
Принято считать, что глисты селятся в кишечнике человека, и вывести их не составляет особого труда. На самом деле это не так, многие паразиты успешно перемещаются с током крови и селятся в жизненно важных органах человека. Не является исключением головной мозг, появление гельминтов в этом органе чревато серьезными последствиями. Мозговые паразиты вызывают тяжелейшие изменения и несут угрозу жизни человека.
Как глисты попадают в головной мозг?
Особенностью яиц гельминтов является способность сохранения жизнеспособности на протяжении длительного времени в окружающей среде. Попадая в человеческий организм, они развиваются и наносят вред организму, выделяя токсины и поглощая питательные вещества. Однако это не главная опасность, подстерегающая человека. Поселяясь в органах, они вызывают нарушение их работы.
Попасть в человеческий организм паразиты могут различными способами:
- При употреблении в пищу грязных продуктов (фруктов, овощей, зелени)
- Через немытые руки перед приемом пищи
- Из сырой воды
- От инфицированных домашних животных
- При употреблении в пищу полусырого мяса или рыбы.
В первую очередь яйца гельминтов попадают в ЖКТ и преобразуются в личинки. Созревая, паразит может крепиться при помощи присосок к стенкам кишечника. Слизистая оболочка кишечника — оптимальная среда для обитания гельминтов. В результате жизнедеятельности паразиты выделяют ферменты, препятствующие нормальному пищеварению. В организме у человека происходят изменения, которые проявляются характерными симптомами.
Перемещаются к головному мозгу паразиты различными способами:
Паразиты в мозге бывают двух типов – эхинококки и цистицерки.
Врачи отмечают, что мозговые паразиты представляют собой серьезную угрозу для здоровья человека. К наиболее распространенным видам относятся токсоплазмы, нейроцистицеркоз и амебы. Симптомы могут варьироваться от головных болей и судорог до психических расстройств и нарушений когнитивных функций. Диагностика включает в себя анализы крови, МРТ и КТ, что позволяет выявить наличие паразитов и оценить степень их воздействия на мозг. Лечение зачастую требует комплексного подхода, включая антипротозойные препараты и, в некоторых случаях, хирургическое вмешательство. Врачи подчеркивают важность раннего выявления и своевременного лечения, чтобы минимизировать риск серьезных осложнений.
https://youtube.com/watch?v=o2DF6x88FpE
Эхинококкоз головного мозга
Существует два способа развития эхинококка (солитарный и рацемозный). В первом случае формируется одинарная киста крупного размера, достигающая в диаметре 6 см. Во втором – появляются множественные образования в головном и спинном мозге человека. В области их проявления возникают реактивные изменения. Эхинококк окружен капсулой, которая выполняет соединительную функцию. Вокруг нее изменяется ткань мозга, она становится воспаленной, образуются кровоизлияния.
Симптомы мозгового эхинококкоза
Эхинококкоз головного мозга выражается гипертензионным синдромом и очаговыми проявлениями. Паразиты, находящиеся в мозге больного человека, провоцируют следующие симптомы:
Анализ крови показывает эозинофилию. При исследовании цереброспинальной жидкости определяется повышенное содержание белка, частички пузыря и янтарная кислота. У больного может повышаться внутричерепное давление.
Мозговые паразиты — это тема, вызывающая много споров и страхов. Многие люди не осознают, что такие организмы могут влиять на наше поведение и здоровье. Симптомы заражения могут варьироваться от головных болей и усталости до более серьезных психических расстройств. Часто пациенты жалуются на проблемы с концентрацией, тревожность и даже депрессию. Диагностика таких заболеваний может быть сложной, так как симптомы часто схожи с другими расстройствами. Врачи используют различные методы, включая анализы крови и нейровизуализацию, чтобы выявить наличие паразитов. Лечение может включать медикаменты, направленные на уничтожение паразитов, а также терапию для восстановления психического здоровья. Важно помнить, что ранняя диагностика и обращение к специалисту могут значительно повысить шансы на успешное выздоровление.
https://youtube.com/watch?v=ThsiIJR8TdM
Методы диагностики мозгового эхинококкоза
Диагностировать паразитов в головном мозге довольно сложно. Чаще всего больному устанавливается диагноз – опухоль мозга, который не подтверждается во время операции или при вскрытии.
Способствует установлению правильного диагноза присутствие очагов эхинококкоза в других органах больного, в частности, в печени. Поможет врачу диагностировать паразитов в мозгу человека информация о профессиональной деятельности больного (если она связана с постоянным контактом с животными). Указывать на присутствие заболевания мозга могут кожные пробы Кацони и реакция связывания комплемента по методу Гедина-Вейнберга.
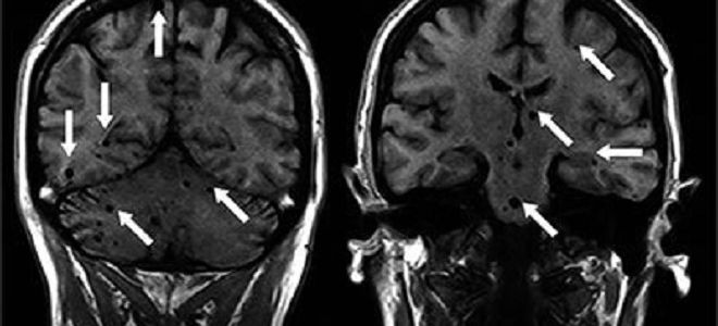
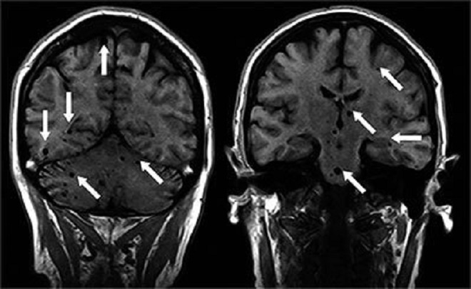
Установить присутствие паразитов в головном мозге человека можно при помощи компьютерной томографии и МРТ.
Лечение мозгового эхинококкоза
Видео
https://youtube.com/watch?v=FjiiIknP0Js
В случае возникновения одиночного эхинококка чаще всего приходится прибегать к удалению образования. Операция должна проводиться очень осторожно, без повреждения капсулы паразита. При многокамерном мозговом эхинококкозе оперативное вмешательство невозможно, прогнозы лечения неблагоприятные.
Нейроцистицеркоз
Возбудителем заболевания является «свиной цепень». Для этого паразита человек может быть как промежуточным, так и окончательным хозяином. Заболевание является смертельно опасным, обнаружить паразитов в мозгу на начальных стадиях достаточно сложно. Среди людей, переболевших нейроцистицеркозом многие остаются инвалидами. Такая болезнь головного мозга вызывает развитие эпилепсии, которая поражает нервную систему больного.
Возникает нейроцистицеркоз в результате попадания личинки паразита в мозг. Там личинка трансформируется в капсулу, она может находиться на протяжении 30-ти лет в организме человека. Располагаться паразит может в мягкой мозговой оболочке, на поверхности коры головного мозга, в желудочке и базальных цистернах.
Не только живой паразит несет угрозу жизни человека. После его гибели кроме токсичных веществ в организм попадают продукты распада. Результатом интоксикации может стать отек головного мозга.
Симптомы нейроцистицеркоза
Симптомы паразитов в головном мозге проявляются постепенно. При небольших размерах паразита проявление заболевания характеризуется внутренними раздражениями, у больного снижается чувствительность и нарушается речь.
С развитием мозгового цистицеркоза появляются приступы эпилепсии, которые проходят с судорогами. Пациент страдает психическими расстройствами, галлюцинациями, депрессиями. С возникновением отека у больного появляются головокружения, тошнота и рвота.
Симптомы присутствия паразитов в мозге человека зависят от расположения очага заболевания. Если нейроцистицеркоз расположен в мозговых желудочках у пациента появляется синдром Брунса, при котором возможно перекрытие просветов 4-го желудочка паразитарными образованиями. При подобной локализации у больного:
При закрытии отверстия Монро симптомы схожи с проявлениями опухоли, сопровождаются сбоями сознания. В результате заражения основания мозга развивается менингит по базальтовому типу. При подобном инфицировании возможны следующие проявления:
При своевременном установлении диагноза и принятии действенных мер вероятность благоприятного результата лечения составляет 50%.
Диагностика нейроцистицеркоза
Установить диагноз больного нейроцистицеркозом довольно сложно. На первоначальных стадиях заболевание протекает бессимптомно. Для установления правильного диагноза используют рентген, МРТ и КТ. Свидетельствовать о наличии заболевания может повышенный уровень эозинофилов, положительный результат РСК.
Лечение мозгового цистицеркоза
Паразиты в головном мозге у человека лечатся только под наблюдением врача.
Очаг заболевания может располагаться в различных участках мозга, поэтому лечение происходит по установленной схеме. При наличии кистозных образований больному назначают альбендазол и стероиды.
При гидроцефалии необходимо наложение желудочного шнура. Если поражен желудочек применяется эндоскопическая аспирация или хирургическая операция. Антигельминтные средства при данном заболевании на запущенной стадии неэффективны. Если цисты находятся в спинном мозгу избавиться от них можно только при помощи хирургического вмешательства.
Профилактика
Паразиты, поражающие головной мозг, приводят к тяжелейшим последствиям вплоть до летального исхода. Вылечить заболевание даже при своевременном обнаружении достаточно сложно. Паразитарные заболевания головного мозга легче предотвратить, нежели лечить. При соблюдении несложных правил можно избежать заражения, для этого необходимо:
Необходимо следить за гигиеной, проводить влажную уборку помещения и прекратить контакты с бродячими животными.
Вопрос-ответ
Каковы симптомы паразитарной инфекции головного мозга?
Инфекция, вызываемая цистами, называется цистицеркозом или, если цисты образуются в мозге, нейроцистицеркозом. Эти цисты вызывают мало симптомов до тех пор, пока цисты не дегенерируют и личинки не погибают, вызывая воспаление, отек и такие симптомы, как головные боли, судороги, изменения личности и умственные нарушения.
Как проверить наличие паразитов в мозге?
Люмбальная пункция: если ваш врач подозревает у вас цистицеркоз головного или спинного мозга, он может провести люмбальную пункцию спинномозговой жидкости (СМЖ). В ходе этой процедуры врач использует иглу для забора СМЖ из поясницы. Подобно анализу крови, лаборатория может проверить наличие T.
Советы
СОВЕТ №1
Регулярно проходите медицинские обследования, особенно если вы живете в регионах, где распространены паразитарные инфекции. Это поможет выявить проблемы на ранних стадиях и начать лечение как можно скорее.
СОВЕТ №2
Обратите внимание на свое питание и соблюдайте правила гигиены. Избегайте употребления сырого или недостаточно термически обработанного мяса, а также тщательно мойте фрукты и овощи перед едой.
СОВЕТ №3
Если вы заметили у себя симптомы, такие как необъяснимая усталость, потеря веса или проблемы с пищеварением, не откладывайте визит к врачу. Чем раньше будет поставлен диагноз, тем эффективнее будет лечение.
СОВЕТ №4
Изучите информацию о профилактике паразитарных инфекций, особенно если планируете поездки в экзотические страны. Знание о рисках и мерах предосторожности поможет вам избежать заражения.








