцев, в зависимости от тяжести повреждения. Люди делятся опытом реабилитации, подчеркивая важность физиотерапии и правильного ухода за травмой. Некоторые отмечают, что даже после полного заживления могут ощущаться дискомфорт и слабость в области голеностопа, что требует дополнительного внимания. В целом, обсуждения о малой берцовой кости подчеркивают ее значимость в движении и здоровье ног.
Диагностика и лечение
Для того чтобы диагностировать перелом кости, важно внимательно рассмотреть симптомы. При переломе часто возникает отечность, может наблюдаться гематома. При пальпации поврежденной конечности пострадавший испытывает особо сильную боль. При визуальном осмотре кажется, что конечности человека имеют разную длину.

Перелом малоберцовой кости, как и другие переломы, начинает лечиться с восстановления прежнего положения костной части, в которой она находилась до травмы. Если травма не сопровождалась смещением, обычно накладывают гипсовую повязку сроком от четырех до шести недель. Гипс может накладываться до центра голени, все зависит от места повреждения. До середины бедра гипс накладывается при переломах головок малоберцовых костей или их шеек.
Если части сломанной кости изменили положение относительно друг друга, то есть произошло смещение, лечение усложняется. Важно произвести репозицию таким образом, чтобы части кости остались в нужном положении. Если этого не получилось сделать вручную, применяется скелетное вытяжение. Его суть состоит в просверливании отверстия в кости, к которой прикреплена малая берцовая кость. В это отверстие вставляется металлическая спица, к ней подвешивается груз. Благодаря грузу пяточная кость тянется вниз, а фрагменты сломанной кости постепенно принимают нормальное положение.
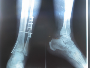
При неэффективности скелетного вытяжения приходится выполнять оперативное вмешательство, в процессе которого костные части удерживаются с помощью винтов, штифтов и пластинок.
После того как малая берцовая кость срослась, эти элементы удаляются. Так как иногда происходит повреждение нервов, необходимо прибегать к дополнительным мерам.
- Повреждение нерва. В этом случае применяется прозерин, витаминотерапия.
- Полный разрыв нерва. Лечение основано на неврорафии, то есть восстановлении нерва.
https://youtube.com/watch?v=05z98m1Ad_o
Последствия и профилактика

Очень важен период восстановления после травмы, который включает в себя следующие основные меры:
- физиотерапия,
- ЛФК,
- массаж.
Эти меры помогают избежать серьезных последствий. Для того чтобы малоберцовая кость сохранилась неповрежденной, важно всегда следить за своей обувью и поверхностью, по которой мы передвигаемся. При катании на коньках или роликах важно иметь средства защиты. Лучше ограничить себя в чем-то сейчас, чем потом страдать от перелома и его последствий.
Вопрос-ответ
Каковы основные функции малой берцовой кости?
Малая берцовая кость, или фибула, играет важную роль в поддержании стабильности голеностопного сустава и обеспечивает прикрепление мышц, отвечающих за движение стопы. Она также участвует в формировании коленного сустава и служит опорой для связок, что способствует нормальному функционированию нижней конечности.
Какие симптомы могут указывать на перелом малой берцовой кости?
Симптомы перелома малой берцовой кости могут включать резкую боль в области голени, отек, синяки, а также затруднение при ходьбе или опоре на поврежденную ногу. В некоторых случаях может наблюдаться деформация конечности или хруст при движении.
Как лечится перелом малой берцовой кости?
Лечение перелома малой берцовой кости зависит от типа и степени повреждения. В большинстве случаев требуется иммобилизация с помощью гипса или ортеза для обеспечения покоя и правильного сращивания кости. В более сложных случаях может потребоваться хирургическое вмешательство для установки металлических пластин или винтов. Реабилитация включает физиотерапию для восстановления функции ноги.
Советы
СОВЕТ №1
Изучите анатомию малой берцовой кости, чтобы лучше понимать, как она взаимодействует с другими костями и мышцами ноги. Это знание поможет вам осознать важность этой кости и последствия ее повреждений.
СОВЕТ №2
При занятиях спортом или физической активностью всегда используйте подходящую обувь, чтобы минимизировать риск травм. Обувь должна обеспечивать хорошую поддержку и амортизацию, особенно если вы занимаетесь бегом или прыжками.
СОВЕТ №3
Если вы подозреваете перелом малой берцовой кости, не откладывайте визит к врачу. Раннее обращение за медицинской помощью может предотвратить осложнения и ускорить процесс восстановления.
СОВЕТ №4
После травмы следуйте рекомендациям врача по реабилитации. Упражнения на укрепление мышц и растяжку помогут восстановить функцию ноги и предотвратить повторные травмы в будущем.

